Клинические наблюдения

Опубликуйте свое собственное клиническое наблюдение!
01.03.2026 - 17:19
Добрый вечер коллеги. Помогите пожалуйста со снимками. Пациентка 1978г. Жалуется на боли в 4 пальце левой кисти. Травм не было. Что думаете по поводу фаланг и лучевых и локтевых костей?
16.02.2026 - 17:41
Уважаемые коллеги, есть ли перелом? Молодая девушка, 2 дня назад упала на ягодицы
24.01.2026 - 11:19
На данном сайте и не только, часто спрашивают - есть ли вывих плеча? Часто при травмах, переломах верхнего конца плечевой кости, при стандартных снимках, бросается в глаза низкое...
Павло аватар
16.01.2026 - 13:03
Перелом и подвыв головки плечевой кости? М 55 лет. Упало 3 дня назад подозрение на перелом головки плечевой кости. Головка поднята доверху, есть ли подвивы или перелом?
27.12.2025 - 16:36
Всем доброго дня! Помогите, пожалуйста, разобраться. Пациент мужчина 59 лет. Направлен на рентгенографию стопы по поводу перелома основной фаланги 1 пальца. Образование в пяточной кости, по сути,...
22.12.2025 - 17:08
Пациентка 55 лет. В гололёд падение на борбдюр областью кочика.   
сергеев николай аватар
09.12.2025 - 12:01
Женщина 1940 г.р. ЧМТ доставлена бригадой смп в сознании.  Ушита скальпированнная рана, наложена повязка, госпитализирована в хирургию. В рентген кабинет привезли после этих манипуляций. Что...
сергеев николай аватар
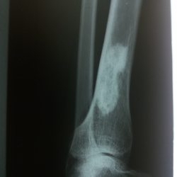
09.12.2025 - 11:37
Мужчина 1963 г р . отправлен терапевтом, в направление артроз под вопросом. Подскажите пожалуйста, что за участок десьрукции в метаэпифизе?
27.11.2025 - 21:00
Постоянные боли стоп после ходьбы или длительного стояния. К вечеру стопы опухают и краснеют, становятся видны вены, последние пол года, ноги начали болеть (ныть) от подколенной...
27.11.2025 - 18:52
Коллеги, здравствуйте! Мужчина, 40 лет, жалобы на боли в правом коленном суставе.  По снимкам - много вопросов. 1) Что с бугристостью большеберцовой кости? Экзостоз? Вроде как...
25.11.2025 - 14:23
Здравствуйте,подскажите,пожалуйста,пациентка с установленным диагнозом сахарный диабет ,из жалоб отек и боль в области костей предплюсны с мая ,смущает разрежение головки 1 плюсневой кости правой...
24.11.2025 - 11:00
Здравствуйте,пациентке назначена рентгенография Пояснично-кр отд п-ка,1948 гр,случайная находка,что за тень?смещается при повороте