Клинические наблюдения

Опубликуйте свое собственное клиническое наблюдение!
сергеев николай аватар
11.02.2025 - 13:16
Мальчик 2017 г.р(7 лет). Коллеги подскажите правильно ли я определил костный возраст реьенка- 3 года? Или допустил ошибку?
11.02.2025 - 08:53
Коллеги, здравствуйте. Женщина, 70. Боли в кистях. Смущает обведенная тень в области головки проксимальной фаланги 4-го пальца слева. Что это может быть?
сергеев николай аватар
11.02.2025 - 06:08
Парень 26 лет. Травме 23 дня. Пришел на контроль. 3,4,5 пальцы чувствительность сильно снижена. Вопрос коллеги можно ли такое стояние фрагментов считать удовлетворительным?
сергеев николай аватар
07.02.2025 - 14:55
Парень 26 лет. Свежая травма в быту. Интересует должно ли быть такое расстояние между трехгранной и локтевой костями коллеги? 
07.02.2025 - 11:44
Здравствуйте! Подскажите, пожалуйста, чем может быть обусловлено такое положение С2 на снимке в боковой проекции? Как будто, верхушка зуба смещена кпереди. 
сергеев николай аватар
07.02.2025 - 05:54
Девушка 37 лет. Болит. Коллеги как думаете можно ли предположить о/хондропатию Хасса или нет? И еще добавил ее коленные суставы, тоже выглядят для ее возраста неподобающе. Из амнеза на вид сильно...
aziat84 аватар
05.02.2025 - 16:13
Здравствуйте, коллеги, со слов рентгенлаборанта женщину 1969 г. беспокоит боль в левом тазобедренном суставе, но интересны дефекты вертлужных впадин, что скажете?
сергеев николай аватар
30.01.2025 - 13:16
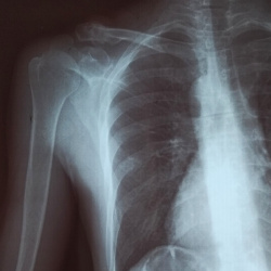
Женщина 1991 г р. Проходила флг, доктор увидел в плечевой кости доп.тень отправил на рг. доктора подскажите пожалуйста что это может быть?
сергеев николай аватар
29.01.2025 - 09:24
Девушка 31 год. Сделали блокаду (со слов) неделю назад в Ч/К. Болеть не перестало. Выписок никаких нет. Коллеги подскажите пожалуйста, что это параартикулярно в мягких тканях?
27.01.2025 - 17:55
Коллеги, здравствуйте. Молодой человек, 26 лет. Анамнез неизвестен. Смущает краниальная пластинка L5 слева и сзади. Какая-то она вдавленная. Можно ли здесь заподозрить компрессионный перелом?
сергеев николай аватар
27.01.2025 - 04:37
Женщина 1945 г. Р. Хирург назначил рг графию костей правой голени, лаборант отсняла обе по своей инициативе. Анамнеза нет. Коллеги подскажите пожалуйста,что с правой малоберцовой костью? 
26.01.2025 - 15:55
Добрый день. подскажите пожалуйста, как написать в протоколе про грудину.. просто деформация ..?