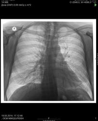
Усиление легочного рисунка в S5 справа

Пол пациента: 
Тип патологии: 
Методы исследования: 

В анамнезе - пневмония 3 года назад)) Усиление легочного рисунка в S5 справа

 

  • https://radiomed.ru/sites/default/files/styles/case_slider_image/public/user/19785/m_chest_20140520_092655.jpg?itok=i7MRHbHk
ID:37971
vadim losevichev аватар
Не на сайте
Был на сайте: 7 лет 1 месяц назад
Зарегистрирован: 27.01.2013 - 09:45
Публикации: 679

Это не криминал.

Non progrĕdi est regrĕdi.

NIL аватар
NIL
Не на сайте
Был на сайте: 16 часов 46 минут назад
Зарегистрирован: 25.11.2013 - 20:50
Публикации: 18203

Думаю, остатки ранее перенесенного процесса.


"Слушай всех, прислушивайся к немногим, решай сам".©

atexta аватар
Не на сайте
Был на сайте: 2 года 9 месяцев назад
Зарегистрирован: 08.02.2014 - 18:41
Публикации: 4842

Мне кажется вообще норма+ разворот

Не нам судить…

NIL аватар
NIL
Не на сайте
Был на сайте: 16 часов 46 минут назад
Зарегистрирован: 25.11.2013 - 20:50
Публикации: 18203

atexta wrote:

Мне кажется вообще норма+ разворот

Длоя нормы как-то уж очень тяжисто 


"Слушай всех, прислушивайся к немногим, решай сам".©

Сергей Кузьминов аватар
Не на сайте
Был на сайте: 1 год 1 неделя назад
Зарегистрирован: 06.10.2012 - 15:51
Публикации: 11813

Поствоспалительный пневмофиброз,если нет клиники.

Nobody аватар
Не на сайте
Был на сайте: 11 лет 3 недели назад
Зарегистрирован: 15.03.2014 - 20:29
Публикации: 2013

перчик wrote:

В анамнезе - пневмония 3 года назад)) Усиление легочного рисунка в S5 справа 

Так, снова Перчик с анамнеза самого уже смеётся... Значит, чувствует он где-то своё превосходство?)) Ваше превосходительство Перчик, анамнез - неплохо, но где же те снимки? Без них не поверю Вам, Ваша светлость!)) А снимки оценивают не по одному. Все сразу. Если рисунка кажется Вам усиление на прямом, а на боковом потеряли его. Значит, развейте свои опасения. В совокупности следует давать заключения. И на боковом стрелочку не нужно ставить на корня сосуд. Он нормален, таких как он по структуре не заметут!))

"Лишь утратив всё до конца, мы обретаем свободу." F.C.

Nobody аватар
Не на сайте
Был на сайте: 11 лет 3 недели назад
Зарегистрирован: 15.03.2014 - 20:29
Публикации: 2013

Сергей Кузьминов wrote:

Поствоспалительный пневмофиброз,если нет клиники.

Выставить пневмофиброз и по данным снимкам можно. Это круто, конечно. Тем паче, без КТ, без архива... Тем паче что его там и нету...

"Лишь утратив всё до конца, мы обретаем свободу." F.C.