В\в урография + фистуло

Пол пациента: 
Область исследования: 
Методы исследования: 

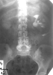
Женщина средних лет. 8 месяцев назад - пиелолитотомия слева по поводу МКБ. Свищ слева  по наружной поверхности боковой стенки живота в мезогастрии.

Проведена В\в урография с дополнением фистулографией на 120 мин.

Что скажете?

  

 

 

  • https://radiomed.ru/sites/default/files/styles/case_slider_image/public/user/2667/17_yach1.jpg?itok=kYWszxBv
  • https://radiomed.ru/sites/default/files/styles/case_slider_image/public/user/2667/120_yach1.jpg?itok=Wr0gi9Me
  • https://radiomed.ru/sites/default/files/styles/case_slider_image/public/user/2667/120_yach_pric_1.jpg?itok=AHCieYe9
  • https://radiomed.ru/sites/default/files/styles/case_slider_image/public/user/2667/120_yach_fistulo_1_bok.jpg?itok=ulEPsa6t
  • https://radiomed.ru/sites/default/files/styles/case_slider_image/public/user/2667/120_yach_fistulo_1_bok_pric.jpg?itok=58NnxP3G
  • https://radiomed.ru/sites/default/files/styles/case_slider_image/public/user/2667/120_yach_fistulo_1_pryamaya.jpg?itok=29xrx7pT
  • https://radiomed.ru/sites/default/files/styles/case_slider_image/public/user/2667/120_yach_fistulo_1_prmaya_pric.jpg?itok=5wODCWT5
  • https://radiomed.ru/sites/default/files/styles/case_slider_image/public/user/2667/120_yach_fistulo_1_pryamaya_pric.jpg?itok=8UHgEIPJ
ID:18613
ЛГ аватар
Не на сайте
Был на сайте: 8 лет 11 месяцев назад
Зарегистрирован: 06.01.2010 - 12:31
Публикации: 3523

По снимкам забрюшинное образование левой поясничной области с оттеснением мочеточника кнаружи. Сказать, имеется ли связь фистулы и ЧЛС затрудняюсь. Очень вероятен вазо-ренальный конфликт и пиелокаликоэктазия слева. Возможно, имело смысл провести фистулографию в другой день. Справа вероятны синусовые кисты.

stovbav аватар
Не на сайте
Был на сайте: 2 года 2 месяцев назад
Зарегистрирован: 20.12.2009 - 17:28
Публикации: 7066

ЛГ wrote:

По снимкам забрюшинное образование левой поясничной области с оттеснением мочеточника кнаружи. Сказать, имеется ли связь фистулы и ЧЛС затрудняюсь. Очень вероятен вазо-ренальный конфликт и пиелокаликоэктазия слева. Возможно, имело смысл провести фистулографию в другой день. Справа вероятны синусовые кисты.

В том то и "прикол", что мы решили это проводить одновременно))))

Но вот вопрос - оттеснение наружу...или оттягивание наружу?)))))...а это важно....

И.Бондаренко аватар
Не на сайте
Был на сайте: 2 дня 4 часа назад
Зарегистрирован: 13.09.2011 - 22:55
Публикации: 9206

Думаю, что всё-таки огибает какое-то образование. Если бы оттягивало не было такого ровного контура.