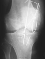
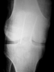
Пол пациента: Мужской пол Тип патологии: Травма Область исследования: Скелетно-мышечная система Методы исследования: Rg После операции. И так бывает, пациент жалоб не предъявляет https://radiomed.ru/sites/default/files/styles/case_slider_image/public/user/6152/2000.jpg?itok=kpUbJZyq https://radiomed.ru/sites/default/files/styles/case_slider_image/public/user/6152/2002.jpg?itok=ekIs4rwy https://radiomed.ru/sites/default/files/styles/case_slider_image/public/user/6152/2003.jpg?itok=G7ZQHQ9V ID:7928 Втр, 12/10/2010 - 14:10 #1 Александр Викторович Не на сайте Был на сайте: 8 лет 2 дня назад Зарегистрирован: 31.07.2010 - 13:05 Публикации: 639 летать будет проблематично, в смысле авиаперелетов... Втр, 12/10/2010 - 20:53 #2 stovbav Не на сайте Был на сайте: 2 года 2 месяцев назад Зарегистрирован: 20.12.2009 - 17:28 Публикации: 7066 Раз жизнь "обломала" то и травматологи не стали ей перечить, пошли тем же путем, да, очевидно, и правильно сделали. Болезни ног: виды, симптомы, причины, профилактика и лечение
летать будет проблематично, в смысле авиаперелетов...
Раз жизнь "обломала" то и травматологи не стали ей перечить, пошли тем же путем, да, очевидно, и правильно сделали.
Болезни ног: виды, симптомы, причины, профилактика и лечение