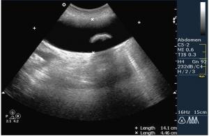
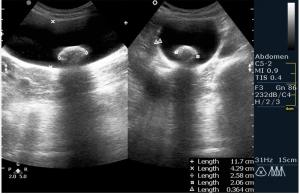
По всей видимости пузырь увеличен, напряжен, содержимое 2 крупных конкремента,один из которых вклинен.
В нашей клинике диагноз был таков таков: ЖКБ. Острый обтурационный холецистит. Кстати коллеги какую классификацию используете Вы.? Знаю есть несколько иных вариатов.
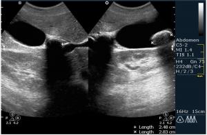
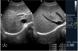
Доктор Марио! Фиксированный камень шейки желчного пузыря. Еще один камень в просвете. Не знаю, употребляете ли Вы такой термин, но я бы еще сказал "водянка желчного пузыря". Показание к оперативному лечению желче-каменной болезни. Симптома "трехслойности стенки" не увидим. Пузырь перерастянут. Кстати, в последнее время встречается все большее и большее количество случаев желче-каменной болезни у пациентов молодого возраста. От 18 лет.
Отлично! Я рад что на радиомеде постепенно появляются доктора владеющие УЗИ.
Вы совершенно правы, это холецистолитиаз с вклинённым камнем шейки (impacted GB neck stone) с перерастяжением пузыря, или водянка (GB Hydrops). Сегодня была успешнo оперирована.
По всей видимости пузырь увеличен, напряжен, содержимое 2 крупных конкремента,один из которых вклинен.
В нашей клинике диагноз был таков таков: ЖКБ. Острый обтурационный холецистит. Кстати коллеги какую классификацию используете Вы.? Знаю есть несколько иных вариатов.
Доктор Марио! Фиксированный камень шейки желчного пузыря. Еще один камень в просвете. Не знаю, употребляете ли Вы такой термин, но я бы еще сказал "водянка желчного пузыря". Показание к оперативному лечению желче-каменной болезни. Симптома "трехслойности стенки" не увидим. Пузырь перерастянут. Кстати, в последнее время встречается все большее и большее количество случаев желче-каменной болезни у пациентов молодого возраста. От 18 лет.
dok
Отлично! Я рад что на радиомеде постепенно появляются доктора владеющие УЗИ.
Вы совершенно правы, это холецистолитиаз с вклинённым камнем шейки (impacted GB neck stone) с перерастяжением пузыря, или водянка (GB Hydrops). Сегодня была успешнo оперирована.
Let me see...
radiographia.ru