Да, такую "бедренную грыжу" видеть не приходилось, да и сейчас не сильно верится..., по всей видимости живот в виде "фартука" наслаивается...
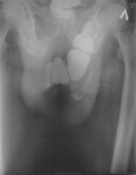
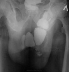
Она не в бедре, там огромный грыжевой мешок с кишками, к сожалению сохранился только этот обзорный снимок. На первое мая решил разобраться в архивах на компьютере...
Терпимость - это когда прощают чужие ошибки; такт - когда не замечают их. (Артур Шницлер)
Она не в бедре, там огромный грыжевой мешок с кишками, к сожалению сохранился только этот обзорный снимок. На первое мая решил разобраться в архивах на компьютере...
Понятно, что не в бедре. "Огромный грыжевой мешок" с кишками "ТАМ" - где?
Она не в бедре, там огромный грыжевой мешок с кишками, к сожалению сохранился только этот обзорный снимок. На первое мая решил разобраться в архивах на компьютере...
Понятно, что не в бедре. "Огромный грыжевой мешок" с кишками "ТАМ" - где?
С чем связан "грыжевой мешок"?
Там это между ног... Это правая паховая грыжа.
Терпимость - это когда прощают чужие ошибки; такт - когда не замечают их. (Артур Шницлер)
Ведь не пахово-мошоночная, её быть не может просто пахово-мошоночной (В своё время уважаемый Игорь Иванович демонстрировал незабываемую пахово-мошоночную грыжу).
Евгений Второй прав - "Не верю! Почему подвздошная кишка уходит на левое колено?"
Я тоже не верю.
Могу предположить наличие огромной грыжи белой линии живота, в которую вывалился "ливер" и она болтается спереди в виде "фартука".
Всегда нравились предположения Виктора Григорьевича, но сегодня Виктор Григорьевич высказался только по поводу "блудливого аппендикса", эко, куда непутёвый аппендикс забрался
Никак не могу представить процесс проникновения такого топически "непотревоженного" содержимого через паховый канал. В самом крайнем случае - эвентерация на уже оперированном животе. Причем у умственно отсталого, тяжело соматически больного алкоголика из глубокой тундры, так как разом такое не вываливается. В общем - "терзают смутные сомнения"...
Оффтоп: Зато вчера видел описание ирригоскопии: "Барием туго заполнены все отделы прямой кишки, на задней стенке верхнеампулярного (или ректосигмоидного, не помню) отдела визуализируется соустье, через которое свободно заполняются петли т...(неразборчиво) кишечика. Подпись. В выписке состояние после обструктивной резекции сигмовидной кишки по поводу опухоли. Исследование сделано в стационаре. Я поле МРТ понял, что рентгенолог имел в виду. А что остальные доктора должны понять из этого описания?
Оффтоп: Зато вчера видел описание ирригоскопии: "Барием туго заполнены все отделы прямой кишки, на задней стенке верхнеампулярного (или ректосигмоидного, не помню) отдела визуализируется соустье, через которое свободно заполняются петли т...(неразборчиво) кишечика. Подпись. В выписке состояние после обструктивной резекции сигмовидной кишки по поводу опухоли. Исследование сделано в стационаре. Я поле МРТ понял, что рентгенолог имел в виду. А что остальные доктора должны понять из этого описания?
Возможно перед рентгенологом стояла задача проверить проходимость соустья и он это все писал хирургам которые делали операцию.
Терпимость - это когда прощают чужие ошибки; такт - когда не замечают их. (Артур Шницлер)
Я у Вас добивался, что следует после слова "паховая". По ссылке понял, что Вами, по всей видимости, подразумевается "пахово-мохоночная", хотя может быть и еще один вариант.
Так вот должен Вас огорчить, что "это" не может быть паховомошоночной грыжей.
Так..., в виде иллюстрации предъявляю пахово-мошоночную грыжу
Зато вчера видел описание ирригоскопии: "Барием туго заполнены все отделы прямой кишки, на задней стенке верхнеампулярного (или ректосигмоидного, не помню) отдела визуализируется соустье, через которое свободно заполняются петли т...(неразборчиво) кишечика. Подпись.
Уважаемый Евгений!
Вы прекрасно понимаете, что уважающий себя рентгенолог, и даже просто врач-рентгенолог не мог написать такой протокол, по всей видимости "ЭТО" писало "седалище" тойного рентгенолога.
2Dima Обструктивная резекция не предполагает соустья, я спросил у дочери, не было ли реконструктивной операции, на что та ответила отрицательно. Итак: в левой подвздошной области одноствольный анус и... А в итоге оказался рецидив опухоли в слепом конце культи прямой кишки с распадом, прорастание опухолью стенки тонкой кишки с наличием свища через полость распада в опухоли между тонкой кишкой и прямой.
