Злокачественное новообразование. помогите разобраться.

Пол пациента: 
Область исследования: 
Методы исследования: 

Пациент 28 лет. Жалобы на головную боль в течении 1 месяца.

Изменение поведения.

 

  • https://radiomed.ru/sites/default/files/styles/case_slider_image/public/user/7052/2_cr.jpg?itok=DexYvDAo
  • https://radiomed.ru/sites/default/files/styles/case_slider_image/public/user/7052/3_cr.jpg?itok=ORP4VQkA
  • https://radiomed.ru/sites/default/files/styles/case_slider_image/public/user/7052/4_cr.jpg?itok=3ZF27hwv
  • https://radiomed.ru/sites/default/files/styles/case_slider_image/public/user/7052/5_cr.jpg?itok=h6Yq28st
  • https://radiomed.ru/sites/default/files/styles/case_slider_image/public/user/7052/6_cr.jpg?itok=V0Qh-Q0B
  • https://radiomed.ru/sites/default/files/styles/case_slider_image/public/user/7052/7_cr.jpg?itok=qwZ5msM4
  • https://radiomed.ru/sites/default/files/styles/case_slider_image/public/user/7052/8_cr.jpg?itok=wwjCJmwW
  • https://radiomed.ru/sites/default/files/styles/case_slider_image/public/user/7052/9_cr.jpg?itok=5fo7bZtv
  • https://radiomed.ru/sites/default/files/styles/case_slider_image/public/user/7052/10_cr.jpg?itok=cV5OQFRQ
  • https://radiomed.ru/sites/default/files/styles/case_slider_image/public/user/7052/11_cr.jpg?itok=4zjq78dj
  • https://radiomed.ru/sites/default/files/styles/case_slider_image/public/user/7052/12_cr.jpg?itok=Km_2T6lw
  • https://radiomed.ru/sites/default/files/styles/case_slider_image/public/user/7052/13_cr.jpg?itok=wppOVdpl
  • https://radiomed.ru/sites/default/files/styles/case_slider_image/public/user/7052/14_cr.jpg?itok=5_5pNrGx
  • https://radiomed.ru/sites/default/files/styles/case_slider_image/public/user/7052/15_cr.jpg?itok=Gtg445Bx
  • https://radiomed.ru/sites/default/files/styles/case_slider_image/public/user/7052/16_cr.jpg?itok=Bd4FkUss
  • https://radiomed.ru/sites/default/files/styles/case_slider_image/public/user/7052/17_cr.jpg?itok=jbVNcLCn
  • https://radiomed.ru/sites/default/files/styles/case_slider_image/public/user/7052/17_cr_0.jpg?itok=oKRqpFOH
  • https://radiomed.ru/sites/default/files/styles/case_slider_image/public/user/7052/18_cr.jpg?itok=9dce5XGD
  • https://radiomed.ru/sites/default/files/styles/case_slider_image/public/user/7052/20_cr.jpg?itok=MLTkLyCV
  • https://radiomed.ru/sites/default/files/styles/case_slider_image/public/user/7052/21_cr.jpg?itok=s9UQJEc3
ID:22179
rivv аватар
Не на сайте
Был на сайте: 13 лет 4 месяцев назад
Зарегистрирован: 05.11.2010 - 16:17
Публикации: 7

изображения

Приложения: 
1.jpg2_cr.jpg3_cr.jpg4_cr.jpg5_cr.jpg6_cr.jpg7_cr.jpg8_cr.jpg9_cr.jpg10_cr.jpg11_cr.jpg11_cr.jpg12_cr.jpg13_cr.jpg14_cr.jpg15_cr.jpg16_cr.jpg17_cr.jpg18_cr.jpg19_cr.jpg20_cr.jpg21_cr.jpg
rivv аватар
Не на сайте
Был на сайте: 13 лет 4 месяцев назад
Зарегистрирован: 05.11.2010 - 16:17
Публикации: 7

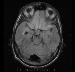
Уважаемые коллеги, помогите, пожалуйста, разобраться. ОбЪемный процесс обеих лобных долей,распространяющийся на передние отделы мозолистого тела (более вероятно глиального ряда)? Неоднородное контрастное усиление от двух узловых образований  в правой лобной доле и зона контрастного усиления в передних отделах мозолистого тела, или есть "слабое" накопление контраста и слева? Ликворная киста переднего рога левого бокового желудочка или это кистозный компонент опухоли, и как расценить очаги повышенного МР-сигнала по Т2ВИ и Tirm паравентрикулярно треугольнику правого бокового желудочка (как отек?). Ниже представлены томограммы с контрастным усилением (ранее на первой группе снимков были представлены отсроченные тмг)

Приложения: 
1_cr.jpg2_cr.jpg3_cr.jpg4_cr.jpg
v1tal аватар
Не на сайте
Был на сайте: 4 года 9 месяцев назад
Зарегистрирован: 07.06.2008 - 19:41
Публикации: 1779

   Что то мне подсказывает на Гадовист Вы поскупились, очень слабое контрастирование(% содержания Gd очень низок, сорее всего 0,25) , пока мысль только на метастатическое поражение передних отделов мозолистого тела и правой лобной доли с выраженным цитотоксическим отеком. А что по поводу консультации онколога?

"Знаешь, у некоторых врачей есть комплекс мессии — им необходимо спасать мир. А у тебя комплекс Рубика — тебе необходимо решать головоломки."

rivv аватар
Не на сайте
Был на сайте: 13 лет 4 месяцев назад
Зарегистрирован: 05.11.2010 - 16:17
Публикации: 7

Контраст Омнискан, как обычно 10,0мл, пациент никуда не обращался, терпел месяц с нарастающими головными болями. Думаю, что опухоль глиально ряда распространяется через мозолистое тело на оба полушария, откуда  изначально исходит трудно сказать, эти "загадочные" глиальные опухоли по разному копят контраст , а то и вообще не накапливают. А что по поводу кисты?Может быть это супраселлярная арахноидальная киста, которая распространяется в передний рог левого бокового желудочка? И что за очаговые паравентрикулярные зоны в области треугольника правого бокового желудочка  с жидкостными сигнальными характеристиками (отек?) Спасибо, что ответили.

Евгений Второй аватар
Не на сайте
Был на сайте: 4 недели 16 часов назад
Зарегистрирован: 13.09.2011 - 22:00
Публикации: 1772

Глиоматоз похоже. Киста может быть деформированной кистой прозрачной перегородки. Мало аксиалов.

rivv аватар
Не на сайте
Был на сайте: 13 лет 4 месяцев назад
Зарегистрирован: 05.11.2010 - 16:17
Публикации: 7

Спасибо, Евгений.