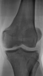
Пациент, врачом хирургом, направлен на рентгенографию коленного сустава в связи с болями. Пациент отмечает, что боли ощущает в течение уже 2-х лет. Ранее производилась рентгенография коленного сустава, однако патологических изменений выявлено не было.






Ваше мнение уважаемые коллеги?
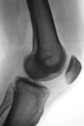
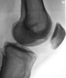
А травмы не было? Латеральнее ММВ как будто бы фрагмент костной плотности. Может быть, болезнь Кёнига? С медиальной стороны щель сустава значительно уже, там же - участок разрежения в мыщелке бедра. На новообразование на первый взгляд не похоже. Без КТ мне трудно судить
Поддерживаю предподожение о б-ни Кенига. Хотя и отсутствует отслоившийся фрагмент, но тем не менее.
Андрей Юрьевич
В протоколе написал - "состояние после перенесенной болезни Кенига". Хорошо дифференцируется "опустевшее ложе".
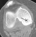
А вот примерно так выглядит это ложе на КТ, пока оно ещё не опустело (ложе в медиальном мыщелке помечено стрелками). Б-нь Кенига.
Класс!
Алекс! У нас на сайте есть набор изображений "остеохондропатии". С Вашего позволения я перенесу изображения и туда?
Конечно, Валентин Львович, я не обратил внимание на существование сайта, теперь добавлю туда несколько КТ-картинок.