Ваше мнение уважаемые коллеги?

Пол пациента: 
Тип патологии: 
Область исследования: 
Методы исследования: 

Ваше мнение уважаемые коллеги?

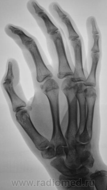
Пациентка направлена хирургом в рентгеновский кабинет для рентгенографии кисти и лучезапястного сустава. Вроде-бы, была и травма, после которой появилась боль в лучезапястном суставе.

 

  • https://radiomed.ru/sites/default/files/styles/case_slider_image/public/user/12/2.P5190009.JPG?itok=yDLhKeuz
  • https://radiomed.ru/sites/default/files/styles/case_slider_image/public/user/12/3.P5190010.JPG?itok=dYh1w5fy
  • https://radiomed.ru/sites/default/files/styles/case_slider_image/public/user/12/4.P5190011.JPG?itok=o2XpjHJK
ID:4090
Илья Васильевич Маршалко аватар
Не на сайте
Был на сайте: 14 лет 3 месяцев назад
Зарегистрирован: 25.04.2010 - 14:23
Публикации: 89

перелом крючковидной кости, м.б и гороховидной (по поводу последней не очень уверен)

телу- мера, душе-Вера

Иринка аватар
Не на сайте
Был на сайте: 11 лет 10 месяцев назад
Зарегистрирован: 16.11.2009 - 22:14
Публикации: 190

Укладки на трехгранную кость, она смещена каудально и радиально, структура неоднородная, но на счет перелома не уверена, а вот вывих трёхгранной кости есть.

Катенёв Валентин Львович аватар
Не на сайте
Был на сайте: 7 лет 5 месяцев назад
Зарегистрирован: 22.03.2008 - 22:15
Публикации: 54876

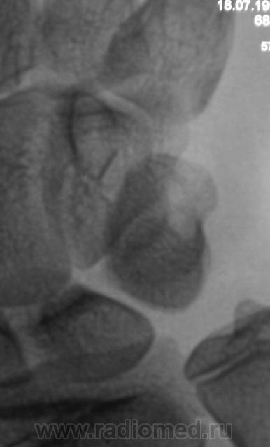
Смущает перестройка структуры костной ткани, помечено стрелками.

 

Приложения: 
111._Struktura..JPG112._Struktura..JPG
Makcimalist аватар
Не на сайте
Был на сайте: 12 лет 1 месяц назад
Зарегистрирован: 08.05.2010 - 14:28
Публикации: 1994

 Похоже на кисты (здесь - врождённые)

--------------

"Просто, по видимости, не видеть логики в очевидных вещах - это тоже одно из свойств некоторых умов, наряду с грустными думами о свойствах ума других."  © Vega 08/10/2011

Катенёв Валентин Львович аватар
Не на сайте
Был на сайте: 7 лет 5 месяцев назад
Зарегистрирован: 22.03.2008 - 22:15
Публикации: 54876

А может ГКО?