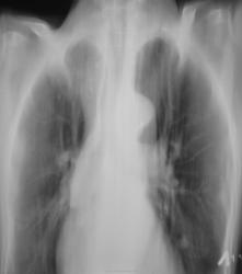
Зацепили по "флюшке"...

Пол пациента: 
Тип патологии: 
Методы исследования: 

Зацепили по "флюшке"...

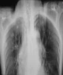
Через год.

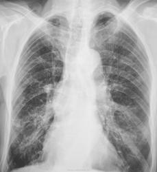
Еще через год.

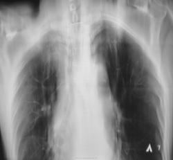
И, еще через год.

  • https://radiomed.ru/sites/default/files/styles/case_slider_image/public/user/12/2.pc140033.jpg?itok=kzYM6Q58
  • https://radiomed.ru/sites/default/files/styles/case_slider_image/public/user/12/3.pc140034.jpg?itok=-Hfa2Y-q
  • https://radiomed.ru/sites/default/files/styles/case_slider_image/public/user/12/4.pc140035.jpg?itok=_APiDCIC
  • https://radiomed.ru/sites/default/files/styles/case_slider_image/public/user/12/1.pc140036.jpg?itok=USiX3p7c
  • https://radiomed.ru/sites/default/files/styles/case_slider_image/public/user/12/2.pc140037.jpg?itok=I8wM3BUX
  • https://radiomed.ru/sites/default/files/styles/case_slider_image/public/user/12/1.pc140042.jpg?itok=ktCZRVEu
  • https://radiomed.ru/sites/default/files/styles/case_slider_image/public/user/12/2.pc140041.jpg?itok=j5HgTHbo
  • https://radiomed.ru/sites/default/files/styles/case_slider_image/public/user/12/3.pc140040a.jpg?itok=phzKBJgn
  • https://radiomed.ru/sites/default/files/styles/case_slider_image/public/user/12/4.pc140040.jpg?itok=Ob9-jHog
  • https://radiomed.ru/sites/default/files/styles/case_slider_image/public/user/12/5.pc140039.jpg?itok=lfjvp_tZ
  • https://radiomed.ru/sites/default/files/styles/case_slider_image/public/user/12/6.pc140038.jpg?itok=TbffUwBV
  • https://radiomed.ru/sites/default/files/styles/case_slider_image/public/user/12/1.pc140043.jpg?itok=tLNgqamr
  • https://radiomed.ru/sites/default/files/styles/case_slider_image/public/user/12/2.pc140044.jpg?itok=B6ullSbT
  • https://radiomed.ru/sites/default/files/styles/case_slider_image/public/user/12/3.pc140044a.jpg?itok=_uARLTGC
  • https://radiomed.ru/sites/default/files/styles/case_slider_image/public/user/12/4.pc140044ab.jpg?itok=VcURZJq9
  • https://radiomed.ru/sites/default/files/styles/case_slider_image/public/user/12/5.pc140045.jpg?itok=TPltIsy4
  • https://radiomed.ru/sites/default/files/styles/case_slider_image/public/user/12/6.pc140045a.jpg?itok=x9XVeIVn
  • https://radiomed.ru/sites/default/files/styles/case_slider_image/public/user/12/7.pc140045ab.jpg?itok=vnifnE0-
  • https://radiomed.ru/sites/default/files/styles/case_slider_image/public/user/12/8.pc140046.jpg?itok=zxqWl9af
  • https://radiomed.ru/sites/default/files/styles/case_slider_image/public/user/12/9.pc140046a.jpg?itok=Y0oUTXjo
  • https://radiomed.ru/sites/default/files/styles/case_slider_image/public/user/12/10.pc140046b.jpg?itok=THok_tqo
  • https://radiomed.ru/sites/default/files/styles/case_slider_image/public/user/12/11.pc140046bv.jpg?itok=Z-j85QqQ
ID:17573
И.Бондаренко аватар
Не на сайте
Был на сайте: 1 день 20 часов назад
Зарегистрирован: 13.09.2011 - 22:55
Публикации: 9213

История "жизни". Спасибо за показательный случай.

stovbav аватар
Не на сайте
Был на сайте: 2 года 7 месяцев назад
Зарегистрирован: 20.12.2009 - 17:28
Публикации: 7066

А где же первичный очаг?

Катенёв Валентин Львович аватар
Не на сайте
Был на сайте: 7 лет 5 месяцев назад
Зарегистрирован: 22.03.2008 - 22:15
Публикации: 54876

stovbav wrote:

А где же первичный очаг?

Первичный очаг чего?

stovbav аватар
Не на сайте
Был на сайте: 2 года 7 месяцев назад
Зарегистрирован: 20.12.2009 - 17:28
Публикации: 7066

Катенёв Валентин Львович wrote:

stovbav wrote:

А где же первичный очаг?

Первичный очаг чего?

Мелькнула мысль о метастазах...погорячился ...

Катенёв Валентин Львович аватар
Не на сайте
Был на сайте: 7 лет 5 месяцев назад
Зарегистрирован: 22.03.2008 - 22:15
Публикации: 54876

У нас с коллегой фтизиатром тоже такая мысль мелькнула.

stovbav аватар
Не на сайте
Был на сайте: 2 года 7 месяцев назад
Зарегистрирован: 20.12.2009 - 17:28
Публикации: 7066

Катенёв Валентин Львович wrote:

У нас с коллегой фтизиатром тоже такая мысль мелькнула.

И как же Вы ее отвергли?