Пациент лечится в "другом лечебном учреждении", но снимки делает "по месту жительства", по направлению лечащего врача.
Мнения, как это довольно часто бывает, "разошлись". Хотелось - бы услышать Ваше мнение, как специалиста травматолога и мнения коллег по:
- процессу консолидации;
- удовлетворительности (неудовлетворительности) сопоставления костных отломков.
А что за метод операции? никогда такого не видел, наши травматологи-ортопеды такой не используют.
Продольная ось костьи нарушена, однако диастаз отломков незначительный, консолидация не выражена, но срастется обязательно, если не будет вторичного смещения.
Ждем с других мнений...
Уважаемый OPEXOB прав, в данном случае имеет место вторичное смещение отломков, фиксация отломков проведенная этой методикой неадекватная. Видно, в какой то момент было захождение дистального отломка по длине, почему это произошло это уже момент случая, впринципе признаки консолидации умеренно выражены. Вот только одно Валентин Львович смущает есть критерии рентген-контроля которые указываются травматологом с целью отценки признаков консолидации и исключения вторичного смещения, этот случай видимо исключение.
Кстати уважаемый OPEXOB почему вас смутила данная методика, она вам известна, обычно фиксируют L- или Т- образными пластинами с винтами, просто в этом случае это более дешевле, т.е. с экономили.
"Знаешь, у некоторых врачей есть комплекс мессии — им необходимо спасать мир. А у тебя комплекс Рубика — тебе необходимо решать головоломки."
Катенев: Пациент лечится в "другом лечебном учреждении",..
На каком уровне ЦРБ/ГБ? Для ЦРБ может и сойти, для ГБ - сомнительно, такие переломы надо спец. пластинами с шурупами фиксировать. В общем не люкс, но результат можно считать приемлемым: стояние отломков удовлетворительное (небольшое захождение), формируется костная мозоль. Для полного счастья не хватает бокового снимка (хотя бы через грудную клетку, можно попытаться кассету под мышку засунуть, дополнительно луч скосить - перелом достаточно "низкий").
Зри в корень!
А это случайно не недавний случай где было ущемление мягких тканей и также смещение отломков, но тогда не было металлических конструкций? Тогда подобный случай вызвал много споров о ошибке травматологов.
В.Б. Серов.
Уровень ОКБ.
Николай.
Нет, это не тот случай.
Я зна. про методики металлоостеосинтеза, но такую "конструкцию" вижу впервые.
А вопрос в дешевизне, глупость, за пластины и шурупы кто платит? врач? потом все равно вытаскивать.
Доброго время суток.
Методика остеосинтеза действительно не "общеупотребительна". Есть методика остеосинтеза проксимальных переломов плеча спицами, но там спицы несколько другие. Однако, как говорят, победителей не судят - стояние отломков для данного перелома вполне допустимое. Костная мозоль есть, перелом срастается. Всё должно быть хорошо.
Спасибо Вега.
Пациентка в 2006 году находилась в ЛПУ по поводу перелома бедренной кости (шеечный). Выписана из стационара. Со слов пациентки перелом консолидировался. В течение 2-х лет пациентка обращалась по поводу "неудобства при ходьбе" и "каких-то болей" (цит. пациентка). К нам попала случайно. С направлением на рентгенографию тазобедренного сустава, явилась на исследование. Диагноз стандартный - "Деформирующий артроз". Пациентка молодая, здоровая женщина, с хорошо развитой мускулатурой, несколько тянет ножку, совершая определенное усилие.
Произвели рентгенограмму в прямой стандартной проекции и "онемели".
"Знаешь, у некоторых врачей есть комплекс мессии — им необходимо спасать мир. А у тебя комплекс Рубика — тебе необходимо решать головоломки."
Да уж, действительно, есть от чего "онеметь"
. Самостоятельно ходить с таким переломом 2 года - это надо суметь. "Есть женщины в русских селениях..."©
Перелом год тому.
Снимок произведен два дня тому.
Хм..Аналогичная ситуация
"Знаешь, у некоторых врачей есть комплекс мессии — им необходимо спасать мир. А у тебя комплекс Рубика — тебе необходимо решать головоломки."
Пациент направлен на рентгенографию лучезапястного сустава. Произведена рентгенография.
Ни очень приятный переломчик, скорее всего должна быть повторная репозиция отломков лучевой кости через 10 дней, по-скольку сохраняется смещение.
"Знаешь, у некоторых врачей есть комплекс мессии — им необходимо спасать мир. А у тебя комплекс Рубика — тебе необходимо решать головоломки."
Не убежден, что смешение по ширине до 1/4 ширины кости влечет необходимость повторной репозиции. Угловое смещение устранено, ось кости восстановлена, пациент юн. Заживет как на собаке
Андрей Юрьевич
Смещение в пределах допустимого. Повторная репозиция не требуется. Хотя, конечно, для правильной оценки необходима строго боковая проекция, иначе потом, сняв гипс, можно сильно удивиться
Травма. Пациент направлен на рентгенографию лучезапястного сустава.
Картина неоднозначная, но поднадкостничный перелом н/3 диафиза лучевой кости я бы написал. Структура сохранена, но есть "уступчики".
Андрей Юрьевич
Перелом луча в н/3.
Травма. Направлен на рентгенографию плечевого сустава.
Посмотреть бы вторую проекцию...
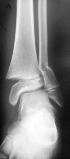
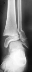
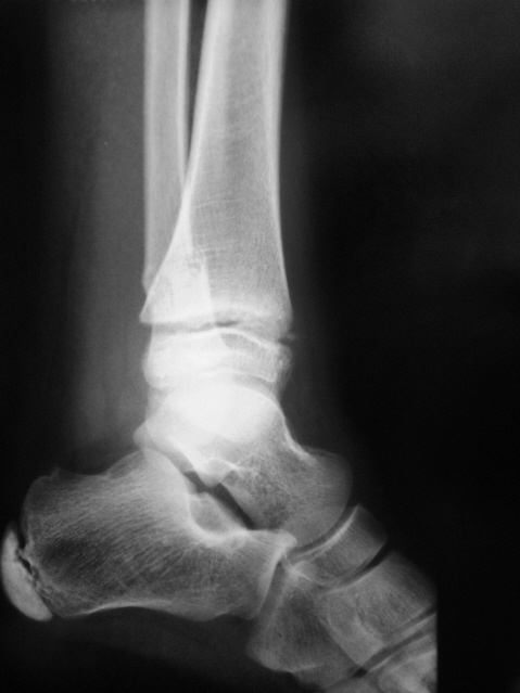
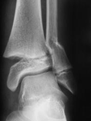
Направлен пациент хирургом для рентгенографии голеностопного сустава.
Что посоветуете уважаемые коллеги?
Согласен с Вами, коллега, без эндопротезирования здесь не обойтись.
Эээ... Простите. Без эндопротезирования голеностопного сустава? По поводу последнего случая?
По всей видимости, это по поводу тазобедренных суставов.