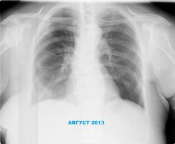
Насчет возрастных - шутка, да? Очаги в левой верхушке, левый корень полез, справа что-то с ребрами. Боковые? Левая молочная удалена, или просто сплющилась?
необычное положение корня левого легкого. Смещение вверх может быть обусловлено: 1. циррозом, но его не видно, 2. резекцией легкого, но не нет танталовых скрепок, однако современные шовные материалы могут быть не видны (вспомним демонстрацию Петровича с удаленной верхней долей правого легкого); 3. ателектазом сегментов верхней доли. В остальном, согласен с Алексеем Станиславовичем.
"Смещение" левого корня может быть обусловлено кифосколиозом,а вот справа в верхнем поле что-то:то ли действительно с ребрами,то ли плевральные наслоения,то ли еще чего.Насчет добавочноой доли,-иногда так выглядят утолщенные стенки сегментарных бронхов у пожилых людей,но это не важно в данном случае.А вот левой молочной железы не видно.Может анамнез,да и жалобы какие-нибудь есть?
КТ - жидкость в плевральной полости, лимфоузлы корней легких 10-12мм, склеротические метастазы ребра, позвонки, грудина. Во втором ребре справа в средней части образование 40х20мм (mts).
МРТ головного мозга - в затылочной доле справа 1.5х1.3см образование (mts). Комплексное лечение.
В 2013:
март КТ - отрицательная динамика, множественные метастазы костей, лимфоузлы корней легких 11-15мм. Во втором ребре справа в средней части образование 45х24мм (mts).
МРТ грудного отдела позвоночника диффузно-склеротические метастазы.
благодарность за хорошее клиническое наблюдение и ссылку. Но обсуждение ещё не завершено. Я выдвинул 3 причины высокого положения корня правого легкого (#2), Мирголина выдвинула 4-ю версию, 5 -я причина - индивидуальная особенность пациента (врожденная). Хочу знать мнение коллег по этомим версиям. Наконец, высказано мнение о мастэктомии (#1). Что на самом деле имеется? Последний вопрос к автору.
благодарность за хорошее клиническое наблюдение и ссылку. Но обсуждение ещё не завершено. Я выдвинул 3 причины высокого положения корня правого легкого (#2), Мирголина выдвинула 4-ю версию, 5 -я причина - индивидуальная особенность пациента (врожденная). Хочу знать мнение коллег по этомим версиям. Наконец, высказано мнение о мастэктомии (#1). Что на самом деле имеется? Последний вопрос к автору.
Думаю там целый комплекс причин, ведущими из которых является фиброз в верхней доле (постлучевой) и сколиоз.
благодарность за хорошее клиническое наблюдение и ссылку. Но обсуждение ещё не завершено. Я выдвинул 3 причины высокого положения корня правого легкого (#2), Мирголина выдвинула 4-ю версию, 5 -я причина - индивидуальная особенность пациента (врожденная). Хочу знать мнение коллег по этомим версиям. Наконец, высказано мнение о мастэктомии (#1). Что на самом деле имеется? Последний вопрос к автору.
Про левосторонюю мастэктомию уже написал, что была в 2011г.
Качательно высокого положения левого корня, соглашусь, что дело в сколиозе и постлучевом фиброзе, как уже написал выше.
Насчет возрастных - шутка, да? Очаги в левой верхушке, левый корень полез, справа что-то с ребрами. Боковые? Левая молочная удалена, или просто сплющилась?
С уважением,
необычное положение корня левого легкого. Смещение вверх может быть обусловлено: 1. циррозом, но его не видно, 2. резекцией легкого, но не нет танталовых скрепок, однако современные шовные материалы могут быть не видны (вспомним демонстрацию Петровича с удаленной верхней долей правого легкого); 3. ателектазом сегментов верхней доли. В остальном, согласен с Алексеем Станиславовичем.
Согласен с предыдущими докторами.Левый бок необходим.
Добавочная нижняя междолевая плевра. См рисунок
"Смещение" левого корня может быть обусловлено кифосколиозом,а вот справа в верхнем поле что-то:то ли действительно с ребрами,то ли плевральные наслоения,то ли еще чего.Насчет добавочноой доли,-иногда так выглядят утолщенные стенки сегментарных бронхов у пожилых людей,но это не важно в данном случае.А вот левой молочной железы не видно.Может анамнез,да и жалобы какие-нибудь есть?
В 2012:
КТ - жидкость в плевральной полости, лимфоузлы корней легких 10-12мм, склеротические метастазы ребра, позвонки, грудина. Во втором ребре справа в средней части образование 40х20мм (mts).
МРТ головного мозга - в затылочной доле справа 1.5х1.3см образование (mts). Комплексное лечение.
В 2013:
март КТ - отрицательная динамика, множественные метастазы костей, лимфоузлы корней легких 11-15мм. Во втором ребре справа в средней части образование 45х24мм (mts).
МРТ грудного отдела позвоночника диффузно-склеротические метастазы.
P/S: РМЭ слева конец 2011г. ХЛТ.
На верхушке левого легкого постлучевой фиброз.
Не ограничивайте свою мысль
Живешь пока учишься
Ecrasez l’infame
Остеосклеротические метастазы рака молочной железы?...занятно.....необычно...познавательно...
Болезни ног: виды, симптомы, причины, профилактика и лечение
http://radiopaedia.org/cases/osteoblastic-bone-metastases-from-breast-cancer
Не ограничивайте свою мысль
Живешь пока учишься
Ecrasez l’infame
благодарность за хорошее клиническое наблюдение и ссылку. Но обсуждение ещё не завершено. Я выдвинул 3 причины высокого положения корня правого легкого (#2), Мирголина выдвинула 4-ю версию, 5 -я причина - индивидуальная особенность пациента (врожденная). Хочу знать мнение коллег по этомим версиям. Наконец, высказано мнение о мастэктомии (#1). Что на самом деле имеется? Последний вопрос к автору.
Думаю там целый комплекс причин, ведущими из которых является фиброз в верхней доле (постлучевой) и сколиоз.
Болезни ног: виды, симптомы, причины, профилактика и лечение
Про левосторонюю мастэктомию уже написал, что была в 2011г.
Качательно высокого положения левого корня, соглашусь, что дело в сколиозе и постлучевом фиброзе, как уже написал выше.
Не ограничивайте свою мысль
Живешь пока учишься
Ecrasez l’infame