Заподозренный при прохождении профилактической флюорографии периферический рак верхней доли правого лёгкого.

Пол пациента: 
Методы исследования: 

Катенёв В.Л.

 

Случай из практики «Заподозренный при прохождении профилактической флюорографии периферический рак верхней доли правого лёгкого».

 

(Рентгенологическое отделение МУЗ «Красногвардейская центральная районная больница» Белгородской области)

 

 

Пациентка направлена на профилактическую флюорографию, жалоб не предъявляет. Исследование проведено в прямой стандартной проекции на цифровом флюорографе «Ренекс-Флюоро». При расшифровке флюорограмм заподозрено наличие крупноочаговой тени на фоне 1 межреберья справа. Пациентка «взята на контроль».

1.
1.
2.
2.

 

 

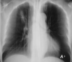
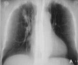
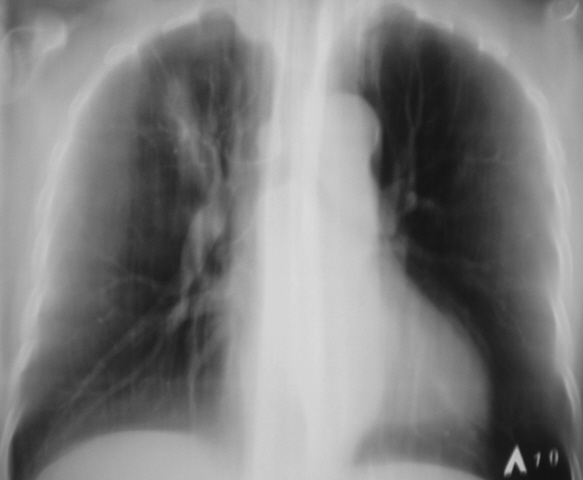
Иллюстрации 1, 2. Произведена рентгенография органов грудной полости в прямой стандартной и правой боковой проекциях. Справа на уровне 1 межреберья дифференцируется крупноочаговая тень овальной формы, от которой в сторону костальной плевры прослеживается линейный тяж. Справа регистрируется усиление и обогащение легочного рисунка. Рисунок правого корня усилен, обогащен, тень его несколько расширена.

3.
3.
4.
4.

 

 

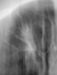
Иллюстрации 3, 4. Фрагменты изображения, полученного на CR – системе. Гомогенизация тени правого корня в области тела, измерены размеры «очагового образования» - 8 х 15 мм.

5.
5.
6.
6.

 

 

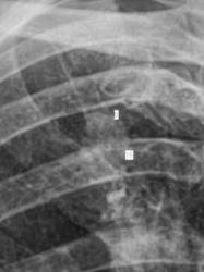
Иллюстрации 5, 6, 7.  Томограмма – срез 9 см. и фрагменты томограммы. Справа в верхней доле определяется фокусная тень средней интенсивности, неоднородной структуры, с выраженной нечеткостью контуров, с линейными компонентами «по контуру».

7.
7.
8.
8.

 

В правом корне дифференцируются округлые тени – гиперплазированные лимфатические узлы.

9.
9.
10.
10.

 

 

Иллюстрации 8, 9, 10. Томограмма – срез 10 см. и фрагменты томограммы. Четко прослеживаются на фоне фокусной тени мелкие просветления, расположенные эксцентрично, возможно «мелкофокусный распад», контуры тени с выраженной тяжистостью, четко дифференцируется тяж к костальной плевре. Справа апикально и медиально определяется дополнительная тень, по всей видимости, тень гиперплазированного лимфатического узла. Тень средней интенсивности, однородной структуры, с довольно ровным нижним контуром.

11.
11.
12.
12.

 

 

Иллюстрации 11, 12, 13. Томограмма – срез 11 см. Контуры фокусной тени нечеткие, «спикулоподобные».

13.
13.

 

По латеральному контуру тени – неровность (полицикличность), по латеральному контуру дифференцируется просветление – возможно распад.

ВложениеРазмер
Иконка изображения 1.79.89 КБ
Иконка изображения 2.85.25 КБ
Иконка изображения 3.80.3 КБ
Иконка изображения 4.87.12 КБ
Иконка изображения 5.67.56 КБ
Иконка изображения 6.66.68 КБ
Иконка изображения 7.58.51 КБ
Иконка изображения 8.64.13 КБ
Иконка изображения 9.49.93 КБ
Иконка изображения 10.61.52 КБ
Иконка изображения 11.65.23 КБ
Иконка изображения 12.66.39 КБ
Иконка изображения 13.78.5 КБ
Dr.Mario аватар
Не на сайте
Был на сайте: 11 лет 1 месяц назад
Зарегистрирован: 06.08.2008 - 08:44
Публикации: 920

Конечно, такое образование с описанной вами рентген семиотикой надо рассматривать как опухоль, пока не будет доказано обратное или подтвержден диагноз онкологии. А какие рекоммендации вы дали пациенту? Направили на КТ?

Let me see...

radiographia.ru

Катенёв Валентин Львович аватар
Не на сайте
Был на сайте: 7 лет 3 недели назад
Зарегистрирован: 22.03.2008 - 22:15
Публикации: 54876

Здравствуйте Доктор Марио! Увы, в протоколе исследования я указал предполагаемый диагноз, отметитл, что необходимо полное клиническое обследование пациента и консультация онколога. На этом мои возможности заканчиваются. Дело в том, что у нас нет ни КТ, ни СКТ, ни МРТ, да и наверное не нужно, так как при необходимости в 4 врачах рентгенологов (по штату) и работаю в течение 6 лет один, обслуживая 4 аппарата, но наше руководство "не куёт и не мелет". Безусловно дообследование на КТ обязательно, ибо такая теневая картина может иметь место и при хрончисекой неспецифической пневмонии - локальная форма. Но нам на дообследование, именно на КТ выделяется только определенное количество - квоты, которых явно не хватает. Квоты на обследование в областной больнице или в г. Старый Оскол.