Ваше мнение.

Пол пациента: 
Тип патологии: 
Методы исследования: 

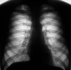
Флюорограмма 2007 год.

1._F-graf..JPG
1._F-graf..JPG
2.F-graf..JPG
2.F-graf..JPG

 

 

 

 

 

 

 

 

 

 

 

 

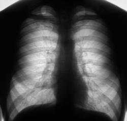
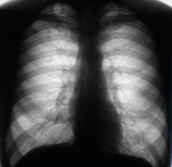
Флюорограмма 2008 г.

3.F-graf..JPG
3.F-graf..JPG
4.F-graf..JPG
4.F-graf..JPG

 

 

 

 

 

 

 

 

 

 

 

 

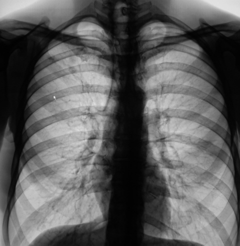
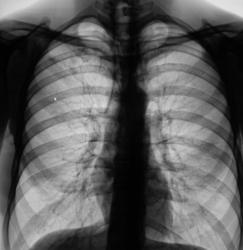
Флюорограмма 2009 г.

 

5.F-graf..JPG
5.F-graf..JPG
6.F-graf..JPG
6.F-graf..JPG

 

 

 

 

 

 

 

 

 

 

 

 

Ваше мнение коллеги?

В 2008 году пациент был взят на контроль и был вызван на дообследование, но "вдруг исчез" из населенного пункта. Но в этом году, а именно сегодня пациента удалось дообследовать.

1.SNIMKI.JPG
1.SNIMKI.JPG
2.SNIMKI.jpg
2.SNIMKI.jpg
3.SNIMKI..JPG
3.SNIMKI..JPG

 

 

 

 

 

 

 

 

 

 

 

 

Произведены томограммы в стандартных срезах.

4.SNIMKI.JPG
4.SNIMKI.JPG
5.SNIMKI.JPG
5.SNIMKI.JPG
6.SNIMKI.JPG
6.SNIMKI.JPG

 

 

 

 

 

 

 

 

 

 

 

 

7.SNIMKI.JPG
7.SNIMKI.JPG
8.SNIMKI.JPG
8.SNIMKI.JPG
9.SNIMKI.JPG
9.SNIMKI.JPG

 

 

 

 

 

 

 

 

 

 

 

 

10.SNIMKI.jpg
10.SNIMKI.jpg

 

ВложениеРазмер
Иконка изображения 1._F-graf..JPG55.73 КБ
Иконка изображения 2.F-graf..JPG50.91 КБ
Иконка изображения 3.F-graf..JPG60.4 КБ
Иконка изображения 4.F-graf..JPG60.11 КБ
Иконка изображения 5.F-graf..JPG57.11 КБ
Иконка изображения 6.F-graf..JPG45.68 КБ
Иконка изображения 1.SNIMKI.JPG77.84 КБ
Иконка изображения 2.SNIMKI.jpg73.83 КБ
Иконка изображения 3.SNIMKI..JPG76.89 КБ
Иконка изображения 4.SNIMKI.JPG61.43 КБ
Иконка изображения 5.SNIMKI.JPG61.23 КБ
Иконка изображения 6.SNIMKI.JPG77.71 КБ
Иконка изображения 7.SNIMKI.JPG75.01 КБ
Иконка изображения 8.SNIMKI.JPG61.37 КБ
Иконка изображения 9.SNIMKI.JPG63.85 КБ
Иконка изображения 10.SNIMKI.jpg38.79 КБ
В.Б. Серов аватар
Не на сайте
Был на сайте: 5 дней 7 часов назад
Зарегистрирован: 16.07.2008 - 10:15
Публикации: 1361

Катенёв Валентин Львович wrote:

Ваше мнение коллеги?

Че ту долго думать Суперрр раскручивать надо, на первом месте туберкулез, конечно.

Зри в корень!

Наталия аватар
Не на сайте
Был на сайте: 8 лет 7 месяцев назад
Зарегистрирован: 30.07.2008 - 13:24
Публикации: 538

Инфильтративный туберкулёз справа

Глазков Игорь Артурович аватар
Не на сайте
Был на сайте: 9 месяцев 1 неделя назад
Зарегистрирован: 19.12.2008 - 20:41
Публикации: 1597

инфильтративный туберкулёз.

Прийди к Себе