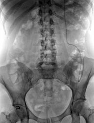
Валентин Львович, пациентка ко мне напрвлена была с приемного отделения и чистого листа, однако мое предположение о так называемом "стенте" подтвердилось, другое дело если это явилось причиной почечной колики узнаю только в четверг. А пока у кого какие преположения о "стенте"?
"Знаешь, у некоторых врачей есть комплекс мессии — им необходимо спасать мир. А у тебя комплекс Рубика — тебе необходимо решать головоломки."
Я выскажу предположение, так как ничем не рискую, но не а "стенте", а о том, что при внутривенной урографии патологических изменений, со стороны почек и мочеточников обнаружено не будет. Интересно, а не совпал-ли "приступ почечной колики" у данной девицы с мензисом.
УЗИ я не доверяю, поскольку идет большое расхождение, а если учесть что при поступлении хирург воспользовался УЗИ и не чего не увидел, остается только ждать.
"Знаешь, у некоторых врачей есть комплекс мессии — им необходимо спасать мир. А у тебя комплекс Рубика — тебе необходимо решать головоломки."
А у нейрохирургов эта девушка случайно не лечилась? Что-нибудь типа вентрикуло-перитонеального шунтирования?
Если действительно ВПШ (КПШ и т.п.) - то к почечной колике вряд ли отношение имеет.
Да, Вы правы это вентрикуло-перитониальный шунт, уже в приемном отделении я убедился окончательно. Была какая то травма связанная с ДТП, как следствие ЧМТ, в дальнейшем развитие гидроцефалии-ВПШ, передняя брюшная стенка вся в после операционных рубцах. По поводу же травматических изменений таза и поясничного отдела позвоночника, этого точно ни могу сказать. Чуть позже продемонтрирую экскреторную урографию, а пока сказать что это не является причиной почечной колики на 100% нельзя.
"Знаешь, у некоторых врачей есть комплекс мессии — им необходимо спасать мир. А у тебя комплекс Рубика — тебе необходимо решать головоломки."
Надо думать, что коллеги клиницисты, в поте лица, смогли оформить историю болезни, только до 23.01. Ну, что - же, клиницисты заняты глобальными задачами.
Коллеги - камень в устье левого мочеточника!!!!!!! Что еще искать...а шутнирование не при делах. Камень хорошо "заиграл" на фоне контраста на 7 и 14 мин, на 21 перекрыт контрастом. Подобная картина характерна для слабо контрастных либо неконтрастных конкрементов.
И не надо так об УЗИ, лучьше возьмите это самое УЗИ хоть один раз под свой личный контроль, на тугом выполнении мочевого пузыря этот камень в устье засветит Вам как фонарь....
Я ни имею ввиду про УЗИ, что это якобы методика малоинформативна, просто у нас кто этим занимается складывается впечатление, что для них это малоинформатина, а на самом то деле метода отличная в привильных руках. По поводу камня н/3, тоже присматривался, на цифре четко видно, а вот клиники пока ни какой, тли купировали, то ли что, вообщем ни чего не понятно по истории, сейчас глядел все ещё чиста.
"Знаешь, у некоторых врачей есть комплекс мессии — им необходимо спасать мир. А у тебя комплекс Рубика — тебе необходимо решать головоломки."
Опоздал к разбору, но позвольте добавить свои пять копеек.
На снимке в вертикальном положении (21') есть признаки нарушения уродинамики - задержка ортостатического сокращения левой ЧЛС и тугое заполнение нижней половины левого мочеточника, что свидетельствует о нарушении проходимости устья мочеточника. Мои урологи, пожалуй, огорчились бы, если бы я не сделал отсроченный снимок на 40' - для оценки степени обструкции. Правда, это более актуально для детского возраста и врожденных или приобретенных уретерогидронефрозов вследствии стриктуры мочеточника, МКБ у детей пореже встречается.
...сказать что это не является причиной почечной колики на 100% нельзя.
