Вы здесь

Анализируя и перебирая "старый" материал на сайте.

Анализируя и перебирая "старый" материал на сайте, я наткнулся на весьма интересный снимок, который был представлен одним из наших коллег. "толчком для "перебора" материала послужила интереснейшая публикация одного из наших коллег на "дружественном сайте" по поводу "Безоара толстой кишки".

Данный снимок был выложен на сайт нашим коллегой rentgengb1

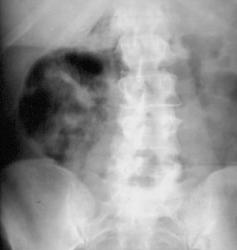
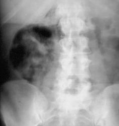
Вот снимок, представленный, как "Эмфизематозный пиелонефрит".


1._Snimok_iz_interneta.jpg
1._Snimok_iz_interneta.jpg
2.Snimok_iz_interneta.jpg
2.Snimok_iz_interneta.jpg
3._Snimok_iz_Interneta..jpg
3._Snimok_iz_Interneta..jpg
4._Snimok_iz_Interneta..jpg
4._Snimok_iz_Interneta..jpg

 

ВложениеРазмер
Иконка изображения 1._Snimok_iz_interneta.jpg127.44 КБ
Иконка изображения 2.Snimok_iz_interneta.jpg102.82 КБ
Иконка изображения 3._Snimok_iz_Interneta..jpg50.4 КБ
Иконка изображения 4._Snimok_iz_Interneta..jpg45.92 КБ
Катенёв Валентин Львович аватар
Не на сайте
Был на сайте: 7 лет 3 месяцев назад
Зарегистрирован: 22.03.2008 - 22:15
Публикации: 54876

Знаменитый снимок, гуляет по всему инету. Как уверяют авторы  диагноз ставится по одному снимку.

does not have a status.
Катенёв Валентин Львович аватар
Пользователь на сайте. На сайте
Главный рентгенолог сайта
Зарегистрирован: 22.03.2008
Сообщения: 6471
IP: 95.71.81.34
Отправить сообщение
Легче сказать сказать "чем

Легче сказать сказать "чем это не может быть". И если это не 100 % "лажа" (компьютерные наложения), то единственное, что можно предположить - возможность наличия опухоли "эмбриональных зачатков". Остальное, как то брюшная беременность, с гибелью плода, наличие газа в забрюшинном пространстве (с одной стороны) исключаются. Смещение кишечных петель влево может свидетельствовать только об объёмном процессе.

does not have a status.
rentgengb1 аватар
Пользователь не на сайте. Последний раз был 26 минут 6 секунд назад. Не на сайте
Активный участник
Зарегистрирован: 13.02.2009
Сообщения: 173
IP: 92.255.160.215
Связаться с пользователем по Email
Отправить сообщение
Add друзья
Эта не "лажа" , а банальный

Эта не "лажа" , а банальный обзорный снимок органов брюшной полости.  Но если  раскрыть все карты Вы сильно разочаруетесь. т.к. все скиалогические эффекты тут объяснимы.

does not have a status.
Катенёв Валентин Львович аватар
Пользователь на сайте. На сайте
Главный рентгенолог сайта
Зарегистрирован: 22.03.2008
Сообщения: 6471
IP: 95.71.81.34
Отправить сообщение
Желаю разочароваться -

Желаю разочароваться - раскройте карты.

does not have a status.
rentgengb1 аватар
Пользователь не на сайте. Последний раз был 26 минут 6 секунд назад. Не на сайте
Активный участник
Зарегистрирован: 13.02.2009
Сообщения: 173
IP: 92.255.160.215
Связаться с пользователем по Email
Отправить сообщение
Add друзья
Эмфизематозный пиелонефрит.

