Вы здесь

Коллеги! Прошу Вас высказать мнения.

ИзображениеИзображениеИзображение

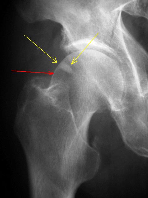
Косой перелом правой тазовой кости без смещения отломков. С момента травмы прошло около 1,5-2,0 месяцев. Пациент направлен "на контрольное исследование".

ИзображениеИзображение

В верхнем наружном секторе головки бедренной кости визуализируется участок уплотнения вытянутой треугольной формы. Участок помечен желтыми стрелками. Рядом дифференцируется участок просветления - помечен красной стрелкой.

ИзображениеИзображение

Возник вопрос о субстрате "уплотнения" и "просветления".

УВАЖАЕМЫЕ КОЛЛЕГИ!   Какое Ваше будет мнение по "поводу субстрата".

Заранее благодарен за высказанные мнения.

 

flagman аватар
Не на сайте
Был на сайте: 11 лет 5 месяцев назад
Зарегистрирован: 05.06.2008 - 20:08
Публикации: 83

Может эндостальное омозоление перелома шейки бедра?

Катенёв Валентин Львович аватар
Не на сайте
Был на сайте: 7 лет 3 недели назад
Зарегистрирован: 22.03.2008 - 22:15
Публикации: 54876

Ранее переломов не было.

Ермолаев аватар
Не на сайте
Был на сайте: 8 лет 10 месяцев назад
Зарегистрирован: 07.02.2009 - 16:33
Публикации: 670

Валентин Львовим! По моему мнению имеет место кистовидная перестройка костной ткани, как проявление артроза тазобедренного сустава 3-й стадии. Стояние отломков удовлетворительное. Умеренно выраженная эндооссальная костная мозоль.

dok

Dr.Mario аватар
Не на сайте
Был на сайте: 11 лет 1 месяц назад
Зарегистрирован: 06.08.2008 - 08:44
Публикации: 920

А почему бы не эностоз? (bone island)

Let me see...

radiographia.ru

Ермолаев аватар
Не на сайте
Был на сайте: 8 лет 10 месяцев назад
Зарегистрирован: 07.02.2009 - 16:33
Публикации: 670

Возможно! С возрастом может быть что угодно.

dok

В.Б. Серов аватар
Не на сайте
Был на сайте: 1 неделя 5 дней назад
Зарегистрирован: 16.07.2008 - 10:15
Публикации: 1361

Эностоз? Я за! Но он какой-то секторально-треуголный, мож какая-то функциональная перестройка структуры, в любои случае (ИМХО) это случайная находка.

Зри в корень!