Ваше мнение

Пол пациента: 
Область исследования: 
Методы исследования: 

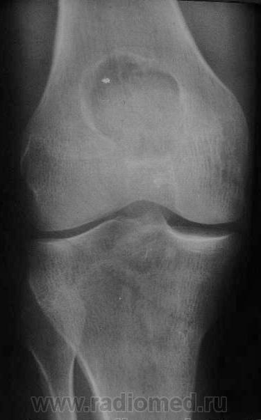
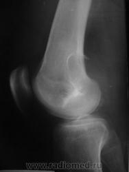
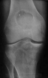
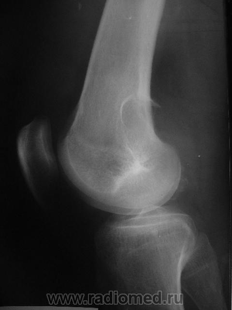
Здравствуйте, уважаемые коллеги! Сегодня в травмпункте принесли на описание снимки молодого человека 1984г.р. Травма, подвернул ногу. Жалобы характерные. Не наблюдался, не лечился. Прошу высказать мнение о характере патологии в метафизе бедренной кости.

 

Я склоняюсь к ГКО с кортикальным расположением, прорывом содержимого в мягкие ткани. А что думаете Вы? Т.к. снимок из травмпункта, поговорить с больным проблематично (я там совмещаю по вечерам).

  • https://radiomed.ru/sites/default/files/styles/case_slider_image/public/user/12/2..LUP_.jpg?itok=VnIjYDba
  • https://radiomed.ru/sites/default/files/styles/case_slider_image/public/user/12/3..LUP_.jpg?itok=hn_lfBQo
  • https://radiomed.ru/sites/default/files/styles/case_slider_image/public/user/12/4..LUP_.JPG?itok=PqOZ6LGm
  • https://radiomed.ru/sites/default/files/styles/case_slider_image/public/user/12/5..LUP_.jpg?itok=QrqaiE8u
ID:1072
Наталия аватар
Не на сайте
Был на сайте: 8 лет 8 месяцев назад
Зарегистрирован: 30.07.2008 - 13:24
Публикации: 538

На гигантоклеточную опухоль похоже, но не очень

rentgengb1 аватар
Не на сайте
Был на сайте: 12 лет 5 дней назад
Зарегистрирован: 13.02.2009 - 23:02
Публикации: 290

Метафизарный кортикальный очаг фиброзной дисплазии. ИМХО.

tatyana аватар
Не на сайте
Был на сайте: 4 года 1 месяц назад
Зарегистрирован: 24.06.2009 - 08:33
Публикации: 2090

какой красивый "козырек" по задней поверхности...

"самоуверенность дилетантов - предмет зависти профессионалов"

helenmar аватар
Не на сайте
Был на сайте: 8 лет 6 месяцев назад
Зарегистрирован: 23.03.2008 - 12:27
Публикации: 291

Расположение крупного очага деструкции эксцентрично (кзади) и вкрапления извести говорит в пользу солитарной хондромы, а местами нечеткие контуры ("скорлупа" теряется), "козырек" и  мягкоттканный компонент нацеливают на озлокачествление. Кроме того очень смущает структура прокс. эпиметафиза б/берц. кости. В любом случае, вижу прямые показания к активным действиям, начиная с биопсии.

Делай, что должно, и будь, что будет.

В.Б. Серов аватар
Не на сайте
Был на сайте: 2 недели 3 дня назад
Зарегистрирован: 16.07.2008 - 10:15
Публикации: 1361

И я за хондрому.

Зри в корень!

lupan аватар
Не на сайте
Был на сайте: 6 лет 10 месяцев назад
Зарегистрирован: 07.01.2010 - 17:17
Публикации: 1406

Спасибо за высказанные мнения. Интенсивная тень в проекции метафиза это артефакт на пленке. Больного я отправил на консультацию в специализированное учреждение, так что потеряться он не должен. Если узнаю результаты, то сообщу.

                                                                                                                     Еще раз спасибо всем.

Великое преймущество врача заключается в том, что он не обязан следовать собственным советам. ( А. Кристи)