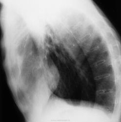
Цирротические наслоения в верхних долях, но надо исключить и рачок, возможно он притаился за этими наслоениями. Наверное КТ, выставленное Валентином Львовичем, и даёт ответ на этот вопрос, но я в КТ не разбираюсь
Цирроз с 2-х сторон, но с учётом картины по КТ, изменения локализуются в передних отделах, что несколько нехарактерно для туберкулёза. Не исключал бы версию, аномалии развития лёгочной ткани, с исходом в цирроз.
Цирроз с 2-х сторон, но с учётом картины по КТ, изменения локализуются в передних отделах, что несколько нехарактерно для туберкулёза. Не исключал бы версию, аномалии развития лёгочной ткани, с исходом в цирроз.
Да, было такое мнение, что не любит Его Величество передних отделов (переднего сегмента), правда, потом это мнение было развеяно. Но рентгенологи старшего поколения цепляются за "это" - спереди - рачок-с, сзади - тубер.
Пневмоплевроцирроз верхних долей сомнений не вызывает, как и анкилозирующий спондилоартрит. А не мог тут г-н Бехтерев вмешаться и извратить привычный процесс протекания туберкулёза?
Пневмоплевроцирроз верхних долей сомнений не вызывает, как и анкилозирующий спондилоартрит. А не мог тут г-н Бехтерев вмешаться и извратить привычный процесс протекания туберкулёза?
Интересно, как Вы, уважаемый Петрович, до Бехтерева дошли?
Бродил я, в очередной раз, по всевозможным обучающим ресурсам. Наткнулся на представленные картинки, подумал – «старый тубер» и, по всей видимости, как исход двустороннего фиброзно-кавернозного. Однако, все оказалось намного интереснее. Статья группы авторов (из буржуйских) была посвящена легочным проявлениям системных аутоиммунных заболеваний. Много интересного, из той статьи, я уже разместил на сайте «по темам» (ревматоидное лёгкое и др.). Эти картинки были озаглавлены, как «лёгочные проявления» при болезни Бехтерева.
Так ведь анкилозирующий спондилоартрит, более известный публике как болезнь Бехтерева виден тут в своей III ст. невооружённым глазом. Так что путь мой был недолгим. А что, в этом случае причастность туберкулёза к пневмоциррозу буржуины отрицают полностью? И гарантируют? — со своей стороны интересуюсь я.
Прямую ссылку на ТОТ сайт можно, Валентин Львович?
При болезни Бехтерева обнаруживаются избирательные поражения внесуставных тканей. Возможно развитие двустороннего верхушечного легочного фиброза и образование полостей, напоминающих туберкулез. В наблюдении В.Л.Катенёва, представленные изменения могут не иметь связи с туберкулёзом. Известно, что наряду с уменьшением гибкости позвоночника ограничивается подвижность суставов, связывающих ребра с грудными позвонками. Это приводит к нарушению дыхательных движений и ослаблению вентиляции легких, что может способствовать возникновению хронических легочных заболеваний. Следует поблагодарить автора за очень важную тему, которая расширяет кругозор врачей. С уважением Nik.
Как-то высоко слишком корни... Туберкулез?
Я тоже за туберкулез.
И, вот такая КТ - 1 скан.
Цирротические наслоения в верхних долях, но надо исключить и рачок, возможно он притаился за этими наслоениями. Наверное КТ, выставленное Валентином Львовичем, и даёт ответ на этот вопрос, но я в КТ не разбираюсь
Я тоже в КТ не разбираюсь
Поликаверноз верхних долей со всеми вытекающими последствиями.
Так может туберкулез верхних долей со всеми вытекающими!?
Да.Изменения туберкулезного характера.
Цирроз с 2-х сторон, но с учётом картины по КТ, изменения локализуются в передних отделах, что несколько нехарактерно для туберкулёза. Не исключал бы версию, аномалии развития лёгочной ткани, с исходом в цирроз.
Да, было такое мнение, что не любит Его Величество передних отделов (переднего сегмента), правда, потом это мнение было развеяно. Но рентгенологи старшего поколения цепляются за "это" - спереди - рачок-с, сзади - тубер.
Локализация пердняя настораживает.Следует не забывать о кистозной гипоплизии, но это маловероятно.
Саркоидоз. (один скан кт?!!)
Пневмоплевроцирроз верхних долей сомнений не вызывает, как и анкилозирующий спондилоартрит. А не мог тут г-н Бехтерев вмешаться и извратить привычный процесс протекания туберкулёза?
Неоднозначно всё
Интересно, как Вы, уважаемый Петрович, до Бехтерева дошли?
Бродил я, в очередной раз, по всевозможным обучающим ресурсам. Наткнулся на представленные картинки, подумал – «старый тубер» и, по всей видимости, как исход двустороннего фиброзно-кавернозного. Однако, все оказалось намного интереснее. Статья группы авторов (из буржуйских) была посвящена легочным проявлениям системных аутоиммунных заболеваний. Много интересного, из той статьи, я уже разместил на сайте «по темам» (ревматоидное лёгкое и др.). Эти картинки были озаглавлены, как «лёгочные проявления» при болезни Бехтерева.
Вот тебе и раз!!!
Так ведь анкилозирующий спондилоартрит, более известный публике как болезнь Бехтерева виден тут в своей III ст. невооружённым глазом. Так что путь мой был недолгим. А что, в этом случае причастность туберкулёза к пневмоциррозу буржуины отрицают полностью? И гарантируют? — со своей стороны интересуюсь я.
Прямую ссылку на ТОТ сайт можно, Валентин Львович?
Неоднозначно всё
При болезни Бехтерева обнаруживаются избирательные поражения внесуставных тканей. Возможно развитие двустороннего верхушечного легочного фиброза и образование полостей, напоминающих туберкулез. В наблюдении В.Л.Катенёва, представленные изменения могут не иметь связи с туберкулёзом. Известно, что наряду с уменьшением гибкости позвоночника ограничивается подвижность суставов, связывающих ребра с грудными позвонками. Это приводит к нарушению дыхательных движений и ослаблению вентиляции легких, что может способствовать возникновению хронических легочных заболеваний. Следует поблагодарить автора за очень важную тему, которая расширяет кругозор врачей. С уважением Nik.
Здравствуйте Nikolas!
Это не моё наблюдение, это буржуинов наблюдение из журнала.
http://radiographics.rsna.org/content/20/6/1623.full.pdf+html?sid=bd9df0...
уважаемый Валентин Львович! Просмотрел. Займусь поисками заболеваний легких при бол. Бехтерева в русской медицинской литературе. Ваш Nikolas.
Ну, если найдете, я надеюсь информацией поделитесь.
Я, сегодня выставил "цяцьку". Цяцька очень интересная и Вам почти по профилю. Название - "И, какие мнения будут по поводу этого случая?"