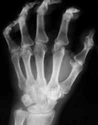
Катенёв Валенти... Дата публикации 25.06.2009, 00:50 Пациент направлен терапевтом в рентгеновский кабинет "на рентгенографию кистей", с диагнозом "Ревматоидный артрит". Ваше мнение коллеги? Чт, 25/06/2009 - 07:54 #1 Андрей Юрьевич Не на сайте Был на сайте: 2 недели 2 дня назад Зарегистрирован: 16.11.2008 - 22:16 Публикации: 18098 Сложно сказать, нет решающего рентген-признака: периартикуллярного остеопороза. В данном случае надежда на лабораторные данные, это ведь и подагрой (см. ниже http://www.radiomed.ru/cases/podaghrichieskii-artrit ) может быть. Андрей Юрьевич Чт, 25/06/2009 - 18:13 #2 OPEXOB Не на сайте Был на сайте: 9 лет 11 месяцев назад Зарегистрирован: 26.07.2008 - 10:02 Публикации: 280 Ревматоидный полиартрит, 4 рентгенологическая стадия. Судя по положению кистей, особенно дистальных фаланг имеет место контрактура данных сочленений. Анализы? СОЭ? Клиника? Чт, 25/06/2009 - 18:45 #3 Андрей Юрьевич Не на сайте Был на сайте: 2 недели 2 дня назад Зарегистрирован: 16.11.2008 - 22:16 Публикации: 18098 ///Анализы? СОЭ? Клиника?/// Выходит Петр. Он ужасен, Движенья быстры, Он прекрасен, Он весь как божия гроза (с) Андрей Юрьевич Чт, 25/06/2009 - 19:20 #4 OPEXOB Не на сайте Был на сайте: 9 лет 11 месяцев назад Зарегистрирован: 26.07.2008 - 10:02 Публикации: 280 Ха,ха, очень смешно!
Сложно сказать, нет решающего рентген-признака: периартикуллярного остеопороза. В данном случае надежда на лабораторные данные, это ведь и подагрой (см. ниже http://www.radiomed.ru/cases/podaghrichieskii-artrit ) может быть.
Андрей Юрьевич
Ревматоидный полиартрит, 4 рентгенологическая стадия. Судя по положению кистей, особенно дистальных фаланг имеет место контрактура данных сочленений.
Анализы? СОЭ? Клиника?
///Анализы? СОЭ? Клиника?/// Выходит Петр. Он ужасен, Движенья быстры, Он прекрасен, Он весь как божия гроза (с)
Андрей Юрьевич
Ха,ха, очень смешно!