Вы здесь

Контроль после флюорографии. Прошу совета.

После расшифровки флюорограмм пациентка "взята на контроль" с учетом "изменений" на правой верхушке. Жалоб никаких, флюорографию проходила планово - преподаватель в школе.

Произведена рентгенография в прямой стандартной проекции.

ИзображениеИзображениеИзображение

Произведена линейная томография в прямой проекции в "стандартных срезах". Приводятся томограммы "без обработки" и "с усилением изображения".

1 срез.

ИзображениеИзображениеИзображение

ИзображениеИзображение

2 срез.

ИзображениеИзображениеИзображение

ИзображениеИзображениеИзображениеИзображение

3 срез.

ИзображениеИзображениеИзображение

Что посоветуете уважаемые коллеги?

 

aries аватар
Не на сайте
Был на сайте: 9 лет 3 недели назад
Зарегистрирован: 24.08.2009 - 00:54
Публикации: 1

Не вижу изменений.  

Для исключения очагов рекомендую рентгенограмму верхушек в задне-наклонной проекции.

Тарелка аватар
Не на сайте
Был на сайте: 10 лет 6 месяцев назад
Зарегистрирован: 23.06.2008 - 23:11
Публикации: 108

Я тоже

Катенёв Валентин Львович аватар
Не на сайте
Был на сайте: 7 лет 5 месяцев назад
Зарегистрирован: 22.03.2008 - 22:15
Публикации: 54876

Спасибо за комментарии.

Однако имеются вопросы.

1. Чем объясним снижение прозрачности в медиальных отделах верхушечного сегмента справа?

ИзображениеИзображение

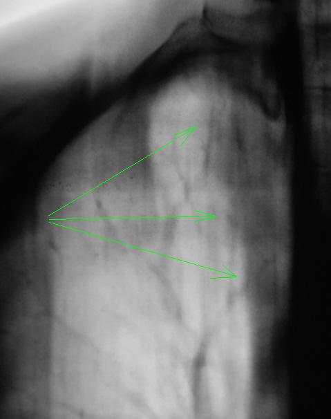
2. А на правой верхушке, помеченное зелеными стрелками - это очаги?

ИзображениеИзображение

ИзображениеИзображение

3. А слева, на уровне 1 ребра и 1 межреберья, помеченное красными стрелками и желтыми стрелками - это не очаги?

Изображение

ИзображениеИзображение

Almo аватар
Не на сайте
Был на сайте: 10 часов 13 минут назад
Зарегистрирован: 28.09.2008 - 18:50
Публикации: 8304

Соглашусь с уважаемыми коллегами, по-моему в верхушках норма. То, что показываете Вы Валентин Львович, это тени мышц( такие же "заморочки" в работе  бывают часто- раньше брал пациентов за экран и просил покашлять- если очаги в легочной ткани они будут "прыгать" за экраном). Небольшой совет начинающим врачам- что бы минимизировать у себя в работе от подобных "червей сомнения", советую изучить возможные тени нормальных анатомических структур органов грудной клетки, которые могут "симулировать" патологию со стороны огранов грудной клетки(книги Помельцова и Розенштрауха Л.С.) 

OPEXOB аватар
Не на сайте
Был на сайте: 10 лет 4 месяцев назад
Зарегистрирован: 26.07.2008 - 10:02
Публикации: 280

Соглашусь с вышеописанным мнением коллег, патологии на данных сканах нет.

Сейчас в наше время, когда экология стоит на последнем месте для начальства трудно отыскать абсолютную норму, у каждого из нас можно накопать множество вопросов по рентгенограммам.

Пишите - патологии органов грудной клетки не выявлено.