По случаю автора. Жаль, что вы не захватили немного левее и ниже на прямом. И не сняли на боку. А так случай для меня очень интересный, скушал с удовольствием.
Она не в бедре, там огромный грыжевой мешок с кишками, к сожалению сохранился только этот обзорный снимок. На первое мая решил разобраться в архивах на компьютере...
...... но сегодня Виктор Григорьевич высказался только по поводу "блудливого аппендикса", эко, куда непутёвый аппендикс забрался
Было много работы...день то у нас - рабочий))), но как раз этот случай смотрели и обсуждали вместе с дочерью, впечатление сложилось о "фартуке" практически сразу)))
Я за фартук. То, что это может быть паховая грыжа, сомневаюсь.
Причем такой фартук видел. Даже конкретнее скажу: каждый день я здороваюсь за руку с обладателем такого фартука. Был обладатель весом около 300 кг. Похудел. Стал около 100. Носит поддерживающие бандажи, компрессионное белье и счастлив. Владелец бизнеса, семьянин. Никаких грыж у него нет, а снимки такие вот веселые. Сам он тоже весельчак, если спросите, то расскажет и про грыжы и про что хотите, потом про вас расскажет кому-нибудь, как вы верили.)))
None are more hopelessly enslaved than those who falsely believe they are free
Может быть я и не права-с моим крайне "неположительным" отношением к пластической хирургии, но при нынешнем развитии анестезиологии и востановительной хирургии иметь такое........
Izvinite za latinicy. Na operativnoj xiryrgii vskrivali telo pacienta s naprazennim ascitom I soderzimim brushnoj polosti v moshonke, kotoraya bila razmerami primerno do kolen. Posle evakyacii ascita v zivote ostalos rovnim schetom nichego.. Interesno, kakyu bi kartiny pri zizni on vidal bi na irrigoskopii
Dima, вы представили просто уникальный случай! Не могли бы вы уточнить, как же звучал клинический диагноз данного пациента?( я понимаю, что снимок датирован прошлым годом, но документы можно поднять, с учётом совершенно редкого случая !)
Dima, вы представили просто уникальный случай! Не могли бы выуточнить, как же звучал клинический диагноз данного пациента?( я понимаю, что снимок датирован прошлым годом, но документы можно поднять, с учётом совершенно редкого случая !)
Постараюсь поднять историю из архива ЛПУ в ближайшее время.
Терпимость - это когда прощают чужие ошибки; такт - когда не замечают их. (Артур Шницлер)
О как все запущено! Скоро у стоп будет.
Да, аппендикс на уровне средней трети бедра - это "круто".....
Болезни ног: виды, симптомы, причины, профилактика и лечение
Да, такую "бедренную грыжу" видеть не приходилось, да и сейчас не сильно верится..., по всей видимости живот в виде "фартука" наслаивается...
или 2 снимка наслоили)
Думается, что автор случая рассеит сомнения.
Терпимость - это когда прощают чужие ошибки; такт - когда не замечают их. (Артур Шницлер)
Терпимость - это когда прощают чужие ошибки; такт - когда не замечают их. (Артур Шницлер)
Понятно, что не в бедре. "Огромный грыжевой мешок" с кишками "ТАМ" - где?
С чем связан "грыжевой мешок"?
Терпимость - это когда прощают чужие ошибки; такт - когда не замечают их. (Артур Шницлер)
Достойно изумления.Не думал,что такое может быть.
Не верю! Автор сами знаете кто... Почему подвздошная кишка уходит на левое колено?
Терпимость - это когда прощают чужие ошибки; такт - когда не замечают их. (Артур Шницлер)
Можете нарисовать контур мешка?
Терпимость - это когда прощают чужие ошибки; такт - когда не замечают их. (Артур Шницлер)
Чудеса! Экспонат кунсткамеры.
"Паховая" принимается. А дальше, дальше куда?
Ведь не пахово-мошоночная, её быть не может просто пахово-мошоночной (В своё время уважаемый Игорь Иванович демонстрировал незабываемую пахово-мошоночную грыжу).
Евгений Второй прав - "Не верю! Почему подвздошная кишка уходит на левое колено?"
Я тоже не верю.
Могу предположить наличие огромной грыжи белой линии живота, в которую вывалился "ливер" и она болтается спереди в виде "фартука".
