Уже в течение длительного времени, при обследовании "учтенных лиц" (по линии военкомата), при определении степени продольного плоскостопия, замечаю "проседание" наружного свода стопы на уровне ладьевидно-клиновидного сочленения. Интересно, с чем это связано? Возможно, с недостаточностью связочного аппарата?
Ваше мнение коллеги? О чём может свидетельствовать такое "проседание"? Весьма печально, что глубоко - и многоуважаемая статья 68 не только "обходит этот вопрос стороной", но даже и не упоминает о данном состоянии.
Валентин Львович! Я думаю, что это связано со слабостью связочного аппарата. Но, что с этим феноменом делать, с точки зрения ВВЭ, не представляю. По рентгенограммам мы можем только предполагать, что имеется слабость связочного аппарата. Как объективно оценить? Сами связки для исследования не доступны. Попрошу совета у Бориса Юрьевича.
dok
///...замечаю "проседание" наружного свода стопы на уровне ладьевидно-клиновидного сочленения./// Вернее будет <тыльного свода> или <тыльной границы свода>.
Валентин Львович и Владимир Васильевич, вы тут http://www.radiomed.ru/forum/voienkomat-ekspiertiza-mnieniia?page=3#comment-5562 предлагаете ///...отправной точной не "верхний край" суставной поверхности головки таранной кости, а верхний край шейки, друголй точкой - верхняя поверхность суммарного отображения клиновидных костей?/// для определения размеров "заострений". Боюсь 4 первые Р-гр данной публикации показывает несостоятельность такой методологии
Нет, пора пересматривать эти дурацкие приказы-инструкции. Особенно мне не понятно ///основным показателем является высота свода, а не угол///, если писавшим известны основы геометрии, математики, хочется спросить почему не учитывается зависимость высоты свода от размера стопы. Т.е., если у великана ростом 2.05 м, размер обуви - 47 угол свода 170 градусов и высота 20 мм, при отсутствии артроза, другой патологии, будет 2 ст.?
Зри в корень!
Уважаемый Владимир Борисович! По вопросам пересмотра приказов и инструкций обращение несколько не по адресу. Имеется Постановление Правительства РФ № 123, Приказ МО РФ № 200. Постановления и приказы не обсуждаются, а исполняются. Я уже писал в своих постах, что данные руководящие документы очень "сырые" (впрочем, по моему субъективному мнению, как и большинство Указов, Постановлений РФ). Имеется масса недоработок в результате которых, возникает масса разночтений.
Угол и высота свода. Согласен, простая геометрия. При одинаковой высоте свода в 25 мм у индивидума с 38 размером обуви и с 46 размером обуви (разная длина стопы) будет разный угол свода. Вопрос: какой показатель более объективный? Мой ответ и ответ ГВМУ - высота свода! Вывод очевиден. Для более достоверной статистики берется показатель наименее подверженный колебаниям в популяции. Это уже математика и статистика.
Каждый человек индивидуален. И с каждым призывником необходимо работать индивидуально. То, что изложено, к примеру в "Рентгенологических аспектах ВВЭ" - это среднестатистические, наиболее часто встречающиеся варианты рентгенологической картины. Но есть масса ньюансов рентгенологической картины, которые необходимо учитывать при описании рентгенограмм и вынесении экспертного заключения по ней. В рекомендациях, методических указаниях учесть их все невозможно. Вот в этих случаях и должно проявлятся исусство и мастерство врача-рентгенолога. Чуствуете, что у пациента имеется артроз 2-й стадии, найдите его и докажите объективно. Дополнительно выполните прямые рентгенограммы стоп, мало - косые.
dok
В.В. Ермолаев: "Вот в этих случаях и должно проявлятся исусство и мастерство врача-рентгенолога. Чуствуете, что у пациента имеется артроз 2-й стадии, найдите его и докажите объективно. Дополнительно выполните прямые рентгенограммы стоп, мало - косые".
Верно. Возразить нечего. А если с учетом того, что любая анатомическая область должна быть исследована в двух проекциях, то наверно наиболее рациональный стандарт, именно при этих исследованиях.
Не стоит забывать и клинику, это самое "чувствуете...", чаще всего на этом и основывается.
Я задал этот вопрос военным коллегам врачам-рентгенологам с учетом следующего:
1. В течение довольно длительной работы врачом-рентгенологом я отметил для себя, что у некоторых, как "учтенных лиц", направляемых на исследования "по линии военкомата" для определения степени провольного плоскостопия, так и у их сверстников женского пола, отмечается проседание (по тылу стопы) на уровне ладьевидно-клиновидного сустава, реже на уровне таранно ладьевидного сустава. Такое состояние, я предполагал, можно объяснить функциональной несостоятельностью связочного аппарата тыла стопы.
2. В других случаях, с точностью до "наоборот" фиксировалось "возвышение" верхнего края ладьевидной кости, над "верхними контурами" головки таранной и медиальной клиновидной костей. Это состояние, именно для себя, я объяснил именно "гипертонусом" связочного аппарата по тылу стопы, именно в данном месте (хотя это теоретически неверно).
3. Практика показала, что при наличии, упомянутого "проседания", прогрессирование продольного плоскостопия будет обязательно и данное прогрессирование будет характеризоваться "весьма быстрым темпом".
Извиняюсь что несколько не по теме, но вопрос: рост 192, стопа 44 размера
При измерении плоскостопия дичайший разброс от учреждения к учреждению, от 148 до 157 градусов.
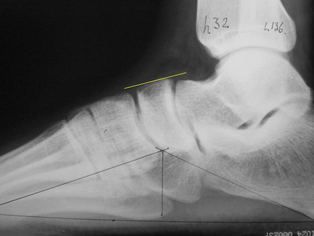
Есть расчерченный снимок. Завтра в военкомат. Вопрос, что очень сильно меня волнует: правильно или же неправильно он расчерчен?
vzl2lqh0m0o.jpg