Вы здесь

Как всегда травма. Пациент направлен в рентгеновский кабинет.

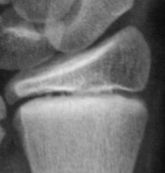
Травма. Пациент направлен хирургом в рентгеновский кабинет для рентгенологического исследования лучезапястного сустава.

ИзображениеИзображениеИзображениеИзображение

ИзображениеИзображениеИзображениеИзображение

Как будем характеризовать линию перелома коллеги?

Андрей Юрьевич аватар
Не на сайте
Был на сайте: 1 неделя 2 дня назад
Зарегистрирован: 16.11.2008 - 22:16
Публикации: 18098

Вот она - натуральная  "зеленая ветка"!!!

Андрей Юрьевич

Глазков Игорь Артурович аватар
Не на сайте
Был на сайте: 9 месяцев 2 недели назад
Зарегистрирован: 19.12.2008 - 20:41
Публикации: 1597

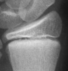
показательный снимок этого перелома

Прийди к Себе

Катенёв Валентин Львович аватар
Не на сайте
Был на сайте: 7 лет 3 недели назад
Зарегистрирован: 22.03.2008 - 22:15
Публикации: 54876

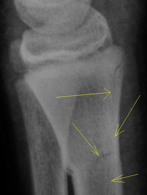
Дело в том, что в данном случае не одна а несколько линий перелома.

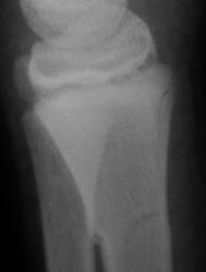
ИзображениеИзображение

Глазков Игорь Артурович аватар
Не на сайте
Был на сайте: 9 месяцев 2 недели назад
Зарегистрирован: 19.12.2008 - 20:41
Публикации: 1597

А ведь сразу и не заметил

Прийди к Себе

Петрович аватар
Не на сайте
Был на сайте: 7 лет 2 месяцев назад
Зарегистрирован: 22.03.2009 - 01:13
Публикации: 3908

   Кроме основного – "зеленая ветка" – другой недостоверен: может быть артефактом. На боковой рентгенограмме полоса слишком чёткая для нерезкого в целом снимка, похожа на полосы в области запястных костей. Там нет переломов? Подмигивает В прямой проекции обе линии принадлежат поднадкостничному перелому.

Неоднозначно всё