Всегда нравились предположения Виктора Григорьевича, но сегодня Виктор Григорьевич высказался только по поводу "блудливого аппендикса", эко, куда непутёвый аппендикс забрался
Никак не могу представить процесс проникновения такого топически "непотревоженного" содержимого через паховый канал. В самом крайнем случае - эвентерация на уже оперированном животе. Причем у умственно отсталого, тяжело соматически больного алкоголика из глубокой тундры, так как разом такое не вываливается. В общем - "терзают смутные сомнения"...
С уважением,
+1.
Да еще когда тонкая кишка, интимно связанная со слепой - в проекции "другой конечности"
На момент исследования болен около 4 лет, операции боялся по этому "носил" до последнего.
Какие бывают паховые грыжи можно посмотреть тут http://kingmed.ru/fotogaleryeya/Hirurgiya/Abdominalnaya_hirurgiya/Pahovie_griji
Терпимость - это когда прощают чужие ошибки; такт - когда не замечают их. (Артур Шницлер)
Спасибо. К стыду своему (а вообще наверное к счастью) такого не видел воочию ни разу. Теперь теоретически представляю.
Оффтоп: Зато вчера видел описание ирригоскопии: "Барием туго заполнены все отделы прямой кишки, на задней стенке верхнеампулярного (или ректосигмоидного, не помню) отдела визуализируется соустье, через которое свободно заполняются петли т...(неразборчиво) кишечика. Подпись. В выписке состояние после обструктивной резекции сигмовидной кишки по поводу опухоли. Исследование сделано в стационаре. Я поле МРТ понял, что рентгенолог имел в виду. А что остальные доктора должны понять из этого описания?
Терпимость - это когда прощают чужие ошибки; такт - когда не замечают их. (Артур Шницлер)
Уважаемый Дима!
Я у Вас добивался, что следует после слова "паховая". По ссылке понял, что Вами, по всей видимости, подразумевается "пахово-мохоночная", хотя может быть и еще один вариант.
Так вот должен Вас огорчить, что "это" не может быть паховомошоночной грыжей.
Так..., в виде иллюстрации предъявляю пахово-мошоночную грыжу
Уважаемый Евгений!
Вы прекрасно понимаете, что уважающий себя рентгенолог, и даже просто врач-рентгенолог не мог написать такой протокол, по всей видимости "ЭТО" писало "седалище" тойного рентгенолога.
2Dima Обструктивная резекция не предполагает соустья, я спросил у дочери, не было ли реконструктивной операции, на что та ответила отрицательно. Итак: в левой подвздошной области одноствольный анус и... А в итоге оказался рецидив опухоли в слепом конце культи прямой кишки с распадом, прорастание опухолью стенки тонкой кишки с наличием свища через полость распада в опухоли между тонкой кишкой и прямой.
я видимо с утра плохо соображаю...указанный случай и МРТ случай как-то связаны? К чему этот второй пример?
Не ограничивайте свою мысль
Живешь пока учишься
Ecrasez l’infame
По случаю автора. Жаль, что вы не захватили немного левее и ниже на прямом. И не сняли на боку. А так случай для меня очень интересный, скушал с удовольствием.
Не ограничивайте свою мысль
Живешь пока учишься
Ecrasez l’infame
Это "Архив" из компа.
Это, так сказать для коллеги Mitkampfer.
Это было просто БЫЛ в компе, в "архиве"...
Было много работы...день то у нас - рабочий))), но как раз этот случай смотрели и обсуждали вместе с дочерью, впечатление сложилось о "фартуке" практически сразу)))
Болезни ног: виды, симптомы, причины, профилактика и лечение
Спасибо за ответ
Сочувствую!
У нас, на этой неделе 5 дней праздника - выходных
Я за фартук. То, что это может быть паховая грыжа, сомневаюсь.
Причем такой фартук видел. Даже конкретнее скажу: каждый день я здороваюсь за руку с обладателем такого фартука. Был обладатель весом около 300 кг. Похудел. Стал около 100. Носит поддерживающие бандажи, компрессионное белье и счастлив. Владелец бизнеса, семьянин. Никаких грыж у него нет, а снимки такие вот веселые. Сам он тоже весельчак, если спросите, то расскажет и про грыжы и про что хотите, потом про вас расскажет кому-нибудь, как вы верили.)))
None are more hopelessly enslaved than those who falsely believe they are free
По ссылке тоже просмотрел картинки. Похожа там 04 и 16. Но не так, не так.
http://kingmed.ru/fotogaleryeya/Hirurgiya/Abdominalnaya_hirurgiya/Pahovie_griji
None are more hopelessly enslaved than those who falsely believe they are free
Вот прекрасный случай Игоря Ивановича!
Досмотр кишечника через 24 часа после приема пер ос "бария".
Классическая пахово-мошоночная грыжа.
Вот литературное дополнение (от меня)
А, вот интересное дополнение от Евгений Второго
Ну очень интересное!!!
