Вы здесь

Линейная томография себя исчерпала? А может быть это заблуждение? Контроль после флюорографии № 7. Случай № 1.

Пациент после расшифровки флюорограмм "взят на контроль" с учетом тени правого корня.

7.JPG
7.JPG

 

 

 

 

 

 

 

 

 

 

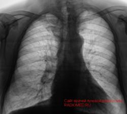
Произведена рентгенография в прямой стандартной проекции.

1.JPG
1.JPG
2.JPG
2.JPG

 

 

 

 

 

 

 

 

 

 

 

 

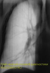
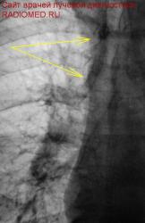
Очень смутило перибронхиальное уплотнение, помеченное жёлтыми стрелками.

3.jpg
3.jpg
4.jpg
4.jpg

 

 

 

 

 

 

 

 

 

 

 

 

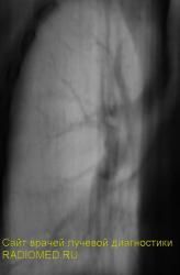
Не обрадовала и боковая проекция.

5.JPG
5.JPG
6.JPG
6.JPG

 

 

 

 

 

 

 

 

 

 

 

 

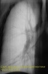
Произведена томография. Смутила нечеткость контура трахеи и частично главного бронха, а также "перитрахеальное уплотнение"

9.JPG
9.JPG
10.jpg
10.jpg
11.JPG
11.JPG
8.JPG
8.JPG

 

 

 

 

 

 

 

 

 

 

 

 

 

На следующем томографическом срезе четко дифференцируется "стелющееся объемное образование трахеи" с переходом на главный бронх и с распространением "опухолевого роста" за пределы стенки трахеи.

14.jpg
14.jpg
12.jpg
12.jpg
13.jpg
13.jpg

 

 

 

 

 

 

 

 

 

 

 

Следующий срез.

15.jpg
15.jpg
16.JPG
16.JPG
17.jpg
17.jpg

 

 

 

 

 

 

 

 

 

 

 

Следующий срез.

18.jpg
18.jpg
19.JPG
19.JPG
20.jpg
20.jpg

 

 

 

 

 

 

 

 

 

 

 

 

ВАШЕ МНЕНИЕ УВАЖАЕМЫЕ КОЛЛЕГИ?

 

ВложениеРазмер
Иконка изображения 1.JPG109.35 КБ
Иконка изображения 2.JPG105.24 КБ
Иконка изображения 3.jpg45.63 КБ
Иконка изображения 4.jpg28.21 КБ
Иконка изображения 5.JPG99.79 КБ
Иконка изображения 6.JPG112.97 КБ
Иконка изображения 7.JPG104.71 КБ
Иконка изображения 9.JPG76.56 КБ
Иконка изображения 10.jpg108.58 КБ
Иконка изображения 11.JPG32.46 КБ
Иконка изображения 8.JPG74.36 КБ
Иконка изображения 14.jpg78.75 КБ
Иконка изображения 12.jpg90.98 КБ
Иконка изображения 13.jpg33.1 КБ
Иконка изображения 15.jpg116.1 КБ
Иконка изображения 16.JPG90.81 КБ
Иконка изображения 17.jpg35.74 КБ
Иконка изображения 18.jpg98.97 КБ
Иконка изображения 19.JPG93.6 КБ
Иконка изображения 20.jpg77.28 КБ
Alex аватар
Не на сайте
Был на сайте: 3 года 6 месяцев назад
Зарегистрирован: 19.06.2009 - 16:43
Публикации: 174

В ваших руках, Валентин Львович, линейная томография, конечно же себя не исчерпала. Замечательные иллюстрации. Но..., РКТ на последующем этапе - это не блажь, а необходимость. Надо ведь знать не только о наличии опухоли, но и о многом другом, о чем не может сказать линейная томография.

Катенёв Валентин Львович аватар
Не на сайте
Был на сайте: 7 лет 3 недели назад
Зарегистрирован: 22.03.2008 - 22:15
Публикации: 54876

Спасибо за комментарий Алекс.

Катенёв Валентин Львович аватар
Не на сайте
Был на сайте: 7 лет 3 недели назад
Зарегистрирован: 22.03.2008 - 22:15
Публикации: 54876

Уважаемый Алекс!

