"Зубик"...

Пол пациента: 
Тип патологии: 
Область исследования: 
Методы исследования: 

Ваше мнение?

1.

2.

3.

  • https://radiomed.ru/sites/default/files/styles/case_slider_image/public/user/12/2.pc070033a.jpg?itok=kQeyiwCS
  • https://radiomed.ru/sites/default/files/styles/case_slider_image/public/user/12/1.pc070030_0.jpg?itok=iCPQYHjI
  • https://radiomed.ru/sites/default/files/styles/case_slider_image/public/user/12/2.pc070030a_0.jpg?itok=_UnOSlGJ
  • https://radiomed.ru/sites/default/files/styles/case_slider_image/public/user/12/1.pc070031.jpg?itok=L4PUkAYA
  • https://radiomed.ru/sites/default/files/styles/case_slider_image/public/user/12/2.pc070031a.jpg?itok=hPCQqSUB
  • https://radiomed.ru/sites/default/files/styles/case_slider_image/public/user/12/3.pc070032.jpg?itok=b0F0aaDf
  • https://radiomed.ru/sites/default/files/styles/case_slider_image/public/user/12/4.pc070032a.jpg?itok=iIFKiBAJ
ID:17339
Катенёв Валентин Львович аватар
Не на сайте
Был на сайте: 7 лет 5 месяцев назад
Зарегистрирован: 22.03.2008 - 22:15
Публикации: 54876

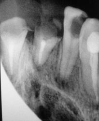
На перелом корня похоже?

Приложения: 
1.pc070036.jpg2.pc070036a.jpg
Катенёв Валентин Львович аватар
Не на сайте
Был на сайте: 7 лет 5 месяцев назад
Зарегистрирован: 22.03.2008 - 22:15
Публикации: 54876

Какие мнения по изображениям будут?

Евгений Алексеевич аватар
Не на сайте
Был на сайте: 5 лет 5 месяцев назад
Зарегистрирован: 28.06.2013 - 16:23
Публикации: 4122

Катенёв Валентин Львович wrote:

На перелом корня похоже?

Скиалогия, проекционное наложение 3-го корня.

Катенёв Валентин Львович аватар
Не на сайте
Был на сайте: 7 лет 5 месяцев назад
Зарегистрирован: 22.03.2008 - 22:15
Публикации: 54876

Спасибо Евгений Алексеевич за коммент.

Евгений Алексеевич аватар
Не на сайте
Был на сайте: 5 лет 5 месяцев назад
Зарегистрирован: 28.06.2013 - 16:23
Публикации: 4122

Катенёв Валентин Львович wrote:

Спасибо Евгений Алексеевич за коммент.

Как Вам видется? Не согласны со смной?

Катенёв Валентин Львович аватар
Не на сайте
Был на сайте: 7 лет 5 месяцев назад
Зарегистрирован: 22.03.2008 - 22:15
Публикации: 54876

Так в том зубике третий корень не предусмотрен...

Евгений Алексеевич аватар
Не на сайте
Был на сайте: 5 лет 5 месяцев назад
Зарегистрирован: 28.06.2013 - 16:23
Публикации: 4122

Катенёв Валентин Львович wrote:

Так в том зубике третий корень не предусмотрен...

На этом снимке видно, что здесь 3 корня : один медиальный и два дистальных ( язычный и щечный)

Катенёв Валентин Львович аватар
Не на сайте
Был на сайте: 7 лет 5 месяцев назад
Зарегистрирован: 22.03.2008 - 22:15
Публикации: 54876

Продолный перелом одного из корней.

Matrena аватар
Не на сайте
Был на сайте: 2 года 2 недели назад
Зарегистрирован: 16.10.2010 - 15:05
Публикации: 1291

 Здравствуйте уважаемый Валентин Львович! smiley  В таком случае, требуется очный осмотр : потрогать, пошевелить,  постучать и т. д.  Продольный перелом корня по снимку увидеть весьма  проблематично.  Скорее соглашусь с Евгением  Алексеевичем – здесь проекционное наложение корня. 

Мир мог быть воспринят как потрясающий, а я воспользовалась им для заурядного потребления. (Вислава Шимборская).

Катенёв Валентин Львович аватар
Не на сайте
Был на сайте: 7 лет 5 месяцев назад
Зарегистрирован: 22.03.2008 - 22:15
Публикации: 54876

Что, линия перелома не видна?

Евгений Алексеевич аватар
Не на сайте
Был на сайте: 5 лет 5 месяцев назад
Зарегистрирован: 28.06.2013 - 16:23
Публикации: 4122

Не а))))

Катенёв Валентин Львович аватар
Не на сайте
Был на сайте: 7 лет 5 месяцев назад
Зарегистрирован: 22.03.2008 - 22:15
Публикации: 54876

Совсем должен сказать "буржуи" охамели...

В своём центральном журнале непроверенную лажу помещают...

Евгений Алексеевич аватар
Не на сайте
Был на сайте: 5 лет 5 месяцев назад
Зарегистрирован: 28.06.2013 - 16:23
Публикации: 4122

Конусно-лучевую компьютерную томографию (КЛКТ) нужно провести в таком случае))))

Катенёв Валентин Львович аватар
Не на сайте
Был на сайте: 7 лет 5 месяцев назад
Зарегистрирован: 22.03.2008 - 22:15
Публикации: 54876

Согласен.