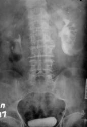
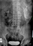
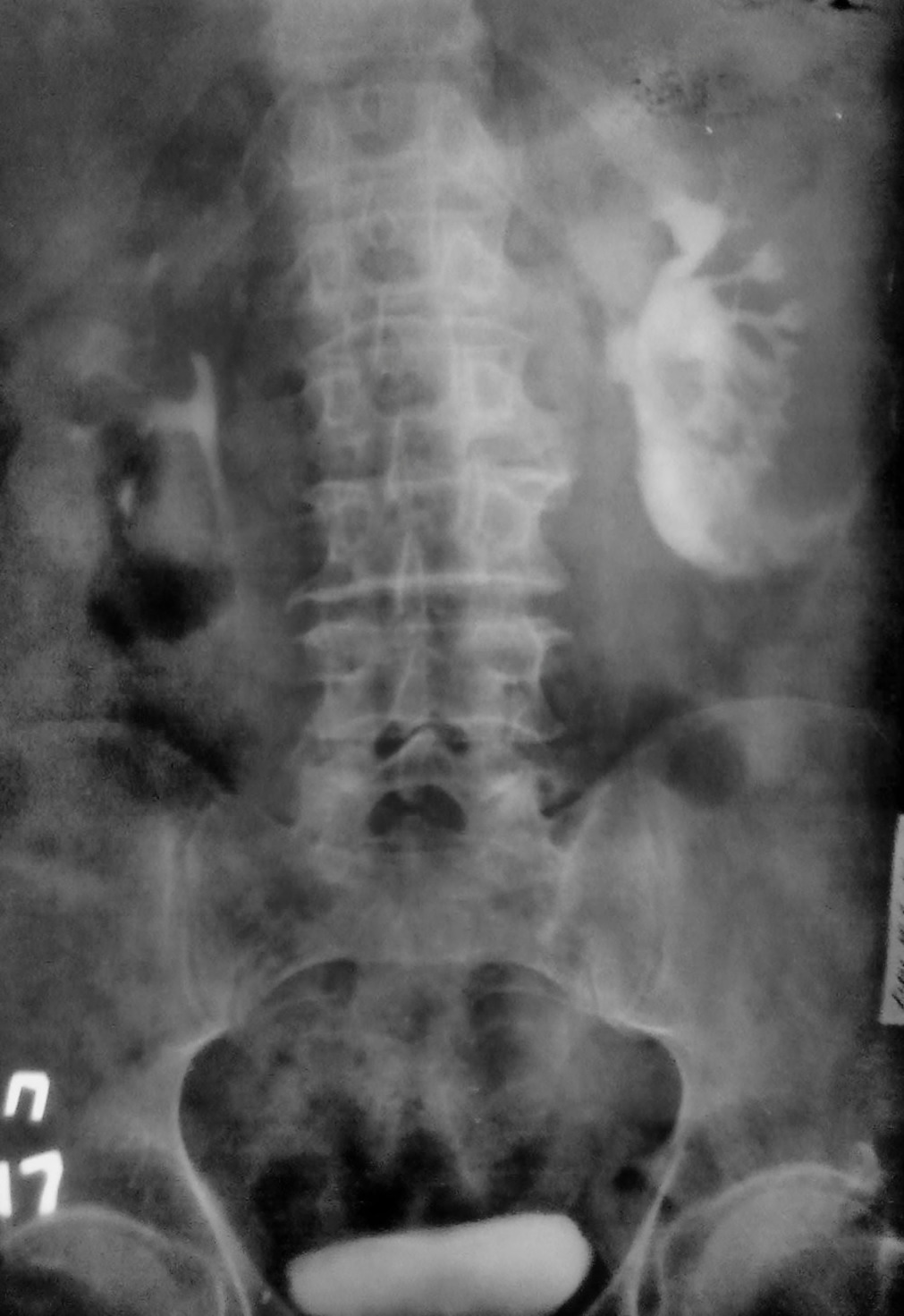
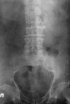
В\в урография

Представляю Вам в\в урографию без коментариев. Случай классический.

   

ID:56123
Ola-la аватар
Не на сайте
Был на сайте: 1 год 3 недели назад
Зарегистрирован: 06.12.2008 - 09:33
Публикации: 1786

Разрыв почки? Затек контраста?

Катенёв Валентин Львович аватар
Не на сайте
Был на сайте: 7 лет 3 месяцев назад
Зарегистрирован: 22.03.2008 - 22:15
Публикации: 54876

Травма, надо думать была очень серьёзная?

Сейчас изображения поменяю.

stovbav аватар
Не на сайте
Был на сайте: 2 года 5 месяцев назад
Зарегистрирован: 20.12.2009 - 17:28
Публикации: 7066

Ola-la wrote:

Разрыв почки? Затек контраста?

Ola-la, а интрига...а потянуть паузу....Вы лишили драму непредсказуемости.....Подмигиваю....Улыбаюсь....

Все правильно, это тоже криминальная травма, сукапсулярный и капсулярный разрыв нижнего полюса левой почки и затек контраста паранефрально...

 

Приложения: 
1.OBZ_.jpg1.7min..jpg2.17..jpg3.17..jpg4.18..jpg5.18.jpg
stovbav аватар
Не на сайте
Был на сайте: 2 года 5 месяцев назад
Зарегистрирован: 20.12.2009 - 17:28
Публикации: 7066

Катенёв Валентин Львович wrote:

Травма, надо думать была очень серьёзная?

Сейчас изображения поменяю.

Спасибо за "рихтовку" снимков, просто хотелось показать как выглядит затек в паренхиму, под капсулу и вне капсулы...в этом плане случай очень показателен. Кстати, больного не оперировали, заживление, он жив и, как видите, судится с обидчиками....

Катенёв Валентин Львович аватар
Не на сайте
Был на сайте: 7 лет 3 месяцев назад
Зарегистрирован: 22.03.2008 - 22:15
Публикации: 54876

Спасибо Виктор Григорьевич за демонстрацию случая.

Вы, совершенно верно отметили - "классика". А любую "классику" лучше увидеть, Вы её - показали.

Спасибо.

Almo аватар
Не на сайте
Был на сайте: 22 часа 3 минуты назад
Зарегистрирован: 28.09.2008 - 18:50
Публикации: 8290

Интересное наблюдение, а УЗИ в подобных стуациях не используете?

stovbav аватар
Не на сайте
Был на сайте: 2 года 5 месяцев назад
Зарегистрирован: 20.12.2009 - 17:28
Публикации: 7066

Almo wrote:

Интересное наблюдение, а УЗИ в подобных стуациях не используете?

Наблюдение из бюро СМЭ...естественно, что было сделано и УЗИ, но такими материалами я не располагаю... мне на экспертизу была представлена только в\в урография да снимок грудной клетки (справа переломы двух ребер)....