Пол пациента:
Тип патологии:
Область исследования:
Методы исследования:
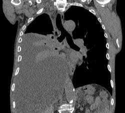
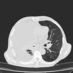
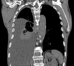
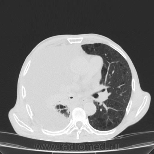
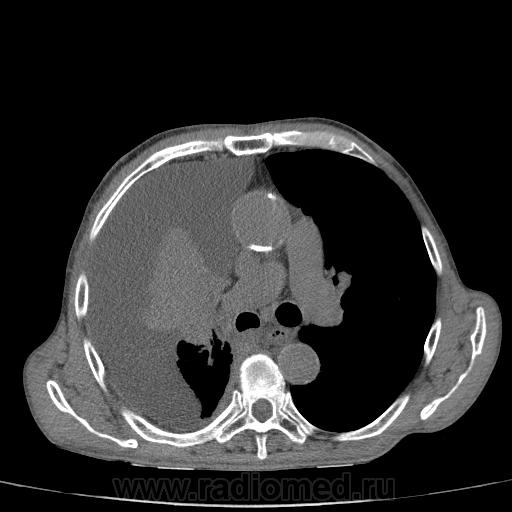
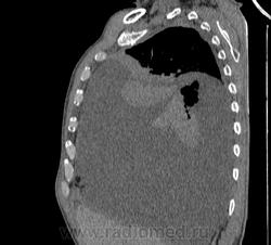
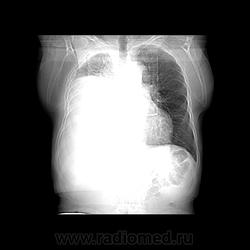
Пожилой мужчина, лечился по н/д правостороннней пневмонии в терап/отделении. Жалобы на одышку, кашель. По результатам Р-контроля после лечения направлен на КТ легких с диагнозом: плеврит справа, распад? В корне правого легкого вижу объёмное образование, с распадом. Смущают размеры плеврита,очень много жидкости, почти до 3 ребра. Анализы крови спокойные- L4,0-6,6, СОЭ 12-16мм. Неужто ТБС, отсев бы был при таком огромном поражении. В посеве мокроты-100% высев клебсиэллы пневмоние. Мокрота на общий анализ в работе-собирает с трудом, изза отсутствия мокроты. Плевральную пункцию еще не проводили. Н азначила бронхоскопию и плеврал пункцию. Как думаете, уважаемые коллеги, это онкопроцесс или тбс распад?
- https://radiomed.ru/sites/default/files/styles/case_slider_image/public/user/16789/img-0004-00001_20.jpg?itok=Ao5lhKYw
- https://radiomed.ru/sites/default/files/styles/case_slider_image/public/user/16789/img-0005-00001_18.jpg?itok=QSemhpmQ
- https://radiomed.ru/sites/default/files/styles/case_slider_image/public/user/16789/img-0006-00001_15.jpg?itok=esxLQ-5x
- https://radiomed.ru/sites/default/files/styles/case_slider_image/public/user/16789/img-0007-00001_16.jpg?itok=zTwNkmYo
- https://radiomed.ru/sites/default/files/styles/case_slider_image/public/user/16789/img-0008-00001_13.jpg?itok=4j-YFiGB
- https://radiomed.ru/sites/default/files/styles/case_slider_image/public/user/16789/img-0009-00001_13.jpg?itok=N3zP819c
- https://radiomed.ru/sites/default/files/styles/case_slider_image/public/user/16789/img-0010-00001_12.jpg?itok=DCP4aclE
- https://radiomed.ru/sites/default/files/styles/case_slider_image/public/user/16789/img-0011-00001_9.jpg?itok=EIIAvErr
- https://radiomed.ru/sites/default/files/styles/case_slider_image/public/user/16789/img-0012-00001_12.jpg?itok=mHYoEbjY
- https://radiomed.ru/sites/default/files/styles/case_slider_image/public/user/16789/img-0014-00001_8.jpg?itok=Kb6tkF-G
- https://radiomed.ru/sites/default/files/styles/case_slider_image/public/user/16789/img-0015-00001_5.jpg?itok=mfMFXyt_
- https://radiomed.ru/sites/default/files/styles/case_slider_image/public/user/16789/img-0016-00001_6.jpg?itok=sJOSMuLn
- https://radiomed.ru/sites/default/files/styles/case_slider_image/public/user/16789/img-0017-00001_5.jpg?itok=8H3EN7pi
- https://radiomed.ru/sites/default/files/styles/case_slider_image/public/user/16789/img-0018-00001_3.jpg?itok=3jxDJ0X9
- https://radiomed.ru/sites/default/files/styles/case_slider_image/public/user/16789/img-0019-00001_4.jpg?itok=zcs46bhC
ID:30884
Самое интересное забыла показать- может это 100% навеет на мысль об опухолевом процессе, остеолитическая деструкция позвонка?
Не смотря дайкомы, только по рентгенограмме, предположил бы центральный рак правого легкого. Потому что большой гидроторакс, без смещения средостения в здоровую сторону, как правило, соответствует раковому ателектазу.
Андрей Юрьевич
А в грудине что?
С уважением,
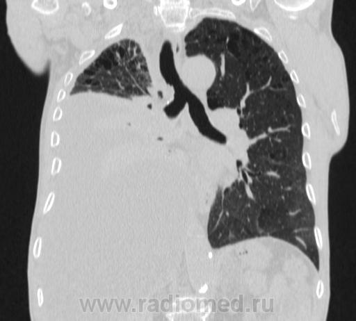
По-моему там и слева лимфаденопатия корня легкого, гидроторакс туберкулезной этиологии редко у пожилых бывает
Коллеги, распада там нет, это вас медиастинальное окно подвело. В грудине тоже все в порядке. Да и компрессия позвонка "старая".
Андрей Юрьевич
Рак.
"Обучая других - учишься сам". Н.И.Пирогов
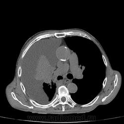
Небольшое количество увеличенных лимфоузлов, и те - не сказать, чтоб были очень крупными. От эмпиемы до онкологии... Умеренное количество жидкости в перикарде, толщиной слоя до 13-14 мм. При подобной картине не вижу смысла гадать по сжатому лёгкому, пишу так: массивный выпот справа, около 2500 мл, диафрагма оттеснена жидкостью каудально, печень (!!!) смещена каудально и вправо. Легкое справа значительно компрессировано жидкостью, оценка проходимости бронхов и состояния легочной паренхимы (кроме имеющейся эмфиземы) практически невозможна. Необходима пункция плевральной полости справа (цитология, ВК, посев на микрофлору и проч), КТ-контроль после эвакуации жидкости.
"Предоставляя весь смысл и совершенство в распоряжение одного только Бога, вы избавляете себя от бездны хлопот." Джон Уитборн.