Здравствуйте, уважемый Валентин Львович! У меня несколько вопросов.
1. Кто расшифровывал флюорографию, врач-рентгенолог?
2. Какую дополнительную информацию хотели получить (по-видимому НЕ НОРМА была выявлена при флюрографии?), рекомендовав рентгенографию в ПРЯМОЙ проекции, но не рекомендовав БОКОВУЮ?
3. Какой дальнейший алгоритм обследования? Полагаю, рентгенография в боковой проекции, линейная или компьютерная томография.
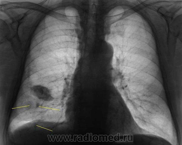
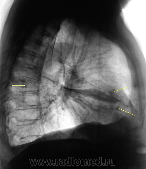
Флюорограмму расшифровывал врач того учреждения, откуда флюорограф, ну и рекомендацию "что сделать" - от туда. Но с учетом наличия синдрома "затемнения вне анатомических границ", конечно, лаборанты сделали и боковую, а уже только после этого пригласили "нашего" врача-рентгенолога "для принятия решения".
Да, мне повезло с лаборантами и я всегда, это подчеркиваю. Когда администрация ЛПУ спрашивает - "Кого будем премировать?", я говорю, что у меня все лаборанты "достойные работники" и все достойны поощрения. Но работающие лаборанты "мои" все стали "лаборантами" от 2-х до 3-х лет тому, все они ранее были "медсестрами" и не могли найти работы. А значит, моим "милым лаборантам" повезло "со мной", ибо любовь и дружба процесс обоюдный, и это дает свои положительные плоды.
Да, мне повезло с лаборантами и я всегда, это подчеркиваю. Когда администрация ЛПУ спрашивает - "Кого будем премировать?", я говорю, что у меня все лаборанты "достойные работники" и все достойны поощрения. Но работающие лаборанты "мои" все стали "лаборантами" от 2-х до 3-х лет тому, все они ранее были "медсестрами" и не могли найти работы. А значит, моим "милым лаборантам" повезло "со мной", ибо любовь и дружба процесс обоюдный, и это дает свои положительные плоды.
Данное утверждение бесспорно, но в данном случае повезло пациенту...
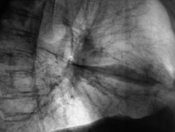
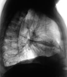
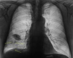
Я пока, это никак не трактую. Случай сегодняшний, думаю. Может коллеги, чего подскажут. Вот и последний срез. Подумываю, что в наличии и "базальный" выпот.
Пациент прибыл сегодня в районе 13 часов. После того, как лаборанты произвели прямой и боковой, я пошел (перед томографией) общаться с пациентом. Пациент пожилой человек, из одного из дальних сел, жалоб не предъявляет. Но по поводу жалоб, понятие весьма "растяжимое", они сельские жители, зачастую, и при наличии вывиха головки плечевой кости жалоб тоже не предъявляют. Удалось выяснить, что есть кашель, но пациент объясняет наличие кашля тем, что много курит. О температуре можно не заикаться, они её просто не меряют. Вот и все. Анализ крови - полная эфимера. Если не надумаю, позвоню участковому терапевту, чтобы произвели общеклинические исследования.
Здравствуйте, уважемый Валентин Львович! У меня несколько вопросов.
1. Кто расшифровывал флюорографию, врач-рентгенолог?
2. Какую дополнительную информацию хотели получить (по-видимому НЕ НОРМА была выявлена при флюрографии?), рекомендовав рентгенографию в ПРЯМОЙ проекции, но не рекомендовав БОКОВУЮ?
3. Какой дальнейший алгоритм обследования? Полагаю, рентгенография в боковой проекции, линейная или компьютерная томография.
4. Чем обусловлен выбраный алгоритм?
"самоуверенность дилетантов - предмет зависти профессионалов"
Здравствуйте tatyana !
