Клинические наблюдения
18.06.2024 - 14:02
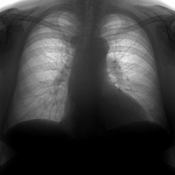
Добрый день. Пациент температурит пятый день, до 39. Терапевт аускультативно слышит и ослабление, и жёсткое дыхание, причём с 2-х сторон, ожидали пневмонию на снимке, но я не вижу. Хотела придраться...
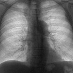
17.06.2024 - 14:16
Добрый день. Рентгенограмма профилактическая. Возраст пациента 39 лет, жалоб не предъявляет. Первый снимок - сегодняшний, второй - от 2017 г. Не понравился левый лёгочный корень, но с учётом архива...
17.06.2024 - 07:36
16 лет, жалоб нет, плотные участки слева -это точки оссификации хрящевой части рёбер?
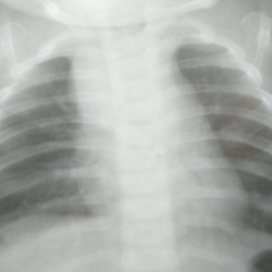
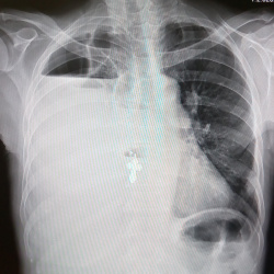
13.06.2024 - 09:08
Здравствуйте. Цель исследования - исключить пневмонию. Отмечалось повышение температуры до 39, был контакт с больными, у которых пневмония была подтверждена. На мой взгляд, есть участок деформации...
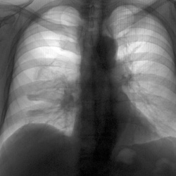
13.06.2024 - 06:44
3 года, справа на правый контур средостения выходит увеличенный тимус? Или причина всё же в укладке?
10.06.2024 - 11:53
3 года, кашель, без температуры, от чего тень на боку? И где она на прямом?
06.06.2024 - 11:53
Здравствуйте. Молодой пациент пришёл на профилактический снимок лёгких. Когда уже отдала заключение, заметила тень на фоне заднего отрезка 8 ребра слева. Архива нет. Хотелось бы услышать мнение более...
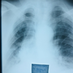
03.06.2024 - 09:39
Ребенок 5 лет поступил в хирургию с болями в животе, температурой, кашлем. 24 мая сделан снимок и переведен в педиатр.отделение с пневмонией . В анализах СРБ-131, L-25 ,Соэ-66. Сделан...
01.06.2024 - 15:33
Пациентка 45 лет, исследования проводились для исключения / подтверждения пневмонии в один день, сначала РГ, затем КТ, представляется для демонстрации диагностических возможностей...
30.05.2024 - 14:54
Здравствуйте, женщина 48 лет профосмотр, жалоб нет. Слева в нижнем отделе норма? Архива нет.
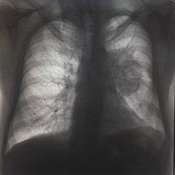
29.05.2024 - 12:25
Мужчина 50 лет. Температура около 10 дней до 38. Пьющий. Как расценить картину в лёгких,помогите разобраться коллеги. Мнения разошлись
Я извиняюсь за позитив/негатив. Завтра приеду на работу скину...
26.05.2024 - 16:15
Пациент - подросток 15 лет, исследования проводились для исключения / подтверждения пневмонии в один день, сначала РГ, затем КТ, презентуется для демонстрации возможностей...
- « первая
- ‹ предыдущая
- …
- 5
- 6
- 7
- 8
- 9
- 10
- 11
- 12
- 13
- …
- последняя »
- следующая ›