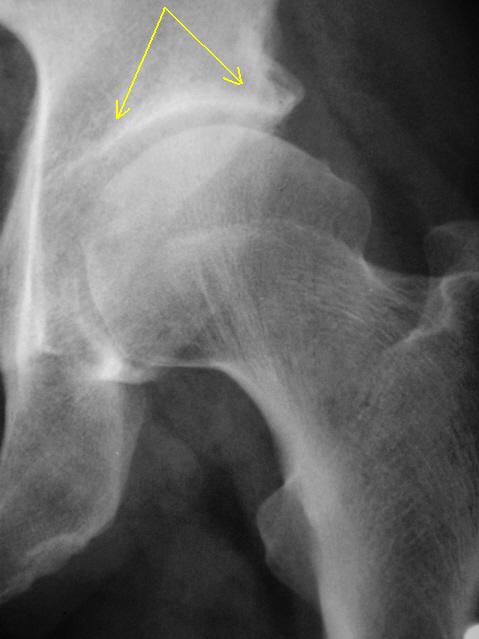
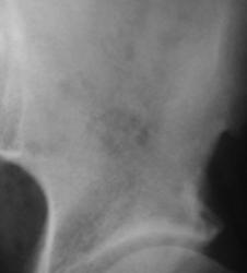
Первое, что бросилось в глаза - это некоторое уплощение головки левого бедра, так называемая, двугорбость головки, небольшая латеропозиция головки (расширение р-суставной щели в нижнемедиальном отделе). Такую форму головок встречаю в исходе болезни Пертеса. В детстве не было болезни Пертеса у больного? Ну, и изменения в обл. лонного сочленения.
Да. Это женщина 41 года. Роды одни. Официально разрывов лонного сочленения во время родов не зарегистрировано, пилку "Джигли" не применяли. Травм с переломами костей таза также не было.
Согласна, надо Рейнберга почитать. Когда-то давно попадался остит в области лонного сочлениея. Это был пожилой мужчина после операции на простате. Процесс был отрый. Может быть в данном случае исход этого заболевания. Или перестройка связана с коксартрозом. Раз головка бедра деформиррвана, надо поискать асептический некроз.
Я думаю, что деформирующий артроз левого тазобедренного сустава, однозначно имеет место быть. Об этом свидетельствует и деформация суставной поверхности головки бедренной кости - "уплощение", "двугорбость" или незначительно выраженная "грибовидная" деформация, по сравнению с головкой противоположной стороны.
Также четко определяется наличие субхондрального склероза по верхнему наружному контуру вертлужной впадины.
О функциональной перегрузке левого тазобедренного сустава свидетельствует также перестройка архитектоники шейки бедренной кости. В медиальном отделе шейки бедренной кости, с дальнейшим распространением на головку определяется сгущение "костных балок и их утолщение", по сравнению с латеральным отделом шейки - по всей видимости, компенсаторный процесс, в результате перераспределения нагрузки?
Артроз в левом тазобедренном суставе есть однозначно и с этим трудно спорить. НО...
Как быть с "формальными признаками" деформирующего артроза, согласно всем классификациям, хоть Келгрену, хоть Н.С. Косинской, где первым и самым фундаментальным признаком является "сужение суставной щели", где акцентировано, что "деформирующего артроза без сужения суставной щели не бывает". В "нашем случае" со стороны деформирующего артроза суставная щель не только не сужена, но даже и расширена.
Ваше мнение коллеги?
Случай демонстрируется также с учетом того, что "ссылки" на "фундамент, стандарты и авторитеты" не всегда уместен, и в медицине бывает всякое (что и не снилось нашим мудрецам), не влазящее в рамки "определенного стандарта или классификации".
Первое, что бросилось в глаза - это некоторое уплощение головки левого бедра, так называемая, двугорбость головки, небольшая латеропозиция головки (расширение р-суставной щели в нижнемедиальном отделе). Такую форму головок встречаю в исходе болезни Пертеса. В детстве не было болезни Пертеса у больного? Ну, и изменения в обл. лонного сочленения.
https://www.instagram.com/pediatricradiology/
Пациентка отрицает. В медицинской документации никаких "следов перенесенной болезни Пертеса нет".
Что можете коллега посоветовать по поводу лонного сочленения.
Это женщина? А какой возраст?
https://www.instagram.com/pediatricradiology/
Да. Это женщина 41 года. Роды одни. Официально разрывов лонного сочленения во время родов не зарегистрировано, пилку "Джигли" не применяли. Травм с переломами костей таза также не было.
Даже не знаю, что это может быть. Со взрослыми не работаю. Где-то у Рейнберга встречала про склеротические изменения симфиза, завтра посмотрю.
https://www.instagram.com/pediatricradiology/
Согласна, надо Рейнберга почитать. Когда-то давно попадался остит в области лонного сочлениея. Это был пожилой мужчина после операции на простате. Процесс был отрый. Может быть в данном случае исход этого заболевания. Или перестройка связана с коксартрозом. Раз головка бедра деформиррвана, надо поискать асептический некроз.
Не было ли недавно операций на малом тазу?
Я думаю, что деформирующий артроз левого тазобедренного сустава, однозначно имеет место быть. Об этом свидетельствует и деформация суставной поверхности головки бедренной кости - "уплощение", "двугорбость" или незначительно выраженная "грибовидная" деформация, по сравнению с головкой противоположной стороны.
Также четко определяется наличие субхондрального склероза по верхнему наружному контуру вертлужной впадины.
О функциональной перегрузке левого тазобедренного сустава свидетельствует также перестройка архитектоники шейки бедренной кости. В медиальном отделе шейки бедренной кости, с дальнейшим распространением на головку определяется сгущение "костных балок и их утолщение", по сравнению с латеральным отделом шейки - по всей видимости, компенсаторный процесс, в результате перераспределения нагрузки?
Артроз в левом тазобедренном суставе есть однозначно и с этим трудно спорить. НО...
Как быть с "формальными признаками" деформирующего артроза, согласно всем классификациям, хоть Келгрену, хоть Н.С. Косинской, где первым и самым фундаментальным признаком является "сужение суставной щели", где акцентировано, что "деформирующего артроза без сужения суставной щели не бывает". В "нашем случае" со стороны деформирующего артроза суставная щель не только не сужена, но даже и расширена.
Ваше мнение коллеги?
Случай демонстрируется также с учетом того, что "ссылки" на "фундамент, стандарты и авторитеты" не всегда уместен, и в медицине бывает всякое (что и не снилось нашим мудрецам), не влазящее в рамки "определенного стандарта или классификации".
Операций не было, не было и травм.
Согласен, но перечисленного Вами не было.