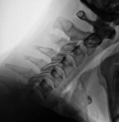
Я уже как-то высказывался, но повторюсь: "Есть ли боли в области плечевого сустава , нет ли болей в области плечевого сустава, патологические изменения в шейном отделе позвоночника будут всегда" http://www.radiomed.ru/content/boli-v-pliechievom-sustavie , а также дополню: "А если боли в области плечевого сустава есть, а изменения в ШОП не очень выражены, мы (рентгенологи), как честные люди, в любом случае обязаны их найти". Смайлы, очень много смайлов!!!
На рентгенограммах стато-функциональные изменения в шейном отделе выражены не отчетливо, можно описать как патологию, но можно описать и как норму, а вот увеличение ширины ключично-акромиального сочленения есть, возможно имеет место быть старый разрыв связок ключично-акромиального сочленения.
Достоверным р-признаком разрыва ключично-акромиального сочленения является не его ширина, а несоответствие друг другу нижних поверхностей акромиального конца ключицы и акромиального отростка лопатки. На представленном снимке этого нет.
Я уже как-то высказывался, но повторюсь: "Есть ли боли в области плечевого сустава , нет ли болей в области плечевого сустава, патологические изменения в шейном отделе позвоночника будут всегда" http://www.radiomed.ru/content/boli-v-pliechievom-sustavie , а также дополню: "А если боли в области плечевого сустава есть, а изменения в ШОП не очень выражены, мы (рентгенологи), как честные люди, в любом случае обязаны их найти". Смайлы, очень много смайлов!!!
Андрей Юрьевич
На рентгенограммах стато-функциональные изменения в шейном отделе выражены не отчетливо, можно описать как патологию, но можно описать и как норму, а вот увеличение ширины ключично-акромиального сочленения есть, возможно имеет место быть старый разрыв связок ключично-акромиального сочленения.
Достоверным р-признаком разрыва ключично-акромиального сочленения является не его ширина, а несоответствие друг другу нижних поверхностей акромиального конца ключицы и акромиального отростка лопатки. На представленном снимке этого нет.
Андрей Юрьевич