Угрожающая динамика?

Пол пациента: 
Методы исследования: 

Годовалая динамика.

  • https://radiomed.ru/sites/default/files/styles/case_slider_image/public/user/3055/04.01.13.jpg?itok=uRjaskDz
ID:25544
Popovpavel аватар
Не на сайте
Был на сайте: 7 лет 2 месяцев назад
Зарегистрирован: 08.06.2009 - 00:23
Публикации: 649

А это не жидкость в междолевой плевре?

Nikolas аватар
Не на сайте
Был на сайте: 1 месяц 3 недели назад
Зарегистрирован: 21.12.2010 - 20:37
Публикации: 4559

Сделать боковую рентгенограмму.

А. Горюнов аватар
Не на сайте
Был на сайте: 4 недели 1 день назад
Зарегистрирован: 07.10.2012 - 12:12
Публикации: 2744

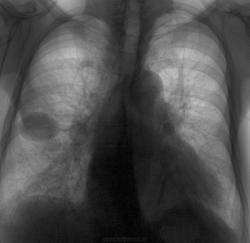
Положительная динамика очаговых изменений в верхних отделах обоих легких. Справа, похоже междолевой плеврит. Клиника? Лабораторные данные?

Анатолий Петрович

Катенёв Валентин Львович аватар
Не на сайте
Был на сайте: 7 лет 2 недели назад
Зарегистрирован: 22.03.2008 - 22:15
Публикации: 54876

Popovpavel wrote:

А это не жидкость в междолевой плевре?

+1

Игорь Иванович аватар
Не на сайте
Был на сайте: 3 года 9 месяцев назад
Зарегистрирован: 23.01.2010 - 14:56
Публикации: 3695

Конечно, для "зубров" рентгенологии этот случай не представляет трудностей. А вот для молодых, да еще которые по воле случая оказались в единственном числе в какой-нибудь маленькой районной больнице - учение.

Приложения: 
04.01.13.prav_._bok.jpg
Катенёв Валентин Львович аватар
Не на сайте
Был на сайте: 7 лет 2 недели назад
Зарегистрирован: 22.03.2008 - 22:15
Публикации: 54876

Красивый случай уважаемый Игорь Иванович!

maker4ik аватар
Не на сайте
Был на сайте: 8 лет 7 месяцев назад
Зарегистрирован: 19.10.2011 - 17:49
Публикации: 2682

За случай спасибо, но даже начинающие рентгенологи запомнили уже, что бок обязателен!

А вот где люди очаговые изменения увидели - непонятно...

Катенёв Валентин Львович аватар
Не на сайте
Был на сайте: 7 лет 2 недели назад
Зарегистрирован: 22.03.2008 - 22:15
Публикации: 54876

Интересно..., а как расценить "это"?

 

Приложения: 
04.01._eto..jpg
brainmodel аватар
Не на сайте
Был на сайте: 2 месяцев 2 недели назад
Зарегистрирован: 18.03.2010 - 22:04
Публикации: 2881

Интересно, как оценить не только это, но и то... что слева... Да и базальные отделы справа в паренхиме неспокойны.

Приложения: 
1.jpg

Verum plus uno esse non potest.

Popovpavel аватар
Не на сайте
Был на сайте: 7 лет 2 месяцев назад
Зарегистрирован: 08.06.2009 - 00:23
Публикации: 649

Катенёв Валентин Львович wrote:

Интересно..., а как расценить "это"?

Мне кажется, тоже жидкость.

Катенёв Валентин Львович аватар
Не на сайте
Был на сайте: 7 лет 2 недели назад
Зарегистрирован: 22.03.2008 - 22:15
Публикации: 54876

Popovpavel wrote:

Мне кажется, тоже жидкость.

Конечно может быть и жидкость, но год тому назад было так...

Приложения: 
1.vozmozhno_vozmozhno..jpg
Дмитрий86 аватар
Не на сайте
Был на сайте: 12 месяцев 16 часов назад
Зарегистрирован: 17.01.2012 - 08:49
Публикации: 285

хм а почему снимки не сохраняются, раньше сохранялись, а сейчас нет. у мня опера, это моя проблема или радиомед чтото изменил?

 

хотел себе в архив внести

Алмаз аватар
Не на сайте
Был на сайте: 11 лет 4 месяцев назад
Зарегистрирован: 17.05.2012 - 16:03
Публикации: 9

Игорь Иванович wrote:

Конечно, для "зубров" рентгенологии этот случай не представляет трудностей. А вот для молодых, да еще которые по воле случая оказались в единственном числе в какой-нибудь маленькой районной больнице - учение.

+1!!!

Катенёв Валентин Львович аватар
Не на сайте
Был на сайте: 7 лет 2 недели назад
Зарегистрирован: 22.03.2008 - 22:15
Публикации: 54876

Дмитрий86 wrote:

хм а почему снимки не сохраняются, раньше сохранялись, а сейчас нет. у мня опера, это моя проблема или радиомед чтото изменил?

 

хотел себе в архив внести

"Опера" с нашим сайтом не "дружит"..., все остальные браузеры дружат, а вот "Опера" нет...

Nikolas аватар
Не на сайте
Был на сайте: 1 месяц 3 недели назад
Зарегистрирован: 21.12.2010 - 20:37
Публикации: 4559

выпота. О нем пока мнений нет.