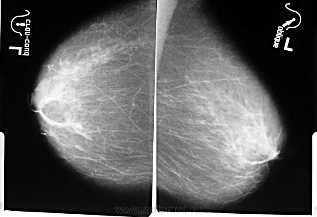
Ваше мнение о левой железе..?

Пол пациента: 
Область исследования: 
Методы исследования: 

 

  • https://radiomed.ru/sites/default/files/styles/case_slider_image/public/user/1787/P1010930.JPG?itok=9gcxo8uq
  • https://radiomed.ru/sites/default/files/styles/case_slider_image/public/user/1787/P1010931.JPG?itok=5dXyRazE
  • https://radiomed.ru/sites/default/files/styles/case_slider_image/public/user/1787/P1010932.JPG?itok=sWM2oTjP
ID:3977
tatyana аватар
Не на сайте
Был на сайте: 4 года 1 месяц назад
Зарегистрирован: 24.06.2009 - 08:33
Публикации: 2090

образование жировой плотности - липома или жиросодержащая киста

"самоуверенность дилетантов - предмет зависти профессионалов"

mila аватар
Не на сайте
Был на сайте: 5 лет 3 месяцев назад
Зарегистрирован: 26.02.2010 - 02:56
Публикации: 277

Липома, с толстой фиброзной капсулой, должна пальпироваться. Для жиросодержащей кисты вроде как великовато.

Vikkur аватар
Не на сайте
Был на сайте: 4 года 8 месяцев назад
Зарегистрирован: 24.09.2009 - 14:34
Публикации: 1749

Большое спасибо вам за комментарии! Спасибо, что обращаете своё внимание)))

Виктор.