Пациентка 28лет. Больна около года. Диагноз морфологически подтвержден. Наверное, только злокачественная опухоль, да, пожалуй, огнестрельное ранение более разрушительны.
Редкое и очень показательное наблюдение. Разрешите расширить диф. ряд; схожую картинку я видел у одного наркомана, который "нюхал" или "вдыхал" кокаин, разрушения полости носа были очень выражены, и весьма похожи не представленные сканы... Постараюсь найти в архиве изображения.
Поддерживаю предыдущий пост; при ганулематозе Вегенера, бывает очень типичные поражения лёгких, по типу interstitial pneumonia/hemorhage. Y меня где-то было пару Кт срезов, надо поискать. Если не знать о Вегенера; диф. диагноз по лёгочным проявлениям, может быть проблематичным.
Дополнение: сначала немного "приврал" , диф. диагностику надо проводить не только с интерстициальными поражениями, а также с многими другими заболеваниями: Differential Diagnoses: [Lung, Drug-induced Disease] Pneumonia, Atypical Bacterial Aspergillosis, Thoracic Pneumonia, Typical Bacterial Aspiration Pneumonia Pneumonia, Viral Пнеумониа, Bacterial Pulmonary Edema, Noncardiogenic Blastomycosis, Thoracic Sarcoidosis, Thoracic Bronchiolitis Obliterans Organizing Pneumonia (BOOP) Trachea, Stenosis Coccidioidomycosis, Thoracic Lung Cancer, Non-Small Cell Lung, Metastases
КТ-легких представленного случая нет. Больная была из другой лечебницы, да и прислана было ЛОРиками (наверно, кто-то науку делает или статьи строчит). Со слов больной рентгенография грудной клетки 2-х или 3-х месячной давности - без патологии.
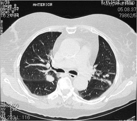
Раз уж коснулись легких, то вот другой морфологически верифицированный случай. Множественные очаговые образования(гранулемы) от 10мм до 35мм (с распадом) больше всего похожи на метастазы. Из всего приведенного д-ром Марио дифференциального ряда мне лично попадались случаи гранулематоза похожие именно на метастазы. В первый раз пролетаешь и даже не указываешь Вегенера, но потом, когда видишь гранулему с распадом(да ещё бывают размеры побольше), то уже вполне можно "угадать". А вообще (не применительно к данному случаю), больные зачастую гибнут от легочных кровотечений из таких вот распадающихся гранулем(применительно к СНГ) или, если преобладает поражение почек - от тяжелых гломерулонефритов.
Редкое и очень показательное наблюдение. Разрешите расширить диф. ряд; схожую картинку я видел у одного наркомана, который "нюхал" или "вдыхал" кокаин, разрушения полости носа были очень выражены, и весьма похожи не представленные сканы... Постараюсь найти в архиве изображения.
Let me see...
radiographia.ru
Никогда такого не видела! Марио, жду ваши снимки.
Что и стенки осн. пазухи разрушены, я правильно понял?
Зри в корень!
Да, правильно.
Поддерживаю предыдущий пост; при ганулематозе Вегенера, бывает очень типичные поражения лёгких, по типу interstitial pneumonia/hemorhage. Y меня где-то было пару Кт срезов, надо поискать. Если не знать о Вегенера; диф. диагноз по лёгочным проявлениям, может быть проблематичным.
Дополнение: сначала немного "приврал"
, диф. диагностику надо проводить не только с интерстициальными поражениями, а также с многими другими заболеваниями:
Differential Diagnoses:
[Lung, Drug-induced Disease]
Pneumonia, Atypical Bacterial
Aspergillosis, Thoracic
Pneumonia, Typical Bacterial
Aspiration Pneumonia
Pneumonia, Viral
Пнеумониа, Bacterial
Pulmonary Edema, Noncardiogenic
Blastomycosis, Thoracic
Sarcoidosis, Thoracic
Bronchiolitis Obliterans Organizing Pneumonia (BOOP)
Trachea, Stenosis
Coccidioidomycosis, Thoracic
Lung Cancer, Non-Small Cell
Lung, Metastases
Let me see...
radiographia.ru
КТ-легких представленного случая нет. Больная была из другой лечебницы, да и прислана было ЛОРиками (наверно, кто-то науку делает или статьи строчит). Со слов больной рентгенография грудной клетки 2-х или 3-х месячной давности - без патологии.
Раз уж коснулись легких, то вот другой морфологически верифицированный случай. Множественные очаговые образования(гранулемы) от 10мм до 35мм (с распадом) больше всего похожи на метастазы. Из всего приведенного д-ром Марио дифференциального ряда мне лично попадались случаи гранулематоза похожие именно на метастазы. В первый раз пролетаешь и даже не указываешь Вегенера, но потом, когда видишь гранулему с распадом(да ещё бывают размеры побольше), то уже вполне можно "угадать". А вообще (не применительно к данному случаю), больные зачастую гибнут от легочных кровотечений из таких вот распадающихся гранулем(применительно к СНГ) или, если преобладает поражение почек - от тяжелых гломерулонефритов.
Интересный случай из "ранних". Возможно будет интересно...