Адекватно работающий (то есть находящийся в брюшной полости) шунт, вряд ли будет причиной именно почечной колики. Однако Вы правы, медицина наука неточная, и со 100% вероятностью утверждать нельзя ничего. Существуют абдоминальные осложнения ВПШ, может сформироваться перитонеальная псевдокиста, даже внутрибрюшное кровотечение. Но, помимо болей в животе, должна быть и достаточно выраженная неврологическая симптоматика - это уже "дисфункция ВПШ" и ликвородинамический криз.
Да, необходимо согласиться, что в дистальной трети левого мочеточника, имеет место быть стаз, в результате нарушения оттока. Возможно и конкремент в устье (но мне не кажется), возможно, и еще что-либо. Но вот придется дать объяснение одному интересному феномену...
Как минимум стенки мочевого пузыря...уж больно снимок хорош...структурен. Было бы таких размеров образование....наверняка все и вся было бы оттеснено...
Вот, я и поселил сомнение, и сделал "загадку" более "загадочной", следовательно свою функцию выполнил.
Но конечно, соглашусь с коллегой, что если-бы стенка "нормального" мочевого пузыря, вот просто так, была видна, то "кричали - б женщины - УРА! И в воздух чепчики бросали!"
А что можно предположить, что пациентка в течении 21 минуты после введения контраста лежала, в мочевой пузярь поступала моча с контрастом, и никак не смешивалась с находящейся там мочой (без контраста), а потом пациентка встала, подошла к стойке для производства снимка в вертикальном положении, и также хорошо сохранилось разделение мочи, находящейся в мочевом пузыре - с контрастом и без контраста?
У меня в практике бывало. что мочевой пузырь наполненный мочой очень даже хорошо контрастировался на снимках таза напрмер,думаю, что и у всех бывало))))
Извиняюсь за тупой вопрос - а как выглядят снимки с компрессией на низ живота? Читал когда-то про такую методу, но никогда не пользовался. Это случайно не оно? Хотя, в вертикальном положении-то как можно?
У меня в практике бывало. что мочевой пузырь наполненный мочой очень даже хорошо контрастировался на снимках таза напрмер,думаю, что и у всех бывало))))
А что можно предположить, что пациентка в течении 21 минуты после введения контраста лежала, в мочевой пузярь поступала моча с контрастом, и никак не смешивалась с находящейся там мочой (без контраста), а потом пациентка встала, подошла к стойке для производства снимка в вертикальном положении, и также хорошо сохранилось разделение мочи, находящейся в мочевом пузыре - с контрастом и без контраста?
Ну, Валентин Львович! Трудно с Вами спорить! На обзоном то снимке данного феномена нет, но есть тень мочевого пузыря, значит на 7 мин она контрастировалась ,мочевой пузырь конечно большой,может нейрогенный.
Но согласитесь, уважаемая коллега, что при таком огромном мочевом пузыре (если - это мочевой пузырь), должен иметь место стаз в мочеточниках, и не только с одной стороны. А пациентка. при таком переполнении (если это мочевой пузырь) должна выть от желания помочиться.
Если нейрогенный,то выть не будет.А ведь травма то какая-то была раз стоит этот ВПШ ??? Ну Виталий нам завтра ,наверное, все разъяснит.))) Пора идти спать))
Мда.. Как то философией попахивает, уважаемые коллеги как всем известно 21 минута-снимок проводиться стоя, там же на снимочке в нижне-левом углу написано "стоя", а то что видно законтрастированные контуры мочевого так это преимущество цифровой рентгенографии, да и вообщем то понятно, что мочевой пузырь туго заполнен.
По поводу травмы повторюсь, только то, что описано из анамнеза жизни в истории болезни и того, что я сам спросил у пациентки, была ЗЧМТ с образованием внуртичерепной гематомы и вдальнейшем утсановкой ВПШ.
