Клинические наблюдения

Опубликуйте свое собственное клиническое наблюдение!
03.11.2025 - 21:56
Острый верхнечелюстной синусит, КТ после ~1 месяца лечения(курс антибиотиков + сосудосуживающие(неделя), а также топические интраназальные стероиды + промывания солевым раствором +...
01.11.2025 - 14:31
Пациентка 62г. поступает в приёмный покой больнцы  в связи с болями в животе, подъёмы температуры до 38 градусов.Выставлялась болень Крона.Выполнен обзорный снимок брюшной полости.
28.10.2025 - 16:03
Помогите пожалуйста примерно как описать ... есть ли остеомиелит?... Направлен на кт с диагнозом:  Последствия других переломов нижней конечности. Остеомиелит ?  из краткого...
27.10.2025 - 20:01
Врач сказал что маточных труб не проходимы, посмотрите пожалуйста 
Махамбетчин Мурат Максутович аватар
24.10.2025 - 10:59
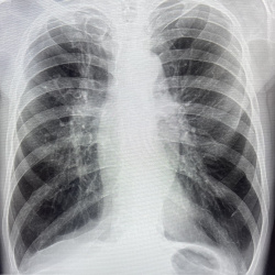
Ж. 64 г, клиника межреберной невралгии, на КТ инфильтрация в S2 справа плотность 9HU, температуры, кашля нет. На что больше похоже?
сергеев николай аватар
21.10.2025 - 05:00
Пожилая женщина. Пришла на рг пкоп. Справа тень паразитарной кисты?
сергеев николай аватар
18.10.2025 - 04:19
Мужчина 1978 г.р. в 2022г травма и операция. В мае 2025 повторная травма, перелом металлоконструкции и костей. В лечебном учреждении нашего города специализированную помощь оказывать не стали в связи...
Павло аватар
17.10.2025 - 11:24
Пациент 1988 года рождения. Имеется рана с выделением на уровне перелома большеберцовой кости. Были переломы. Посттравматический остеомиелит?
16.10.2025 - 09:22
Здравствуйте, я девушка, мне 34 года. Мне на ногу наехала машина, по первому рентгену от 04.02.2025 заключение "закрытый перелом 4 плюсневой кости правой стопы?", а по второму от...
15.10.2025 - 15:25
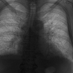
Женнщина 60 лет. Диагностическая флюорография. Состояние после аллопластики диафрагмы (ГПОД) в конце сентября. Диафрагма слева приподнята, жидкость в прямой проекции видна, а на боковой -  нет....
14.10.2025 - 19:31
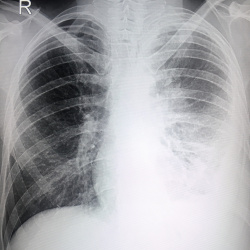
Добрый день. Подскажите пожалуйста, в верхних отделах правого легкого линейная тень. что это может быть : фиброзные изменения или дисковидный ателектаз. ? Спасибо 
urievich аватар
11.10.2025 - 07:39
Добрый день, остеохондропатия медиальных мыщелков бедренных костей (Болезнь Кёнига)?