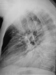
Я еще вижу тень в верхушке правого легкого, и в левой верхушке. Еще мне кажется, что в 6 сегменте несколько теней (на боковом снимке). Тубанамнез какой?
Ну если нет температуры, а возраст и прочие факторы указывают на онкологию, то можно и в ателектаз повпадать))))) Чего зря время терять, не зря в направительном стоял пневмоторакс
Рискну предположить, что основная тень в задне-базальном отделе - гидроторакс. Но и снижение прозрачности легочной ткани есть, не могу локализовать, то ли языки, то ли восьмерка. Узи плевральных (заодно и легочная ткань видна будет) ну, или томография (кто к чему привык, у кого что под рукой), + динамика.
Слева теперь где S3, где S5 не скажешь. Треугольная тень в проекции "S3" - мягкие ткани руки. Тут каждый сам оценивает, как быть, я бы не стал по "линейке" на таких измененных соотношениях детально оценивать изменения и исключать что-то.
PS. Перепутал темы))), в отношении линейки и S3-5 беру слова обратно
Ну если нет температуры, а возраст и прочие факторы указывают на онкологию, то можно и в ателектаз повпадать))))) Чего зря время терять, не зря в направительном стоял пневмоторакс
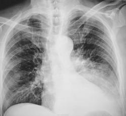
Левосторонняя нижнедолевая пневмония. лечение. динамика.
Я еще вижу тень в верхушке правого легкого, и в левой верхушке. Еще мне кажется, что в 6 сегменте несколько теней (на боковом снимке). Тубанамнез какой?
Как бы эта нижнедолевая пневмония не оказалась уже ателектазом. А почему "пневмоторакс"? Внезапные боли?
Участковый терапевт так посчитал (то, что пневмоторакс), травмы не было.
Туб анамнеза (официально) нет
Как-то не похоже на инфильтрацию, я бы думала о гиповентиляции нижней доли и центральном образовании
Данных за пневмоторакс нет.Левосторонняя нижнедолевая пневмония(предварительно).Верхнюю долю уточнять на контроле.
Вот-вот, уж больно четкие контуры.
На центральный рак намекаете?
Ага
+1. Уж сильно похожая картина.
Так значит ателектаз?
Я бы написала ателектаз
А не многовато ли "объема" для ателектазированной доли?
Ателектаз-гиповентиляция, суть одна. Может быть легкое еще не полностью спалось, но на пути к этому
Сначала пневмония. А все остальное потом. Пока в ателектаз не впали
По всей видимости, разница все таки имеется.
Ну если нет температуры, а возраст и прочие факторы указывают на онкологию, то можно и в ателектаз повпадать))))) Чего зря время терять, не зря в направительном стоял пневмоторакс
Пойду и я в ателектаз впам, а то вставать рано
Рискну предположить, что основная тень в задне-базальном отделе - гидроторакс. Но и снижение прозрачности легочной ткани есть, не могу локализовать, то ли языки, то ли восьмерка. Узи плевральных (заодно и легочная ткань видна будет) ну, или томография (кто к чему привык, у кого что под рукой), + динамика.
С уважением,
А треугольная тень в верхней доле на боково м? Ателектаз S3? И округлая тень в верхушке на прямом снимке слева! еденичный мтс или специфическое?
Слева теперь где S3, где S5 не скажешь. Треугольная тень в проекции "S3" - мягкие ткани руки. Тут каждый сам оценивает, как быть, я бы не стал по "линейке" на таких измененных соотношениях детально оценивать изменения и исключать что-то.
PS. Перепутал темы))), в отношении линейки и S3-5 беру слова обратно
С уважением,
Прошу прощения!!))) тень округлая справа в верхужке!! её как расцениваете?
Плотная очаговая тень, оценка после томографии (или с рентгенархивом). В отношении мягких тканей - мнение то же, что в предыдущем 21 посте.
С уважением,
Клиника манифестная, клиника крупозной пневмонии.
"Поезд ушел".
Пациент сегодня ночью "ушел в мир иной".
Как это ни цинично прозвучит - теперь будет более или менее "объёктивная" информация...
С уважением,
Пока секрет не раскрыт, выскажусь за выпот или гиповентиляцию.
За пневмонию.
Вскрытие будет завтра. пока клинически - крупозная пневмония.
Ждем результатов.
Валентин Львович, добрый вечер! Что по вскрытию?
С уважением,
Крупозная пневмония, незначительный гидроторакс слева (со слов патологоанатома)
Спасибо.
С уважением,