Эмфизематозный пиелонефрит.

does not have a status.
Катенёв Валентин Львович аватар
Пользователь на сайте. На сайте
Главный рентгенолог сайта
Зарегистрирован: 22.03.2008
Сообщения: 6471
IP: 95.71.81.34
Отправить сообщение
Спасибо. А это что

Спасибо. А это что действительно клиническое наблюдение?

does not have a status.
rentgengb1 аватар
Пользователь не на сайте. Последний раз был 26 минут 6 секунд назад. Не на сайте
Активный участник
Зарегистрирован: 13.02.2009
Сообщения: 173
IP: 92.255.160.215
Связаться с пользователем по Email
Отправить сообщение
Add друзья
Дело было так. Наш  хирург

Дело было так. Наш  хирург распечатал с инета данный снимок и принес его не планерку, со словами "что это". Снимок висел на сайте для абдоминальных хирургов, условие было такое: снимок весит 2 месяца потом раскрывают карты. версиий накопилось около сотни. Версия наших хирургов панкреанекроз,  безоар толстой кишки. Рентгенологов эмфизематозный пиелонефрит и кишечный свищь в забрюшинку.

does not have a status.
rentgengb1 аватар
Пользователь не на сайте. Последний раз был 26 минут 6 секунд назад. Не на сайте
Активный участник
Зарегистрирован: 13.02.2009
Сообщения: 173
IP: 92.255.160.215
Связаться с пользователем по Email
Отправить сообщение
Add друзья
То что это почка бросилось

То что это почка бросилось сразу. Обратите внимание на форму,положениеи самое главное для меня ось.  Недумаю что безоар может так четко имитировать форму и положение почки.

does not have a status.
Катенёв Валентин Львович аватар
Пользователь на сайте. На сайте
Главный рентгенолог сайта
Зарегистрирован: 22.03.2008
Сообщения: 6471
IP: 95.71.81.34
Отправить сообщение
Весьма интересно. Но если это

Весьма интересно. Но если это эмфизематозный пиелонефрит, и именно пиелонефрит, то по идее должен был-бы газ хоть как-то дифференцироваться в полой системе почки, и позможно в лоханочно-мочеточниковом сегменте.

does not have a status.
Катенёв Валентин Львович аватар
Пользователь на сайте. На сайте
Главный рентгенолог сайта
Зарегистрирован: 22.03.2008
Сообщения: 6471
IP: 95.71.81.34
Отправить сообщение
Если принять сказанное " на

Если принять сказанное " на веру", то газ, окружающий "почку" находится не в забрюшинном пространстве, а под капсулой почки, тогда непонятно, чем вызвана такая неоднородная структура тени почки и что это за "хвост просветления" направляющийся кверху?

does not have a status.
Катенёв Валентин Львович аватар
Пользователь на сайте. На сайте
Главный рентгенолог сайта
Зарегистрирован: 22.03.2008
Сообщения: 6471
IP: 95.71.81.34
Отправить сообщение
Если это почка, как считаете

Если это почка, как считаете Вы, то каких она должна быть размеров - размеры не нормально большие и все газосодержащие структуры - петли кишечника дифференцируются слева, следовательно они смещены. Я не думаю, что орган находящийся в забрюшинном пространстве, даже таких размеров, хотя в медицине все возможно, так бы оттеснил кишечные структуры. А не было-ли авторами этого случая указано в каком положении был сделан снимок - стоя или лёжа. Не визуализируется и контур м. псоас, на мой взгляд она бедная прижата и зажата к позвоночнику. Вообще сам снимок весьма странный, так как он не внушает доверия, так как это не снимок почек и мочевыводящих путей, пусть обзорный, выполненный на кассете размером 30х40 см. с захватом всех необходимых компонентов. Это и не снимок брюшной полости, выполненный на кассете 35х35 см. или 30 х 40 см. с захватом куполов диафрагмы и "малого таза". Этот снимок произведен даже не с целью получить какую-либо диагностическую информацию, ибо если-бы эта цель была, то любой нормальный рентгенолог и даже  лаборант "соответствующего уровня" произвел-бы дополнительно правую боковую рентгенограмму. Меня сильно смущает и более интенсивное отображение газа справа, чем в петлях кишки слева. Что это за непонятная широкая тень просветления вдоль крыла подвздошной кости справа. А может быть это снимок "жмурика"? И что это за откол фрагмента костной ткани от медиального края крыла левой подвздошной кости.


