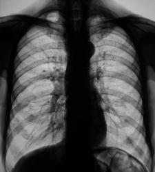
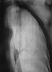
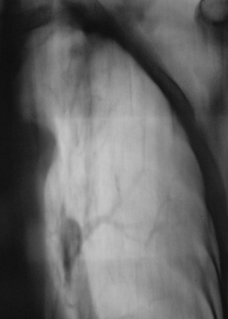
Смею предположить:в S1,2 слева усиление и деформация легочного рисунка за счет периваскулярной (перибронхиальной?) инфильтрации и участков пневмосклероза плевро- костальные наложения?), на этом фоне определяется( по крайней мере одно по поводу интенсивности ) дополнительное округлое образование средней интенсивности с инфильтрацией легочной ткани вокруг. Мне кажется больше данных за активный процесс.
Смею предположить:в S1,2 слева усиление и деформация легочного рисунка за счет периваскулярной (перибронхиальной?) инфильтрации и участков пневмосклероза плевро- костальные наложения?), на этом фоне определяется( по крайней мере одно по поводу интенсивности ) дополнительное округлое образование средней интенсивности с инфильтрацией легочной ткани вокруг. Мне кажется больше данных за активный процесс.
Интересно, что скажут остальные
На мой взгляд также процесс имеет "активность" с учётом наличия очагов средней интенсивности
инфильтративный туберкулёз в активной фазе.
Прийди к Себе