Варвара краса - длиннющая коса.

Пол пациента: 
Тип патологии: 
Методы исследования: 

Какие женщины коварные? - их раздень до пояса, сними все прикрасы, а они все равно норовят подсунуть что-нибудь такое...Коса аж до...

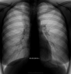
  • https://radiomed.ru/sites/default/files/styles/case_slider_image/public/user/3055/1985_g.r.11.03.2010_g._0.jpg?itok=rrO72elj
ID:1696
Катенёв Валентин Львович аватар
Не на сайте
Был на сайте: 7 лет 3 недели назад
Зарегистрирован: 22.03.2008 - 22:15
Публикации: 54876

Здравствуйте Игорь Иванович!

Следовательно, на первом снимке, по правому контуру тени "сердечно-сосудистого массива" тень косы? Если да, то такое может навеять мысли об "исходящем из средостения"?

stovbav аватар
Не на сайте
Был на сайте: 2 года 2 месяцев назад
Зарегистрирован: 20.12.2009 - 17:28
Публикации: 7066

Игорь Иванович прав, что выставил эти снимки. Волосы у женщин, особенно собраные пучком...приносят немало "сюрпризов"....а если туда еще и люрекса подмешать - коктейль - закачаешся...

Катенёв Валентин Львович аватар
Не на сайте
Был на сайте: 7 лет 3 недели назад
Зарегистрирован: 22.03.2008 - 22:15
Публикации: 54876

Прекрасная иллюстрация. Лаборантов необходимо "фейсом об тейбл".

Я своих заставил все "телепающееся" на голове и шее фиксировать.

stovbav аватар
Не на сайте
Был на сайте: 2 года 2 месяцев назад
Зарегистрирован: 20.12.2009 - 17:28
Публикации: 7066

Катенёв Валентин Львович wrote:

Прекрасная иллюстрация. Лаборантов необходимо "фейсом об тейбл".

Я своих заставил все "телепающееся" на голове и шее фиксировать.

Оно то так...да все как не придешь - не снимки, а новогодняя елка....

Игорь Иванович аватар
Не на сайте
Был на сайте: 3 года 9 месяцев назад
Зарегистрирован: 23.01.2010 - 14:56
Публикации: 3695

Как говорится, беда одна не ходит, или парность случаев.

Приложения: 
1982_g.r.15.10.2010_g.kosa_..jpg1982_g.r.15.10.2010_g..jpg
Катенёв Валентин Львович аватар
Не на сайте
Был на сайте: 7 лет 3 недели назад
Зарегистрирован: 22.03.2008 - 22:15
Публикации: 54876

Второй, нижний снимок. А мне все одно - правая верхушка и 1 межреберье справа не нравится.

Катенёв Валентин Львович аватар
Не на сайте
Был на сайте: 7 лет 3 недели назад
Зарегистрирован: 22.03.2008 - 22:15
Публикации: 54876

А первый снимок - верхний - однозначно томография верхушек в стандартных срезах.

Игорь Иванович аватар
Не на сайте
Был на сайте: 3 года 9 месяцев назад
Зарегистрирован: 23.01.2010 - 14:56
Публикации: 3695

Да я уже норму написал. Хорошо, завтра посмотрю на работе.

ElenaG аватар
Не на сайте
Был на сайте: 15 лет 7 месяцев назад
Зарегистрирован: 23.02.2010 - 23:21
Публикации: 69

если Игорь Иванович,решитесь повторяь снимок попросите пациентку отвести лучше лопатку.Той тени.которая есть во 2 межреберье спррава на нижнем снимке нет на верхнем.думаю норма.

mila аватар
Не на сайте
Был на сайте: 5 лет 2 месяцев назад
Зарегистрирован: 26.02.2010 - 02:56
Публикации: 277

норма, тени суммационного характера.

Катенёв Валентин Львович аватар
Не на сайте
Был на сайте: 7 лет 3 недели назад
Зарегистрирован: 22.03.2008 - 22:15
Публикации: 54876

Весьма поучительные случаи от Игоря Ивановича.