Я никогда не был против КТ, МРТ, СКТ - "высоких технологий в лучевой диагностике". Я даже всегда, с определенным трепетом, относился к свециалистам (г. Воронеж), которые, лет 10 тому в прекрасном диагностически центре начали вводить "эти технологии" в практику. Первое впечатление было "умопомрачительное". Но действительность показывает, что удельный вес оснащенности практического здравоохранения "рутинной рентгенодиагностической аппаратурой" весьма велик, и весьма жаль, что все возможности рутинной рентгенологии используются в недостаточном объёме, и расчет - "а у нас есть КТ, СКТ, МРТ", "чего мы будем возиться" внес свою достойную лепту в создание искусственных очередей на эти нужные и незаменимые исследования и эта ситуация не приблизила эти "высокие технологии" к действительно нуждающимся пациентам, а только отдалило их от них. Субъективизм, некоторых наших коллег клиницистов - "Давайте лучше сделаем КТ грудной клетки, вместо рентгенографии" (необоснованность назначения дагнных методов), также способствовал отдалению этих ценных методик, от действительно нуждающихся в них пациентов. Вы прекрасно понимаете Алекс, что некоторые лица, очень заинтересованы в том, что пусть будет "маленькая", но очередь, ибо "взять или не взять" будет в зависимости от врача, а возможно даже от лаборанта, обслуживающих эту очередь, а соответственно и возникает дополнительная функция, ничего общего с диагностикой не имеющая. 

Alex аватар
Не на сайте
Был на сайте: 3 года 6 месяцев назад
Зарегистрирован: 19.06.2009 - 16:43
Публикации: 174

"Субъективизм, некоторых наших коллег клиницистов - "Давайте лучше сделаем КТ грудной клетки, вместо рентгенографии"...

Ничего уже не поделать, Валентин Львович. Вы имеете подготовку старой школы рентгенологов и можете выжать почти всё из имеющегося у Вас оборудования. Там, где есть РКТ о линейной томографии уже забыли(себя тоже имею в виду). Молодых наших коллег-клиницистов уже учат по другим стандартам, среди них уже практически нет места для линейной томографии. Их учителя, опираясь на мировой опыт (а не на наш советский-постсоветский), ориентируют клиницистов на УЗИ, КТ, МРТ и т.д. (и их трудно обвинить в этом). Ну, а до реалий жизни разве когда-нибудь было дело нашей образовательной системе, ди и не только ей? Так что мест, где можно освоить-поучиться линейной томографии всё меньше и меньше, как и рентгенологов старой школы... Я лично почти с ностальгией смотрю представляемые Вами томограммы...

v1tal аватар
Не на сайте
Был на сайте: 4 года 9 месяцев назад
Зарегистрирован: 07.06.2008 - 19:41
Публикации: 1779

Хм.. Уважаемый коллега Alex, я вот уже год как работаю после специализации, меня наверно можно отнести к новому поколению рентгенологовУлыбаюсь. Но мои коллеги в отделении всё ещё продолжают воевать со мной по поводу линейных томограмм,  я считаю за чем использовать дорогостоющую методику диагностики и ценное время за которое можно поглядеть действительно нуждающегося человека, если все и так бывает ясно. У нас же в клинике у клиницыстов принцып они уже на КТ и МРТ направляют как на флюорографию, и без этого ни чего не могут сделать, вообщем полностью зависят от "параклинники". Надо уметь отценивать ситуации где "надо" а где и "не надо". А я делал, делаю и буду делать линейные томограммы(так меня учили) и только потом направлять на МСКТ-исследования или МРТ-исследования, при непонятной ситуации.

"Знаешь, у некоторых врачей есть комплекс мессии — им необходимо спасать мир. А у тебя комплекс Рубика — тебе необходимо решать головоломки."

Alex аватар
Не на сайте
Был на сайте: 3 года 6 месяцев назад
Зарегистрирован: 19.06.2009 - 16:43
Публикации: 174

Между нами, коллега V1tal, нет противоречий. Если Вы обратили внимание, я писал о подготовке молодых врачей-клиницистов. Их учили уже по другим стандартам (Ваш пост это и подтверждает), не взирая на то, что оборудования для выполнения таких стандартов пока недостаточно (и в обозримом будущем также будет недостаточно). Вас же рентгенологи учили и учили правильно. Конечно, надо максимально эффективно использовать то, что есть под рукой. Но, мой Вам совет, не оставляйте неразрешёнными любые Ваши сомнения и, если есть возможность, направляйте пациентов на КТ, МРТ (не бойтесь отрицательных результатов, с годами их будет всё меньше и меньше).

Ola-la аватар
Не на сайте
Был на сайте: 10 месяцев 2 недели назад
Зарегистрирован: 06.12.2008 - 09:33
Публикации: 1786

А я хоть и не молодой специалист (рентгеновский стаж 10 лет), но за свою практику сделала, от силы, томограмм 5 Ужасно стыдно, абсолютно не умею их делать.

lushev аватар
Не на сайте
Был на сайте: 11 лет 10 месяцев назад
Зарегистрирован: 23.03.2008 - 18:43
Публикации: 37

Извините,а почему  так мало? Есть места где даже линейные томоприставки не работают!Но если в действии,и рядом нет КТ,то просто грех их не использовать