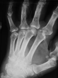
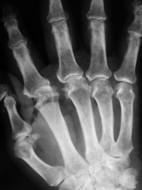
Катенёв Валенти... Дата публикации 03.07.2009, 23:53 Пациент направлен в рентгеновский кабинет "для рентгенографии кистей" терапевтом с диагнозом "Ревматоидный артрит". Произведены рентгенограммы. Ваше мнение коллеги? Сб, 04/07/2009 - 00:59 #1 Петрович Не на сайте Был на сайте: 7 лет 2 месяцев назад Зарегистрирован: 22.03.2009 - 01:13 Публикации: 3908 Для полноценной диагностики "Ревматоидного артрита" маловато представлено костей запястья. А из того, что представлено видна Подагра. Или нет? Неоднозначно всё Сб, 04/07/2009 - 12:12 #2 Ермолаев Не на сайте Был на сайте: 8 лет 10 месяцев назад Зарегистрирован: 07.02.2009 - 16:33 Публикации: 670 Соглашусь с мнением Петровича! Больше похоже на подагрический артрит. dok Вс, 05/07/2009 - 01:12 #3 OPEXOB Не на сайте Был на сайте: 9 лет 11 месяцев назад Зарегистрирован: 26.07.2008 - 10:02 Публикации: 280 Господа, мнения разделились. Поясните, кто что видит, а не окончательный диагноз. Подагра? где тофусы, "пробойники". Вс, 05/07/2009 - 12:31 #4 Ермолаев Не на сайте Был на сайте: 8 лет 10 месяцев назад Зарегистрирован: 07.02.2009 - 16:33 Публикации: 670 Коллега Орехов! Мнения, как раз и не разделились, а сошлись в одном - подагра. dok Вс, 05/07/2009 - 15:50 #5 alexey.krasnov Не на сайте Был на сайте: 10 лет 3 месяцев назад Зарегистрирован: 19.05.2009 - 10:52 Публикации: 30 Абсолютно согласен с Др. Ермолаевым и остальными. Bis Dat Qui Cito Dat
Для полноценной диагностики "Ревматоидного артрита" маловато представлено костей запястья. А из того, что представлено видна Подагра. Или нет?
Неоднозначно всё
Соглашусь с мнением Петровича! Больше похоже на подагрический артрит.
dok
Господа, мнения разделились. Поясните, кто что видит, а не окончательный диагноз.
Подагра? где тофусы, "пробойники".
Коллега Орехов! Мнения, как раз и не разделились, а сошлись в одном - подагра.
dok
Абсолютно согласен с Др. Ермолаевым и остальными.
Bis Dat Qui Cito Dat