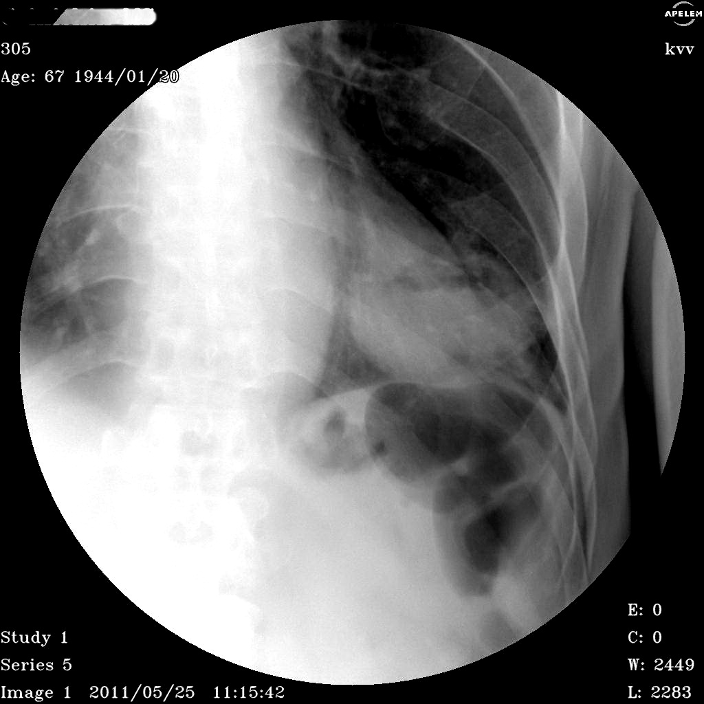
Поступил с Cr. языка. ОАК - Ле-11,0 СОЭ 40. Жалоб, как таковых нет. Кашель есть, но постоянный (много курит) Эпизодов поднятия температуры не было. Выполнили линейную томограмму стоя. В качестве одной из версий предположили необычную грыжу - дали барий.
кровь кстати весьма не специфична..при раковых процессах вполне может быть такой..такие же сомнения, ведь и мокрота и та скудная, слизистая...но в протоколе конечно абцесс...хотя на фоне стариковства 1934 год рождения вплне и может, вообще в принципе такое бывает?
Клиника блокированых или частично дренированых абсцессов может быть весьма смазанной.
Конечно, стопроцентно исключить распадающийся рак мы не можем, равно как и первичную полостную форму рака, а то и распад в крупном метастазе рака языка (что никто и не отменял)....
Коллега, прекрасное качество снимков (нижняя серия), на каком аппарате выпонены эти шедевры?
имхо:По случаю, всё подробно изложил stovbav- дифференцировать дренированный абсцесс и опухоль ( первичную либо вторичную). Пределы возможностей классической рентгенологии, по этому случаю исчерпаны-показана КТ.
Коллега, прекрасное качество снимков (нижняя серия), на каком аппарате выпонены эти шедевры?
имхо:По случаю, всё подробно изложил stovbav- дифференцировать дренированный абсцесс и опухоль ( первичную либо вторичную). Пределы возможностей классической рентгенологии, по этому случаю исчерпаны-показана КТ.
Спасибо за отзыв : аппарат русско-французко-итальянский Спектр АП. Телеуправляемый. Качество скопии плохое, а вот снимочки и томограммы не плохие.. вот только поле круглое и всего 30 см, готовлю обзор по аппарату думаю к июлю-августу выставлю на сайте
Поступил с Cr. языка. ОАК - Ле-11,0 СОЭ 40. Жалоб, как таковых нет. Кашель есть, но постоянный (много курит) Эпизодов поднятия температуры не было. Выполнили линейную томограмму стоя. В качестве одной из версий предположили необычную грыжу - дали барий.
Виктор.
Дренированный абсцесс, как мне кажется.
https://www.youtube.com/channel/UCBGxoBUOqUT_bFhSeUgtWEw
Тоже склоняюсь к частично дренированому абсцессу.
Болезни ног: виды, симптомы, причины, профилактика и лечение
Похожа картинка..., а с клиникой, что будем делать?))
Ну, ладно, кровь за нас.
Неоднозначно всё
кровь кстати весьма не специфична..при раковых процессах вполне может быть такой..такие же сомнения, ведь и мокрота и та скудная, слизистая...но в протоколе конечно абцесс...хотя на фоне стариковства 1934 год рождения вплне и может, вообще в принципе такое бывает?
Виктор.
Клиника блокированых или частично дренированых абсцессов может быть весьма смазанной.
Конечно, стопроцентно исключить распадающийся рак мы не можем, равно как и первичную полостную форму рака, а то и распад в крупном метастазе рака языка (что никто и не отменял)....
Болезни ног: виды, симптомы, причины, профилактика и лечение
Спасибо Виктор Григорьевич за Ваши коменты.
Виктор.
Коллега, прекрасное качество снимков (нижняя серия), на каком аппарате выпонены эти шедевры?
имхо:По случаю, всё подробно изложил stovbav- дифференцировать дренированный абсцесс и опухоль ( первичную либо вторичную). Пределы возможностей классической рентгенологии, по этому случаю исчерпаны-показана КТ.
Спасибо за отзыв : аппарат русско-французко-итальянский Спектр АП. Телеуправляемый. Качество скопии плохое, а вот снимочки и томограммы не плохие.. вот только поле круглое и всего 30 см, готовлю обзор по аппарату думаю к июлю-августу выставлю на сайте
Виктор.