Ваше мнение по поводу томограмм?

Пол пациента: 
Тип патологии: 
Методы исследования: 

Ваше мнение по поводу томограмм?

  • https://radiomed.ru/sites/default/files/styles/case_slider_image/public/user/12/2..01.mian_.jpg?itok=UiAATVuK
  • https://radiomed.ru/sites/default/files/styles/case_slider_image/public/user/12/3..01.mishchan.jpg?itok=pxqh-CaE
  • https://radiomed.ru/sites/default/files/styles/case_slider_image/public/user/12/4..01.mishchan-1.jpg?itok=G70H24Ws
  • https://radiomed.ru/sites/default/files/styles/case_slider_image/public/user/12/5..01.mishchan.123jpg.jpg?itok=qzWpG1S3
  • https://radiomed.ru/sites/default/files/styles/case_slider_image/public/user/12/6..01.mishchan.12jpg_1.jpg?itok=9Sa3Ps59
  • https://radiomed.ru/sites/default/files/styles/case_slider_image/public/user/12/7..01.mishchan.12345jpg_1.jpg?itok=gcSlobgK
  • https://radiomed.ru/sites/default/files/styles/case_slider_image/public/user/12/8..01.mishchan.1234jpg_1.jpg?itok=2-NlA8-e
  • https://radiomed.ru/sites/default/files/styles/case_slider_image/public/user/12/9..01.mishcha_1.jpg?itok=Rq5DnIn1
ID:7286
Almo аватар
Не на сайте
Был на сайте: 19 часов 9 минут назад
Зарегистрирован: 28.09.2008 - 18:50
Публикации: 8267

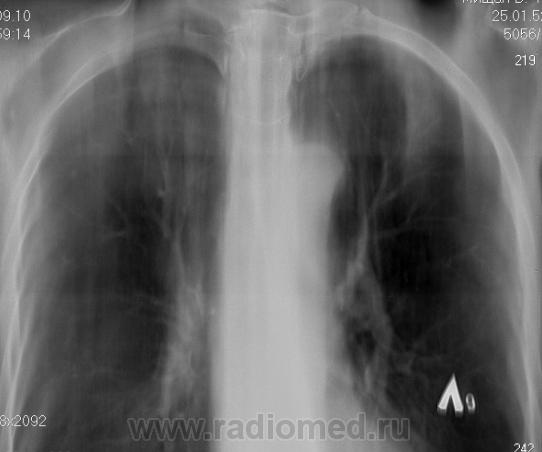
Для начала, неплохо бы R- граммы посмотреть, тогда будет понятна цель выполнения томографии.

mila аватар
Не на сайте
Был на сайте: 5 лет 2 месяцев назад
Зарегистрирован: 26.02.2010 - 02:56
Публикации: 277

По томограммам не понятно что хотели получить? Интересовали эти маленькие плотные очаги?

sema аватар
Не на сайте
Был на сайте: 10 лет 5 месяцев назад
Зарегистрирован: 05.09.2010 - 08:39
Публикации: 233

Справа на верхушке инфильтративная тень. Слева в задних отделах мелкие буллы.

Helios аватар
Не на сайте
Был на сайте: 7 месяцев 4 недели назад
Зарегистрирован: 06.08.2010 - 15:16
Публикации: 4417

На последнем срезе тень в 1 сегменте, мелкие полости в верхних долях с обеих сторон.