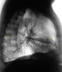
Флюорограмму расшифровывал врач того учреждения, откуда флюорограф, ну и рекомендацию "что сделать" - от туда. Но с учетом наличия синдрома "затемнения вне анатомических границ", конечно, лаборанты сделали и боковую, а уже только после этого пригласили "нашего" врача-рентгенолога "для принятия решения".
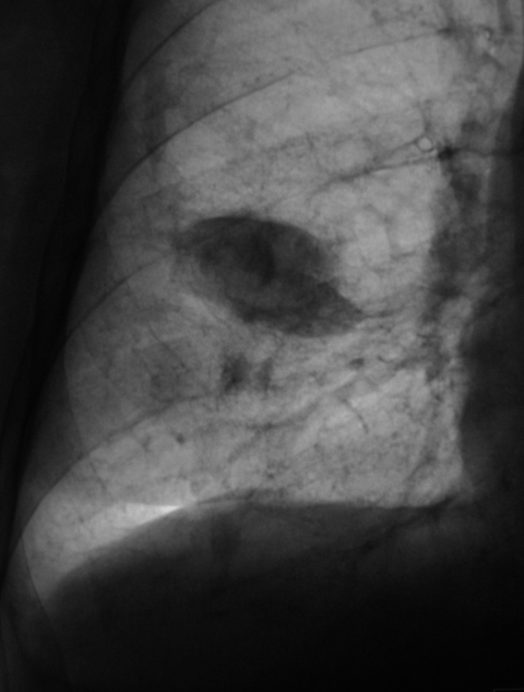
И фрагмент с увеличением. Что посоветуете tatyana ?
Конечно, я понимаю, что должна быть проведена д/д между "осумковнным выпотом" и "швартообразующим процессом". Что посоветуете?
Повезло с лаборантами!.. Поскольку, помимо междолевого ограниченого плеврита, мне мерещатся еще очаги в легком, посоветую КТ
"самоуверенность дилетантов - предмет зависти профессионалов"
tatyana; " Повезло с лаборантами!.. "
Да, мне повезло с лаборантами и я всегда, это подчеркиваю. Когда администрация ЛПУ спрашивает - "Кого будем премировать?", я говорю, что у меня все лаборанты "достойные работники" и все достойны поощрения. Но работающие лаборанты "мои" все стали "лаборантами" от 2-х до 3-х лет тому, все они ранее были "медсестрами" и не могли найти работы. А значит, моим "милым лаборантам" повезло "со мной", ибо любовь и дружба процесс обоюдный, и это дает свои положительные плоды.
Данное утверждение бесспорно, но в данном случае повезло пациенту...
А как Вы трактуете это?
"самоуверенность дилетантов - предмет зависти профессионалов"
Я пока, это никак не трактую. Случай сегодняшний, думаю. Может коллеги, чего подскажут. Вот и последний срез. Подумываю, что в наличии и "базальный" выпот.
Базвальный выпот, на мой взгляд, есть. А клиника какая7
"самоуверенность дилетантов - предмет зависти профессионалов"
Пациент прибыл сегодня в районе 13 часов. После того, как лаборанты произвели прямой и боковой, я пошел (перед томографией) общаться с пациентом. Пациент пожилой человек, из одного из дальних сел, жалоб не предъявляет. Но по поводу жалоб, понятие весьма "растяжимое", они сельские жители, зачастую, и при наличии вывиха головки плечевой кости жалоб тоже не предъявляют. Удалось выяснить, что есть кашель, но пациент объясняет наличие кашля тем, что много курит. О температуре можно не заикаться, они её просто не меряют. Вот и все. Анализ крови - полная эфимера. Если не надумаю, позвоню участковому терапевту, чтобы произвели общеклинические исследования.
Направьте на КТ или к онкологам, что на Ваш взгляд быстрее и предпочтительнее...
"самоуверенность дилетантов - предмет зависти профессионалов"
Спасибо за совет. К онкологам получится быстрее.