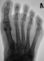
Катенёв Валенти... Дата публикации 25.05.2009, 19:02 Пациентка направлена хирургом в рентгеновский кабинет для рентгенографии стопы с целью "фиксации" процесса заживления (консолидации) косого перелома проксимальной фаланги 5 пальца левой стопы. Ваше мнение коллеги? Пнд, 25/05/2009 - 22:20 #1 OPEXOB Не на сайте Был на сайте: 9 лет 11 месяцев назад Зарегистрирован: 26.07.2008 - 10:02 Публикации: 280 Добавлю: перелом "внутрисуставной", "дистального эпифиза" и оскольчатый.
Добавлю: перелом "внутрисуставной", "дистального эпифиза" и оскольчатый.