Вот тоже "литературная добавка" от меня.
Вот и еще пахово-мошоночная грыжа...
Ещё
А вот и ещё, и совсем не "фигня"
Вот ещё...
Конечно, можно и посмотреть по ссылке...
Да, вот у меня "тута", буржуинские ссылки есть по данной теме, и они совсем не "фигня", а даже "очень и очень"...
http://radiographics.rsna.org/content/31/2/E1.full
http://radiographics.rsna.org/content/25/6/1501.full
http://www.slideshare.net/Abush4/seminar-on-scrotal-swelling
http://radiopaedia.org/articles/inguinal-hernia
http://www.rbrs.org/dbfiles/journalarticle_0580.pdf
http://homepage.vghtpe.gov.tw/~jcma/76/1/57.pdf
http://dergiler.ankara.edu.tr/dergiler/36/1357/15654.pdf
http://www.ajronline.org/doi/pdf/10.2214/ajr.164.6.7754880
http://atlas.mudr.org/Case-images-Scrotal-hernia-cecum-in-scrotal-hernia-1647
http://atlas.mudr.org/Case-images-Scrotal-hernia-929
http://atlas.mudr.org/Case-images-Scrotal-hernia-421
http://radiopaedia.org/articles/urinary-bladder-hernia
http://www.wjgnet.com/1948-5190/full/v3/i6/110.htm
http://radiopaedia.org/images/17432
http://radiopaedia.org/images/17428
http://www.sciencedirect.com/science/article/pii/S0363018806000612
http://radiopaedia.org/cases/gasbag
http://www.medscape.com/viewarticle/763339_2
http://www.bjui.org/ContentFullItem.aspx?id=456
http://emergencymedicineireland.com/2011/08/conclusion-whats-the-diagnosis-7/
http://www.sages.org/meetings/annual-meeting/abstracts-archive/repair-of-a-giant-inguinal-hernia-without-loss-of-intra-abdominal-domain/
http://www.mypacs.net/cases/INCARCERATED-LEFT-INGUINAL-HERNIA-31358972.html
А вот статья по "паховым массам", отличная статья, ажник слаще изюму...
http://radiographics.rsna.org/content/21/suppl_1/S261.full
Материал хоть и "рядом", но материал интересный
http://radiographics.rsna.org/content/23/1/215.full
А, вот кратенько по "грыжам"
http://hernialosangeles.com/about-hernias/common-hernia-types/
Может быть я и не права-с моим крайне "неположительным" отношением к пластической хирургии, но при нынешнем развитии анестезиологии и востановительной хирургии иметь такое........
Izvinite za latinicy. Na operativnoj xiryrgii vskrivali telo pacienta s naprazennim ascitom I soderzimim brushnoj polosti v moshonke, kotoraya bila razmerami primerno do kolen. Posle evakyacii ascita v zivote ostalos rovnim schetom nichego.. Interesno, kakyu bi kartiny pri zizni on vidal bi na irrigoskopii
Все-таки как грыжа по-англицки звучит неприглядно.
Не ограничивайте свою мысль
Живешь пока учишься
Ecrasez l’infame
Фантастика! Сложно спорить о чем-то. Но мозг с грыжей как-то не справляется))) Что б полкишечника до колен в грыжевом мешке
...
"Обучая других - учишься сам". Н.И.Пирогов
ОффтопN2: Христос воскрес!
Dima, вы представили просто уникальный случай!
Не могли бы вы уточнить, как же звучал клинический диагноз данного пациента?( я понимаю, что снимок датирован прошлым годом, но документы можно поднять, с учётом совершенно редкого случая !)
Терпимость - это когда прощают чужие ошибки; такт - когда не замечают их. (Артур Шницлер)
Не без труда удалось достать выписку из из амбулаторной карты:
Терпимость - это когда прощают чужие ошибки; такт - когда не замечают их. (Артур Шницлер)
Снимаю шляпу) Благодарю за выкладку такого уникального случая. Никто из "наших" не видел подобного никогда.
None are more hopelessly enslaved than those who falsely believe they are free
Снимаю шляпу) Благодарю за выкладку такого уникального случая. Никто из "наших" не видел подобного никогда.
-----------------------------------------------------------------------------------------------------------------------------------------------------------------------------------------
+1.
А я видел). На хирургии в институте)).
Не ограничивайте свою мысль
Живешь пока учишься
Ecrasez l’infame
А я видел).
--------------------------------------------------------------------------------------------------------------------------------------------------------------
Коллега, ну и какой же вывод можно сделать из увиденного ?
вывод в посте #1
Не ограничивайте свою мысль
Живешь пока учишься
Ecrasez l’infame