Врожденная цитомегаловирусная инфекция.

Пол пациента: 
Методы исследования: 

Представлен ребенок мужского пола 8 месяцев с клиническим диагнозом: «Цитомегаловирусная инфекция с поражением ЦНС. Задержка психомоторного развития.». Анамнез заболевания: До 3 месяцев психомоторное развитие соответсвовало возрасту. При достижении 3-месячного возраста отмечались явления фарингита, повышение температуры до 38-39°С, затем — одышка, кашель. На Rg грудной клетки — инфильтративные изменения в правом легком. Было проведено лечение по поводу правосторонней пневмонии. После выписки из стационара отмечалась вялость, сонливость, иногда субфебрильное повышение температуры. Стал отставать в психомоторном развитии, хуже прибавлял в весе. Последняя госпитализация — плановая с диагнозом: «Цитомегаловирусная инфекция с поражением ЦНС. Задержка психомоторного развития». Состояние тяжелое по совокупности данных, вялый, сонливый (спит 18-20 часов в сутки), голову удерживает слабо. Патологических рефлексов нет.

МСКТ легких

 

ct1.jpg
ct1.jpg

 

 

  • Динамическая нерезкость;
  • Пневмоническая инфильтрация в S6 обоих легких, более выраженная справа;
  • Утолщение стенки бронхов средней и нижней долей правого, нижней доли левого легкого.
  • Проходимость трахеи, долевых сегментарных бронхов сохранена;
  • Обызвествление аортальной связки.

 

Заключение: КТ-признаки двусторонней пневмонии.

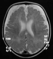
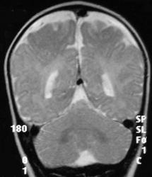
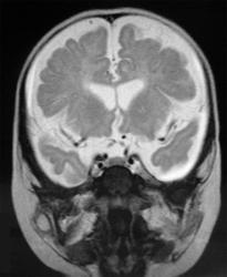
МРТ головного мозга

 

МРТ головного мозга
МРТ головного мозга
МРТ головного мозга
МРТ головного мозга
МРТ головного мозга
МРТ головного мозга
МРТ головного мозга
МРТ головного мозга
МРТ головного мозга
МРТ головного мозга

 

 

  • Выраженное расширение субарахноидального пространства над лобными долями, обусловленное уменьшением объема лобных долей;
  • Атрофия белого вещества;
  • Изменение паттерна извилин: Имеются участки, где четко видны мелкие извилины, их количество увеличено по сравнению с нормальным. На других участках, напротив, извилины плоские, широкие;
  • Граница между белым и серым веществом четко не дифференцируется;
  • Сильвиева щель расширена, больше слева;
  • Отчетливо выявляется зияние островка, что говорит о том, что височная доля не сформирована;
  • Определяются зоны гиперинтенсивного сигнала в субинсулярных отделах;
  • Желудочки расширены.

 

заключение:

 

  • Атрофия лобных долей;
  • Смешанная гидроцефалия;
  • Признаки нарушения формирования борозд лобных долей и перисильварного региона;
  • Симметричная двусторонняя передняя перисильварная полимикрогирия;
  • Атрофия (гипогенезия) мозолистого тела.

 

 

Диагноз

Врожденная цитомегаловирусная инфекция.

Дифференциальный диагноз

 

  • Токсоплазмоз. Характерно отсутствие корковых аномалий мозга, более беспорядочная паттерна кальцификатов.
  • Краснуха (рубелла). Характерна микроцефалия, врожденная катаракта, врожденные пороки сердца.
  • Herpes Encephalitis. Обычно определяется через несколько недель после рождения.
  • Неонатальный бактериальный менингит. Характерна острая клиника.
Helios аватар
Не на сайте
Был на сайте: 7 месяцев 2 недели назад
Зарегистрирован: 06.08.2010 - 15:16
Публикации: 4417

Спасибо, Евгений Петрович!Интересная публикация!

Helios аватар
Не на сайте
Был на сайте: 7 месяцев 2 недели назад
Зарегистрирован: 06.08.2010 - 15:16
Публикации: 4417

Вернее, наблюдение.