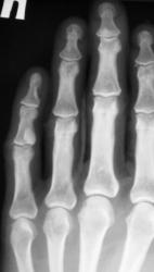
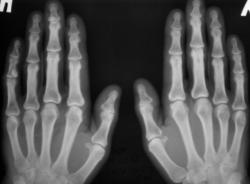
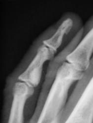
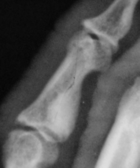
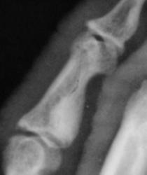
Катенёв Валенти... Дата публикации 19.06.2009, 20:43 Ваше мнение коллеги по поводу локального "уплотнения костной ткани" в средней фаланге 5 пальца левой кисти. Эностоз? Ваше мнение коллеги? Пт, 19/06/2009 - 20:46 #1 Глазков Игорь А... Не на сайте Был на сайте: 11 месяцев 3 недели назад Зарегистрирован: 19.12.2008 - 20:41 Публикации: 1597 что эностоз, но неплохо бы узнать возраст пациента. Прийди к Себе Пт, 19/06/2009 - 20:52 #2 Катенёв Валенти... Не на сайте Был на сайте: 7 лет 3 месяцев назад Зарегистрирован: 22.03.2008 - 22:15 Публикации: 54876 Пациент возраста около 30-ти лет.
что эностоз, но неплохо бы узнать возраст пациента.
Прийди к Себе
Пациент возраста около 30-ти лет.