Вот почему я и считаю данное изображение "лажей".


Мне данный снимок весьма напоминает шутливый снимок, опубликованный фарабефом - "коленный сустав с зубами".

does not have a status.
rentgengb1 аватар
Пользователь не на сайте. Последний раз был 26 минут 7 секунд назад. Не на сайте
Активный участник
Зарегистрирован: 13.02.2009
Сообщения: 173
IP: 92.255.160.215
Связаться с пользователем по Email
Отправить сообщение
Add друзья
Даже не знаю что сказать.

Даже не знаю что сказать. т.к. не автор данного снимка. Я его воспринимаю такой какой он есть . По поводу органа больших размеров теснившего петли кишечника. Намедни  выложу Вам гигантскую  забрюшинную липому на половину живота, не просто оттесняющюю органы а просто "вывихивая их". До встречи.

does not have a status.
Dr.Mario аватар
Пользователь не на сайте. Последний раз был 22 часов 32 минуты назад. Не на сайте
Модератор сайта
Зарегистрирован: 06.08.2008
Сообщения: 814
IP: 94.187.74.13
Связаться с пользователем по Email
Отправить сообщение
Add друзья
Здраствуйте! Жаль что опоздал


Здраствуйте! Жаль что опоздал на разбор! Случай на-интереснейший! Не настаиваю на утверждении, что смог бы сразу "раскусить" представленную патологию, но. Такое расположение газов весьма подозрительно на эмфизематозный пиелонефрит; и это хорошо описано в многих зарубежных руководствах по Урологии (Smith Urology) и Рентгенологии; и даже зайдя на такой известный инет ресурс как eMedicine, в разделе эмфизематозный пиелонефрит, первый опубликованный снимок будет весьма схож с представленным выше:

Изображение

Катенёв Валентин Львович аватар
Не на сайте
Был на сайте: 7 лет 3 месяцев назад
Зарегистрирован: 22.03.2008 - 22:15
Публикации: 54876
does not have a status.
арнольд аватар
Пользователь не на сайте. Последний раз был 30 недель 5 дней назад. Не на сайте
Начинающий участник
Зарегистрирован: 22.12.2008
Сообщения: 18
IP: 95.110.4.199
Связаться с пользователем по Email
Отправить сообщение
Add друзья
Высказался бы о петлях

Высказался бы о петлях кишечника....возможно, инвагинация.

Dat.Dicat.Dedicat.

 

does not have a status.
Dr.Mario аватар
Пользователь не на сайте. Последний раз был 22 часов 32 минуты назад. Не на сайте
Модератор сайта
Зарегистрирован: 06.08.2008
Сообщения: 814
IP: 94.187.74.13
Связаться с пользователем по Email
Отправить сообщение
Add друзья
Доброе утро! Всех с

Доброе утро! Всех с праздником!
Согласен с Вами Валентин Львович, я о принципе: в нас когда-то вдалбливали-если в проекции почек на обзорной рентгенограмме брюшной полости в положении лёжа, мы видим ненормальное скопление газа-надо исключать эмфизематозный пиелонефрит. Мне запомнилось. )))

Let me see...

 

Катенёв Валентин Львович аватар
Не на сайте
Был на сайте: 7 лет 3 месяцев назад
Зарегистрирован: 22.03.2008 - 22:15
Публикации: 54876

И вот, при детельном ознакомлении с материалом нашего коллеги, который представлен на "дружественном сайте", у меня возник невольный вопрос - "А не безоар - ли толстой кишки, мы обсуждали под маской "Эмфизематозного пиелонефрита", ибо некоторая аналогия прослеживается".

 

tatyana аватар
Не на сайте
Был на сайте: 4 года 4 месяцев назад
Зарегистрирован: 24.06.2009 - 08:33
Публикации: 2090

На мой взгляд, здесь картина типична для эмфизематозного пиелонефрита, а на дружественном сайте - болезнь Гиршпрунга

"самоуверенность дилетантов - предмет зависти профессионалов"