Вы здесь

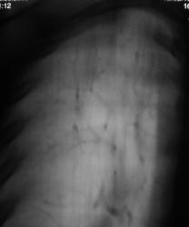
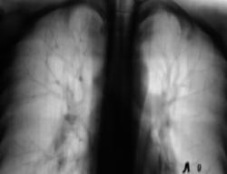
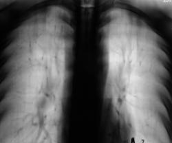
Контроль после флюорографии. Очаговый туберкулёз.

После расшифровки флюорограмм пациент "взят на контроль". Произведено стандартное дообследование.

ИзображениеИзображениеИзображение

ИзображениеИзображениеИзображение

ИзображениеИзображениеИзображение

ИзображениеИзображение

Ваше мнение коллеги?

Alex аватар
Не на сайте
Был на сайте: 3 года 6 месяцев назад
Зарегистрирован: 19.06.2009 - 16:43
Публикации: 174

А вот и не скажу, Валентин Львович, я уже ученый. А то опять до свержения общественно-политического строя доберемся к концу обсуждения... Может Шлева Юнделич ответит?

Ермолаев аватар
Не на сайте
Был на сайте: 8 лет 10 месяцев назад
Зарегистрирован: 07.02.2009 - 16:33
Публикации: 670

Валентин Львович! Помятуя о весьма не благополучной обстановке по tbc в Белгородской области, остановился бы на очаговом tbc верхней доле слева в стадии инфильтрации!

dok

Катенёв Валентин Львович аватар
Не на сайте
Был на сайте: 7 лет 3 недели назад
Зарегистрирован: 22.03.2008 - 22:15
Публикации: 54876

Фтизиатры с "очаговым" забрали себе.