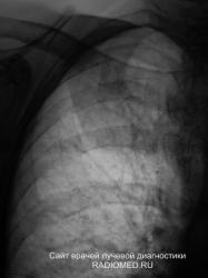
Впечатление об аномалии развития I ребра справа по переднему отрезку.Для уточнения, неплохо было бы взять пациета за экран и подять флюорографический архив.
Я конечно взял на контроль с учетом того имеет место быть снижение прозрачности правой верхушки, и с учетом нашей "эпидемиологической ситуации" наточил зубы на томографию.
Этот случай весьма созвучен со случаем, который представил на сайте "Радиография" наш уважаемый Владимир Борисович Серов - "висячий сосок".
И ещё, я очень люблю своих рентгенолаборантов, которые наряду со своей высокой квалификацией, весьма внимательны и наблюдательны. Дело в том, что "наша смена" - это один врач-рентгенолог в "упряжке" с четырьмя лаборантами, которые постоянно выполняют исследования на 3 рабочих местах, врач, по большому счету решает вопросы, которые не могут решить рентгенолаборанты.
Когда пациентка явилась, и ей была произведена обзорная рентгенография органов грудной полости, а я уже точил зубы для томографии, ко мне подошел один из лаборантов (рентгенодиагностика) с пациенткой и попросил посмотреть пациента ....
ОКАЗЫВАЕТСЯ - все просто - больших размеров липома, топографически там, где имеело место быть снижение прозрачности легочной ткани (на верхушке).
Валентин Львович, мои лаборанты уже научены, что при всех визуальных изменениях (послеоперационные рубцы, липомы, свищи и т.д. и т.п.) они обязательно делают пометку в журнале.
А мне-то как помогают лаборанты, производящие маммографию, именно своей наблюдательностью. Но мои, правда в журнале не пишут, а сразу в компьютере. Благодаря цифре "писарчуковская часть труда" и враача и лаборантов значительно облегчилась.
Самое интересное, и безусловно "козырное", что упоминания или описания, что у пациентки имеется значительных размеров липома, в амбулаторной карте нет.
Впечатление об аномалии развития I ребра справа по переднему отрезку.Для уточнения, неплохо было бы взять пациета за экран и подять флюорографический архив.
Валентин Львович! Я сделал бы пациенту ТМГ. Ребро - ребром, а что на фоне ребра? И что в нижней доле справа?
dok
Мне кажется, дело не в ребре. Может, туберкулез?
https://www.instagram.com/pediatricradiology/
Я конечно взял на контроль с учетом того имеет место быть снижение прозрачности правой верхушки, и с учетом нашей "эпидемиологической ситуации" наточил зубы на томографию.
Гиповентиляция верхней доли?
Валентин Львович! И это правильно!
dok
Этот случай весьма созвучен со случаем, который представил на сайте "Радиография" наш уважаемый Владимир Борисович Серов - "висячий сосок".
И ещё, я очень люблю своих рентгенолаборантов, которые наряду со своей высокой квалификацией, весьма внимательны и наблюдательны. Дело в том, что "наша смена" - это один врач-рентгенолог в "упряжке" с четырьмя лаборантами, которые постоянно выполняют исследования на 3 рабочих местах, врач, по большому счету решает вопросы, которые не могут решить рентгенолаборанты.
Когда пациентка явилась, и ей была произведена обзорная рентгенография органов грудной полости, а я уже точил зубы для томографии, ко мне подошел один из лаборантов (рентгенодиагностика) с пациенткой и попросил посмотреть пациента ....
ОКАЗЫВАЕТСЯ - все просто - больших размеров липома, топографически там, где имеело место быть снижение прозрачности легочной ткани (на верхушке).
Валентин Львович, мои лаборанты уже научены, что при всех визуальных изменениях (послеоперационные рубцы, липомы, свищи и т.д. и т.п.) они обязательно делают пометку в журнале.
А мне-то как помогают лаборанты, производящие маммографию, именно своей наблюдательностью. Но мои, правда в журнале не пишут, а сразу в компьютере. Благодаря цифре "писарчуковская часть труда" и враача и лаборантов значительно облегчилась.
Вот и все стало понятно, Валентин Львович!
dok
Да, иногда пренебрежение к "простому", чревато осложнениями.
Самое интересное, и безусловно "козырное", что упоминания или описания, что у пациентки имеется значительных размеров липома, в амбулаторной карте нет.