Что же косается мочеточника, ну ей богу, ну всем ясно же, что мочеточник имеет цистойдное строение, и судить только по одному снимку о тонусе в одном или 2х сегментах это не серьездно, если бы камень был бы именно в устье мочеточника, мы бы заметили гипотонию, т.е. контрастиованние на всем протяжении. В данном случае идёт речь о подозрении на наличие камня в близи устья мочеточника и гипотонии ни какой не наблюдается, так что об отсроченных снимках даже и речи не идёт.
"Знаешь, у некоторых врачей есть комплекс мессии — им необходимо спасать мир. А у тебя комплекс Рубика — тебе необходимо решать головоломки."
Ну, и между чем и чем "сие" стоит, и что выполняет?
А клиника почечной колики "классическая", или с какими-то другими наслоениями?
А боковую поясничного отдела случайно не делали?
В этом и есть загадка Валентин Львович, что есть это "сие".
Экскреторную урографию запланировали почему то только на четверг :(
"Знаешь, у некоторых врачей есть комплекс мессии — им необходимо спасать мир. А у тебя комплекс Рубика — тебе необходимо решать головоломки."
Так, это случай - загадка?
И элементарного анамнеза нет? Я чисто интуитивно догадываюсь, что "это какой-то" стент.
А изменения в поясничном отделе позвоночника Вас не смущают? Да и "перекошенный" таз чем-то надо объяснить.
Валентин Львович, пациентка ко мне напрвлена была с приемного отделения и чистого листа, однако мое предположение о так называемом "стенте" подтвердилось, другое дело если это явилось причиной почечной колики узнаю только в четверг. А пока у кого какие преположения о "стенте"?
"Знаешь, у некоторых врачей есть комплекс мессии — им необходимо спасать мир. А у тебя комплекс Рубика — тебе необходимо решать головоломки."
Я выскажу предположение, так как ничем не рискую, но не а "стенте", а о том, что при внутривенной урографии патологических изменений, со стороны почек и мочеточников обнаружено не будет. Интересно, а не совпал-ли "приступ почечной колики" у данной девицы с мензисом.
А что по УЗИ? Или запланировано на пятницу?
УЗИ я не доверяю, поскольку идет большое расхождение, а если учесть что при поступлении хирург воспользовался УЗИ и не чего не увидел, остается только ждать.
"Знаешь, у некоторых врачей есть комплекс мессии — им необходимо спасать мир. А у тебя комплекс Рубика — тебе необходимо решать головоломки."
А у нейрохирургов эта девушка случайно не лечилась? Что-нибудь типа вентрикуло-перитонеального шунтирования?
Если действительно ВПШ (КПШ и т.п.) - то к почечной колике вряд ли отношение имеет.
Да, Вы правы это вентрикуло-перитониальный шунт, уже в приемном отделении я убедился окончательно. Была какая то травма связанная с ДТП, как следствие ЧМТ, в дальнейшем развитие гидроцефалии-ВПШ, передняя брюшная стенка вся в после операционных рубцах. По поводу же травматических изменений таза и поясничного отдела позвоночника, этого точно ни могу сказать. Чуть позже продемонтрирую экскреторную урографию, а пока сказать что это не является причиной почечной колики на 100% нельзя.
"Знаешь, у некоторых врачей есть комплекс мессии — им необходимо спасать мир. А у тебя комплекс Рубика — тебе необходимо решать головоломки."
Всё же сегодня сделали экскреторную урографию, у меня тоже почему большие сомнения в почечной колике.
"Знаешь, у некоторых врачей есть комплекс мессии — им необходимо спасать мир. А у тебя комплекс Рубика — тебе необходимо решать головоломки."
По всей видимости, источник болей - поясничный отдел позвоночника. Нужно сделать боковую в ортоположении.
Последний дневник по пациентке от 23 числа, так что "карты в руки клиницистам".
