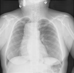
Уровень просматривается, странно, что при всей картине отсутсвует какая- либо клиника.
Был у меня аналогичный пациент, тоже на ФЛГ приходил, ни чего тоже не беспокоило, так после контрастирования куда то потерялся, видно ему и так не плохо. Данный случай тоже был опубликован на этом сайте.
"Знаешь, у некоторых врачей есть комплекс мессии — им необходимо спасать мир. А у тебя комплекс Рубика — тебе необходимо решать головоломки."
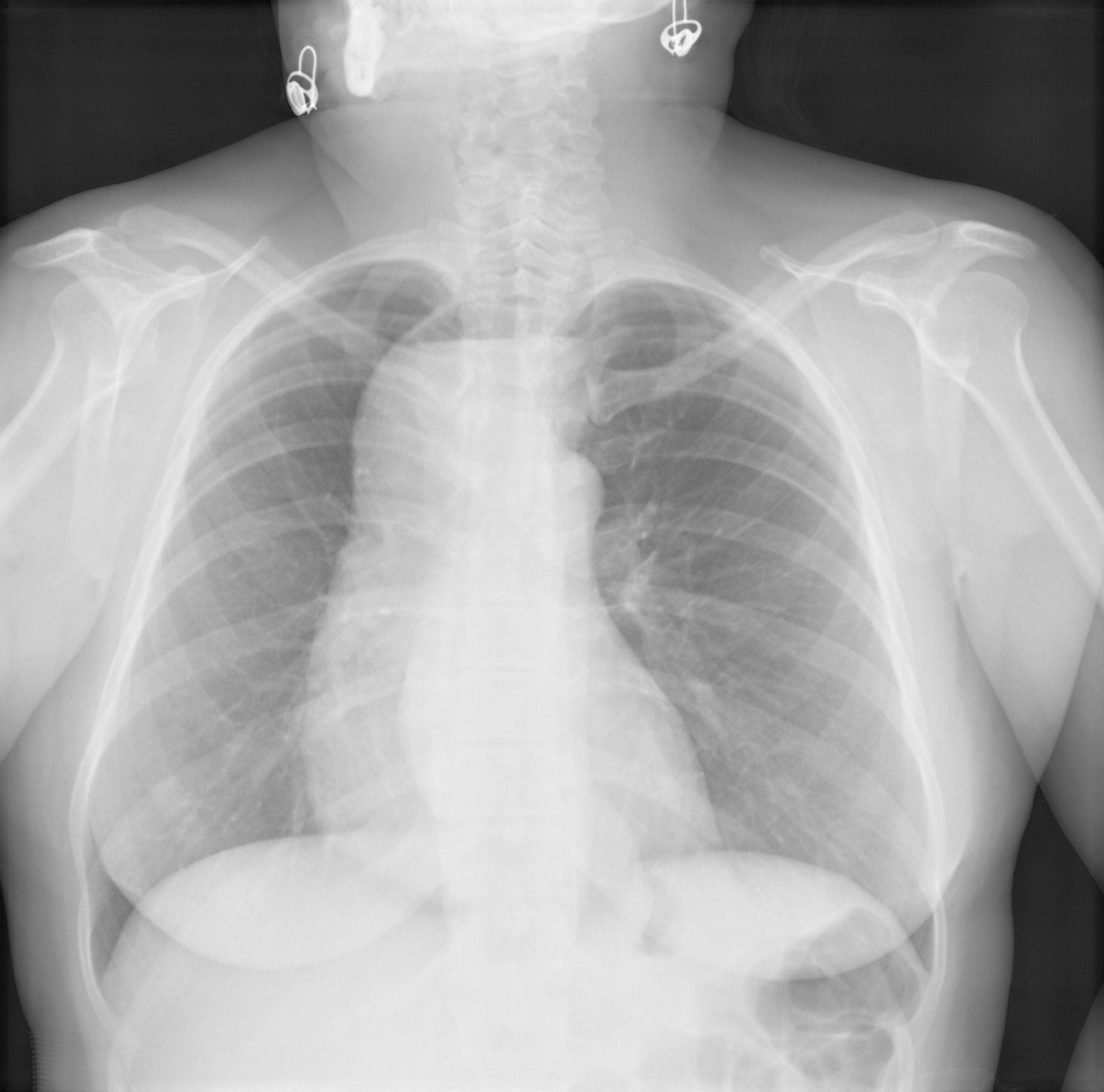
Уровень просматривается, странно, что при всей картине отсутсвует какая- либо клиника.
Был у меня аналогичный пациент, тоже на ФЛГ приходил, ни чего тоже не беспокоило, так после контрастирования куда то потерялся, видно ему и так не плохо. Данный случай тоже был опубликован на этом сайте.
бок
Ахалазия пищевода, даже уровень жидкости в пищеводе, верхнего этажа средостения.
"Знаешь, у некоторых врачей есть комплекс мессии — им необходимо спасать мир. А у тебя комплекс Рубика — тебе необходимо решать головоломки."
Уровень просматривается, странно, что при всей картине отсутсвует какая- либо клиника.
Прикол. И что, вообще ничего её не беспокоит?
Хочешь сделать что-то нормально - сделай это сам!
Был у меня аналогичный пациент, тоже на ФЛГ приходил, ни чего тоже не беспокоило, так после контрастирования куда то потерялся, видно ему и так не плохо. Данный случай тоже был опубликован на этом сайте.
"Знаешь, у некоторых врачей есть комплекс мессии — им необходимо спасать мир. А у тебя комплекс Рубика — тебе необходимо решать головоломки."
Жалоб нет, попросил прислать и расспросить, отпишусь о результатах.
А вот как вам мысль по поводу бронхогенной кисты, с дренирующим бронхом.
Здравствуйте Виталий Валерьевич!
Да, очень походит на случай представленный Вами.
Не очень. Дать барий, а там скорее всего других версий и не надо будет.
Вот случай Виталия Валерьевича.
Здравствуйте Валентин Львович! А я ищу у себя и не могу найти
"Знаешь, у некоторых врачей есть комплекс мессии — им необходимо спасать мир. А у тебя комплекс Рубика — тебе необходимо решать головоломки."
Должно быть, и у Вас, нично не убиралось.
Но, все интересные и поучительные случаи с складываю в наборы в разделе обучение.
Спасибо, очень похоже
а еще шейное ребро слева.А вот ахалазию еще бы доказать не помешало ва-взвесью