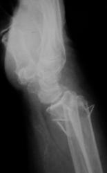
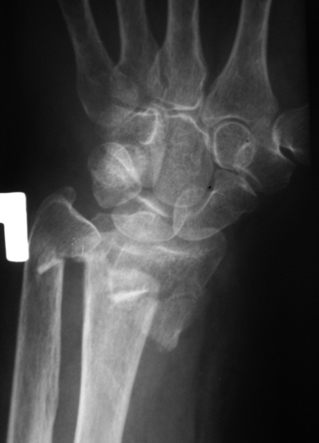
Катенёв Валенти... Дата публикации 23.04.2009, 18:55 Травма. Пациентка направлена на рентгенографию правого лучезапястного сустава. Проведена рентгенография, насколько это возможно, в стандартных проекциях. После репозиции отломков и наложения гипсовой повязки произведено рентген-контроль. Чт, 23/04/2009 - 19:21 #1 Dr.Mario Не на сайте Был на сайте: 11 лет 6 месяцев назад Зарегистрирован: 06.08.2008 - 08:44 Публикации: 920 плохо, очень плохо. Let me see... radiographia.ru Чт, 23/04/2009 - 20:48 #2 Vega Не на сайте Был на сайте: 4 месяцев 3 недели назад Зарегистрирован: 22.01.2009 - 19:16 Публикации: 1087 Да, нужно оперировать
плохо, очень плохо.
Let me see...
radiographia.ru
Да, нужно оперировать