"Знаешь, у некоторых врачей есть комплекс мессии — им необходимо спасать мир. А у тебя комплекс Рубика — тебе необходимо решать головоломки."
Надо думать, что коллеги клиницисты, в поте лица, смогли оформить историю болезни, только до 23.01. Ну, что - же, клиницисты заняты глобальными задачами.
Коллеги - камень в устье левого мочеточника!!!!!!! Что еще искать...а шутнирование не при делах. Камень хорошо "заиграл" на фоне контраста на 7 и 14 мин, на 21 перекрыт контрастом. Подобная картина характерна для слабо контрастных либо неконтрастных конкрементов.
И не надо так об УЗИ, лучьше возьмите это самое УЗИ хоть один раз под свой личный контроль, на тугом выполнении мочевого пузыря этот камень в устье засветит Вам как фонарь....
Болезни ног: виды, симптомы, причины, профилактика и лечение
Я ни имею ввиду про УЗИ, что это якобы методика малоинформативна, просто у нас кто этим занимается складывается впечатление, что для них это малоинформатина, а на самом то деле метода отличная в привильных руках. По поводу камня н/3, тоже присматривался, на цифре четко видно, а вот клиники пока ни какой, тли купировали, то ли что, вообщем ни чего не понятно по истории, сейчас глядел все ещё чиста.
"Знаешь, у некоторых врачей есть комплекс мессии — им необходимо спасать мир. А у тебя комплекс Рубика — тебе необходимо решать головоломки."
Опоздал к разбору, но позвольте добавить свои пять копеек.
На снимке в вертикальном положении (21') есть признаки нарушения уродинамики - задержка ортостатического сокращения левой ЧЛС и тугое заполнение нижней половины левого мочеточника, что свидетельствует о нарушении проходимости устья мочеточника. Мои урологи, пожалуй, огорчились бы, если бы я не сделал отсроченный снимок на 40' - для оценки степени обструкции. Правда, это более актуально для детского возраста и врожденных или приобретенных уретерогидронефрозов вследствии стриктуры мочеточника, МКБ у детей пореже встречается.
Адекватно работающий (то есть находящийся в брюшной полости) шунт, вряд ли будет причиной именно почечной колики. Однако Вы правы, медицина наука неточная, и со 100% вероятностью утверждать нельзя ничего. Существуют абдоминальные осложнения ВПШ, может сформироваться перитонеальная псевдокиста, даже внутрибрюшное кровотечение. Но, помимо болей в животе, должна быть и достаточно выраженная неврологическая симптоматика - это уже "дисфункция ВПШ" и ликвородинамический криз.
Да, необходимо согласиться, что в дистальной трети левого мочеточника, имеет место быть стаз, в результате нарушения оттока. Возможно и конкремент в устье (но мне не кажется), возможно, и еще что-либо. Но вот придется дать объяснение одному интересному феномену...
Но вот придется дать объяснение одному интересному феномену.
А, чем, уважаемые коллеги, или как, мы объясним тончайшую ободочную (линейную) тень, ограничивающую, как-бы шар? Все-таки малый таз?
Как минимум стенки мочевого пузыря...уж больно снимок хорош...структурен. Было бы таких размеров образование....наверняка все и вся было бы оттеснено...
Болезни ног: виды, симптомы, причины, профилактика и лечение
Контур мочевого пузыря.Снимок стоя.
Значит, Вы считаете - 7 минута, что это мочевой пузырь, так переполненный мочой?
Конечно, ТАКИХ идеально структурных снимков в моей практике не получается, но... С какой стати должно быть видно стенку НОРМАЛЬНОГО мочевого пузыря?
Да. Следующие снимки подтверждают большой объем мочевого пузыря.
Вот, я и поселил сомнение, и сделал "загадку" более "загадочной", следовательно свою функцию выполнил.
Но конечно, соглашусь с коллегой, что если-бы стенка "нормального" мочевого пузыря, вот просто так, была видна, то "кричали - б женщины - УРА! И в воздух чепчики бросали!"
