В конце рабочего дня

Пол пациента: 
Тип патологии: 
Методы исследования: 

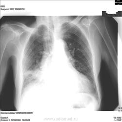
Заканчивался рабочий день.Бабушка с большой грыжй на животе,прямой снимок "лицом к трубке".

  • https://radiomed.ru/sites/default/files/styles/case_slider_image/public/user/17114/f2.jpg?itok=ZazScyZ_
ID:30236
алкс аватар
Не на сайте
Был на сайте: 10 лет 5 месяцев назад
Зарегистрирован: 24.10.2012 - 22:55
Публикации: 2915

Очень даже ателектаз.

Сергей Кузьминов аватар
Не на сайте
Был на сайте: 1 год 5 месяцев назад
Зарегистрирован: 06.10.2012 - 15:51
Публикации: 11813

алкс wrote:

Очень даже ателектаз.

Ателнктаз.А отчего?

алкс аватар
Не на сайте
Был на сайте: 10 лет 5 месяцев назад
Зарегистрирован: 24.10.2012 - 22:55
Публикации: 2915

Предположительно, нарушение проходимости нижнедолевого и среднедолевого бронхов. Причину точно указать трудно. Постройте диффряд.

Сергей Кузьминов аватар
Не на сайте
Был на сайте: 1 год 5 месяцев назад
Зарегистрирован: 06.10.2012 - 15:51
Публикации: 11813

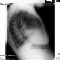
Не стал строить.Порезал.

Приложения: 
f3.jpg
Андрей Юрьевич аватар
Не на сайте
Был на сайте: 2 недели 2 дня назад
Зарегистрирован: 16.11.2008 - 22:16
Публикации: 18106

А, все-равно придется строить. Во-первых, бабушка дышала; во-вторых, на среднюю (и нижнюю) доли, лучше делать боковые томограммы; в-третьих, прямые томограммы (при подзрении на онко), лучше делать с центрацией на корень (а не тень) и обязательно начинать с срединного среза; ну, и в четвертых, нарушения проходимости среднедолевого бронха, как правило, требуют бронхоскопии (даже после КТ).

Андрей Юрьевич

Сергей Кузьминов аватар
Не на сайте
Был на сайте: 1 год 5 месяцев назад
Зарегистрирован: 06.10.2012 - 15:51
Публикации: 11813

Боковых не делал,каюсь.Направлена больная уже онкологом.Задерживать дыхание не могла,тяжелоей,дряхлая совсем.Не думаю,что будет РКТ или ФБС.А за науку спасибо.

maker4ik аватар
Не на сайте
Был на сайте: 9 лет 6 часов назад
Зарегистрирован: 19.10.2011 - 17:49
Публикации: 2682

А мне абсцесс померещился...

медсанчасть регион 12 аватар
Не на сайте
Был на сайте: 11 лет 6 месяцев назад
Зарегистрирован: 11.06.2013 - 10:46
Публикации: 136

Раньше это называли Синдром средней доли,имея в виду-ателектаз,цирроз,пневмонию,туберкулез,рак.\нижняя доля не при делах\В соответствии с этим определялись с тактикой.

brainmodel аватар
Не на сайте
Был на сайте: 7 месяцев 2 недели назад
Зарегистрирован: 18.03.2010 - 22:04
Публикации: 2881

Среднюю долю показательнее резать на боку. Насчет полости распада: она есть (в прямой проекции - явно, в боковой  - с уровнем/черные стрелки, или может ниже/красные стрелки).

Приложения: 
snimok.jpgsnimok2.jpg

Verum plus uno esse non potest.