Так она не просто так видна, на 7-й мин уже есть контраст в мочевом пузыре, вот стенка и контрастировалась.
А что можно предположить, что пациентка в течении 21 минуты после введения контраста лежала, в мочевой пузярь поступала моча с контрастом, и никак не смешивалась с находящейся там мочой (без контраста), а потом пациентка встала, подошла к стойке для производства снимка в вертикальном положении, и также хорошо сохранилось разделение мочи, находящейся в мочевом пузыре - с контрастом и без контраста?
У меня в практике бывало. что мочевой пузырь наполненный мочой очень даже хорошо контрастировался на снимках таза напрмер,думаю, что и у всех бывало))))
Извиняюсь за тупой вопрос - а как выглядят снимки с компрессией на низ живота? Читал когда-то про такую методу, но никогда не пользовался. Это случайно не оно? Хотя, в вертикальном положении-то как можно?
Пузырь - да. Стенка - что-то не припомню.
Слева три желтые стрелки - "стенка", а красные - контраст.
Это, что контраст вышел за пределы стенки?
А что можно предположить, что пациентка в течении 21 минуты после введения контраста лежала, в мочевой пузярь поступала моча с контрастом, и никак не смешивалась с находящейся там мочой (без контраста), а потом пациентка встала, подошла к стойке для производства снимка в вертикальном положении, и также хорошо сохранилось разделение мочи, находящейся в мочевом пузыре - с контрастом и без контраста?
Ну, Валентин Львович! Трудно с Вами спорить! На обзоном то снимке данного феномена нет, но есть тень мочевого пузыря, значит на 7 мин она контрастировалась ,мочевой пузырь конечно большой,может нейрогенный.
Да нет. это я просто расхулиганился - прекращаю.
Но согласитесь, уважаемая коллега, что при таком огромном мочевом пузыре (если - это мочевой пузырь), должен иметь место стаз в мочеточниках, и не только с одной стороны. А пациентка. при таком переполнении (если это мочевой пузырь) должна выть от желания помочиться.
Все прекращаю и замолкаю.
Обмазывание стенки контрастом??? Ну, не знаю...
Может, вообще, артефакт? Что-то на белье, девушке 20 лет, наверно модная. Или всё-таки компрессия каким-то мячиком.
Однако, спать пора, всякая чушь в голову уже лезет!
Если нейрогенный,то выть не будет.А ведь травма то какая-то была раз стоит этот ВПШ ??? Ну Виталий нам завтра ,наверное, все разъяснит.))) Пора идти спать))
Ну, мы завтра, у Виталия спросим!
Мда.. Как то философией попахивает, уважаемые коллеги как всем известно 21 минута-снимок проводиться стоя, там же на снимочке в нижне-левом углу написано "стоя", а то что видно законтрастированные контуры мочевого так это преимущество цифровой рентгенографии, да и вообщем то понятно, что мочевой пузырь туго заполнен.
По поводу травмы повторюсь, только то, что описано из анамнеза жизни в истории болезни и того, что я сам спросил у пациентки, была ЗЧМТ с образованием внуртичерепной гематомы и вдальнейшем утсановкой ВПШ.
Что же косается мочеточника, ну ей богу, ну всем ясно же, что мочеточник имеет цистойдное строение, и судить только по одному снимку о тонусе в одном или 2х сегментах это не серьездно, если бы камень был бы именно в устье мочеточника, мы бы заметили гипотонию, т.е. контрастиованние на всем протяжении. В данном случае идёт речь о подозрении на наличие камня в близи устья мочеточника и гипотонии ни какой не наблюдается, так что об отсроченных снимках даже и речи не идёт.
"Знаешь, у некоторых врачей есть комплекс мессии — им необходимо спасать мир. А у тебя комплекс Рубика — тебе необходимо решать головоломки."